Syndroom van Ménétrier


Het syndroom van Ménétrier is een zeldzame, verworven, premaligne ziekte van de maag die wordt gekenmerkt door enorme slijmvliesplooien (10–20 mm), verwijding van het slijmvormende epitheel, overmatige slijmproductie met als gevolg eiwitverlies en weinig of geen zuurproductie (achloorhydrie). De aandoening wordt geassocieerd met overmatige secretie van de transforming growth factor α (TGF-α).[1] De ziekte is vernoemd naar de Franse arts Pierre Eugène Ménétrier (1859-1935).
De gemiddelde leeftijd waarop de ziekte zich voordoet, is 40 tot 60 jaar, mannen worden er vaker door getroffen dan vrouwen.[2] Risk of gastric adenocarcinoma is increased in adults with Ménétrier disease.[3][4] Volwassenen met het syndroom van Ménétrier hebben een verhoogd risico op maagkanker.[2][5]
Symptomen
Personen met de ziekte vertonen pijn in de bovenbuik (epigastrische pijn), soms vergezeld door misselijkheid, braken, verlies van eetlust, oedeem, zwakte en gewichtsverlies. Er kan een kleine hoeveelheid gastro-intestinale bloedingoptreden, die meestal wordt veroorzaakt door oppervlakkige maagslijmvlies-erosies; grote volumebloedingen zijn zeldzaam.[2] 20% tot 100% van de patiënten, afhankelijk van het moment van presentatie, ontwikkelt een proteïneverliezende gastropathie vergezeld door een laag albumine gehalte in het bloed en oedeem.[2][5]
De symptomen en pathologische kenmerken van het syndroom van Ménétrier bij kinderen zijn vergelijkbaar met die bij volwassenen, maar de ziekte bij kinderen is meestal zelfbeperkend en volgt vaak op een luchtweginfectie.[3]
Oorzaak
De oorzaak van het syndroom van Ménétrier is onbekend, maar het is in verband gebracht met HCMV-infectie (humaan betaherpesvirus 5) bij kinderen en Helicobacter pylori-infecties bij volwassenen.[5] Bovendien is er een verhoogde TGF-α opgemerkt in het maagslijmvlies van patiënten met de ziekte.[1]
Hoewel de pathofysiologie van het syndroom van Ménétrier niet volledig wordt begrepen, wordt gedacht dat een toename van epidermale groeifactor receptor-signalering - het effect van verhoogde TGF-α-productie die verantwoordelijk is voor de remming van zuurproductie - leidt tot proliferatie van epitheelcellen in het slijmvlies, wat een directe invloed heeft op de malabsorptie van voedingsstoffen, elektrolyten en vitamines in de darm.[6]

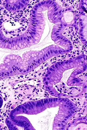
Bij het syndroom van Ménétrier wordt de maag gekenmerkt door grote, kronkelige maagplooien in de koepel van de maag (fundus gastricus) en het lichaam, waarbij het antrum (middelste deel van de maag) over het algemeen gespaard blijft, waardoor het slijmvlies een kasseien- of cerebriform (hersenachtig) uiterlijk krijgt.[4] Histologisch gezien is het meest karakteristieke kenmerk massieve foveolaire hyperplasie (hyperplasie van oppervlakte- en klierslijmcellen).[5] De klieren zijn langwerpig met een kurkentrekkerachtig uiterlijk en cystische verwijding komt vaak voor. De ontsteking is meestal slechts bescheiden, hoewel sommige gevallen duidelijke intra-epitheliale lymfocytose vertonen. Diffuse of vlekkerige klieratrofie, duidelijk als hypoplasie van pariëtale (exocrinocyti parietales) en hoofdcellen (exocrinocyti principales), is typisch.[3]
Hoewel ICD-10 het classificeert onder "Andere gastritis" (K29.6), en de lamina propria milde chronische ontstekingsinfiltraat kan bevatten, wordt het syndroom van Ménétrier niet beschouwd als een vorm van gastritis.[5] Het wordt eerder beschouwd als een van de twee best begrepen hypertrofische gastropathieën (vergroting van de slijmvliesplooien); de andere is het syndroom van Zollinger-Ellison.[3]
Diagnose

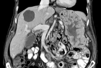
De grote plooien van de maag, zoals gezien bij het syndroom van Ménétrier, zijn gemakkelijk te detecteren door röntgenfoto's na een bariumpap (bariumsulfaat) of door endoscopische methoden. Endoscopie met diepe maagslijmvliesbiopsie (en cytologie) is vereist om de diagnose te stellen en andere aandoeningen uit te sluiten die zich op een vergelijkbare manier kunnen voordoen. Een niet-diagnostische biopsie kan leiden tot een chirurgisch verkregen biopsie van de volledige dikte om maligniteit uit te sluiten.[5] Cytomegalovirus (CMV) en Helicobacter pylori serologie moeten deel uitmaken van de evaluatie.
24-uurs pH-bewaking laat hypochloorhydrie of achloorhydrie zien, en een chroom-gelabelde albuminetest laat verhoogd verlies van GI-eiwitten (Gi protein alpha subunit proteins) zien.[4] Serumgastrinegehaltes zullen binnen normale grenzen liggen.
Andere mogelijke oorzaken (bijv. differentiële diagnose) van grote plooien in de maag zijn onder meer: het syndroom van Zollinger-Ellison, kanker, infectie (cytomegalovirus/CMV, histoplasmose, syfilis en infiltratieve aandoeningen zoals sarcoïdose.[5]
Behandeling
De eerstelijnsbehandeling bestaat uit het geven van cetuximab.[2] Cetuximab is een monoklonale antistof tegen de epidermale groeifactor receptor (EGFR) en is effectief gebleken bij de behandeling van het syndroom van Ménétrier.[8]
Er zijn verschillende medicijnen gebruikt bij de behandeling van de aandoening, met wisselende werkzaamheid. Dergelijke medicijnen omvatten: anticholinergica, prostaglandinen, protonpompremmers, prednison en H2-receptorantagonisten. Anticholinergica verminderen het eiwitverlies. Een eiwitrijk dieet moet worden aanbevolen om het eiwitverlies te compenseren bij patiënten met een laag albuminegehalte in het bloed (hypoalbuminemie). Alle maagzweren die tijdens de behandeling worden ontdekt, moeten op de standaardmanier worden behandeld.
Een ernstige aandoening met aanhoudend en substantieel eiwitverlies ondanks cetuximab kan een totale verwijdering van de maag vereisen, vooral wanneer de ziekte slopend of ongeneeslijk is of wanneer er een hoog risico is op het ontwikkelen van maagkanker.[9] Subtotale gastrectomie wordt door sommigen uitgevoerd in het geval dat er een hogere morbiditeit en mortaliteit en langdurige anastomose tussen normaal en hyperplastisch weefsel is. Bij volwassenen is er geen door de FDA goedgekeurde behandeling anders dan gastrectomie en een eiwitrijk dieet. Cetuximab is goedgekeurd voor verlichting van de ziekteverschijnselen.[10]
Pediatrische gevallen worden normaal gesproken behandeld voor symptomen waarbij de ziekte binnen weken tot maanden verdwijnt.
Dit artikel of een eerdere versie ervan is een (gedeeltelijke) vertaling van het artikel Ménétrier's disease op de Engelstalige Wikipedia, dat onder de licentie Creative Commons Naamsvermelding/Gelijk delen valt. Zie de bewerkingsgeschiedenis aldaar.
- ↑ a b Coffey, Robert J., Washington, Mary Kay, Corless, Christopher L., Heinrich, Michael C. (2 January 2007). Ménétrier disease and gastrointestinal stromal tumors: hyperproliferative disorders of the stomach. Journal of Clinical Investigation 117 (1): 70–80. PMID 17200708. PMC 1716220. DOI: 10.1172/JCI30491.
- ↑ a b c d e Kasper, Dennis L., Fauci, Anthony S., Hauser, Stephen L., Longo, Dan L., Jameson, J. Larry (2015). Harrison's Principles of Internal Medicine, 19th. McGraw Hill Professional, p. 1932. ISBN 978-0-07-180216-1.
- ↑ a b c d Kumar, Vinay, Abbas, Abul K., Fausto, Nelson, Aster, Jon C. (2009). Robbins & Cotran Pathologic Basis of Disease. Elsevier Health Sciences, p. 782. ISBN 978-1-4377-2015-0.
- ↑ a b c Kumar et al., Pathologic Basis of Disease, 2e , pg 768Sjabloon:Isbn missingSjabloon:Missing year
- ↑ a b c d e f Longo, Dan, Fauci, Anthony, Kasper, Dennis, Hauser, Stephen, Jameson, J. (2011). Harrison's Principles of Internal Medicine, 18th. McGraw Hill Professional, p. 2459. ISBN 978-0-07-174890-2.
- ↑ (en) Nagib Toubia, Mitchell L Schubert. Menetrier's Disease. Current treatment options in gastroenterology 11 (2): 103-108. ISSN: 1092-8472. PMID 18321437. DOI: 10.1007/S11938-008-0022-X. Wikidata
- ↑ Naziheh Assarzadegan, M.D., Raul S. Gonzalez, M.D., Stomach Polyps - Fundic gland polyp. PathologyOutlines. Topic Completed: 1 November 2017. Minor changes: 11 December 2019
- ↑ Burdick, J. Steven, Chung, EunKyung, Tanner, Gordon, Sun, Mei, Paciga, June E. (7 december 2000). Treatment of Ménétrier's Disease with a Monoclonal Antibody against the Epidermal Growth Factor Receptor. New England Journal of Medicine 343 (23): 1697–1701. PMID 11106719. DOI: 10.1056/NEJM200012073432305.
- ↑ Huh, Won Jae, Coffey, Robert J., Washington, Mary Kay (January 2016). Ménétrier's Disease: Its Mimickers and Pathogenesis. Journal of Pathology and Translational Medicine 50 (1): 10–16. PMID 26689786. PMC 4734964. DOI: 10.4132/jptm.2015.09.15.
- ↑ Fiske, William H., Tanksley, Jarred, Nam, Ki Taek, Goldenring, James R., Slebos, Robbert J. C. (25 november 2009). Efficacy of Cetuximab in the Treatment of Ménétrier's Disease. Science Translational Medicine 1 (8): 8ra18. PMID 20368185. PMC 3638759. DOI: 10.1126/scitranslmed.3000320.