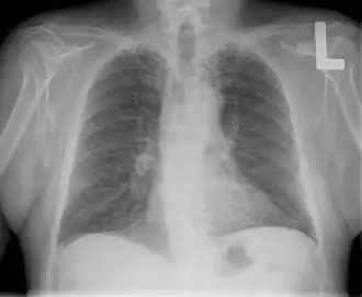
Röntgenfoto


De patiënt kijkt ons aan. We zien onder andere hart, longen,
middenrif, luchtpijp, onder het middenrif
een luchtbel in de maag, bovenarmbeenderen, sleutelbeenderen, ribben.
Een röntgenfoto of röntgenopname is een foto of digitale opname gemaakt met behulp van röntgenstraling. Röntgenfoto's worden in de geneeskunde gebruikt om afbeeldingen van het inwendige van het lichaam te maken. De röntgenfoto is genoemd naar de ontdekker van röntgenstraling Wilhelm Conrad Röntgen.
Röntgenstraling is elektromagnetische straling met een kortere golflengte dan zichtbaar licht, die vrij gemakkelijk door weefsels heen dringt en selectief wordt tegengehouden door zwaardere materialen daarin. Vooral botweefsel is vrij ondoorlaatbaar voor röntgenstraling.
Aangezien röntgenstralen zich niet met lenzen en slechts zeer moeilijk met spiegels laten bundelen, vormen röntgenopnamen meestal schaduwbeelden van een object. De röntgenstraler, het object en het voor röntgenstralen gevoelige element (röntgenfilm, fosforplaat of matrix van scintillatie- of vaste-stofdetectoren) moeten daarbij een as vormen. Het te onderzoeken voorwerp of de te onderzoeken persoon wordt voor een cassette gezet, waarin zich een onbelichte fotografische film bevindt, waarna er uit een röntgenbuis een bundel röntgenstraling op de film komt, wat afhankelijk van de straling plaatselijk meer of minder zwarting zal geven op de film. Na ontwikkeling van de film is een beeld zichtbaar van de dichtere structuren in het lichaam van de patiënt. Beenderen laten weinig straling door en blijven op de film onbelicht. Luchthoudend longweefsel wordt (op het negatief) donker afgebeeld doordat het veel straling doorlaat. Bloed, vet, spieren en organen krijgen een grijstint. Hoe meer de röntgenbron een puntbron benadert, hoe scherper de afbeelding wordt. In tegenstelling tot gewone foto's worden röntgenfoto's zelden of nooit afgedrukt; de negatieffilm wordt direct gebruikt ter beoordeling. Een orgaan of weefsel dat röntgenstraling niet doorlaat heet radio-opaak (ook wel radiopaak). Een gebied dat meer straling doorlaat dan de omgeving heet ook wel hypodens of radiolucent.
Beeldvormende media
De oudste methode van beeldvorming is die zoals hierboven beschreven, met alleen een fotografische film. Al vrij snel na de invoering van de röntgenfoto (Kodak ca. 1913) werd de gevoeligheid verhoogd door gebruik te maken van een extra stralingsgevoelige laag die aan een of beide zijden tegen de film aanligt en die oplicht als hij door röntgenstraling werd getroffen, waardoor de film met veel minder straling (dit kan wel een factor 100 schelen) toch een voldoende zwarting kon krijgen. De prijs die hiervoor wordt betaald is een gering verlies in detailscherpte.
Tegenwoordig wordt het beeld steeds vaker gedetecteerd met behulp van zogenaamde geheugen-fosforplaten, die geen zilverhoudende fotografische film meer bevatten maar in plaats daarvan een gevoelige laag die niet chemisch hoeft te worden ontwikkeld maar die na de foto kan worden uitgelezen en digitaal opgeslagen. Er wordt steeds meer gebruikgemaakt van 'volledig digitale apparatuur'. Dit gebeurt met behulp van een seleniumplaat die de opgevangen röntgenstralen meteen omzet in een computerbeeld. Dit verkort tevens de wachttijd van de patiënt op de uitslag van de foto's, wat veel stress voorkomt.
Energie
Voor verschillende soorten foto's kan het nuttig zijn verschillende soorten röntgenstraling te gebruiken: voor een mammogram zachte straling die weinig doordringend is en verschillen tussen vet en klierweefsel laat uitkomen, voor botfoto's hardere (meer energetische) straling die goed door alle zachte weefsels heen gaat en alleen door bot wordt tegengehouden. De energie van röntgenstraling wordt meestal uitgedrukt in kiloelektronvolt (keV). Straling die geschikt is voor het maken van röntgenfoto's heeft een energie van rond 80-120 keV, dat is flink hoger dan de straling die wordt gebruikt in de Röntgendiffractie (6-20 keV).
Strooistraling
Als de röntgenstraling een orgaan treft, ontstaat er daarin ook secundaire röntgenstraling of strooistraling, met een lagere energie. Deze kan de film ook raken en daar zwarting teweegbrengen, maar doordat dat op ieder punt kan gebeuren, draagt dit niet bij aan het beeld, maar veroorzaakt het een algemeen sluiereffect dat de afbeelding eerder zal verdoezelen (een verlaging van het contrast). Doordat deze strooistraling een andere richting heeft dan de straling van de directe bundel kan deze worden gefilterd door een strooistralenraster dat in de bucky zit.
In de directe bundel uit de röntgenbuis bevindt zich straling met een lage energie <45keV. Deze straling is niet nodig voor de opname en levert alleen maar huiddosis op. Daarom heeft een röntgenbuis een standaard eigen filter (buisfilter). Ook kan er nog een dun metalen plaatje (aluminium en/of koper) voor de röntgenbuis geplaatst worden (extra buisfilter) waardoor straling met lage energieën uit de directe bundel wordt gefilterd. Zo wordt de stralenbelasting voor de patiënt zo klein mogelijk gehouden.
Een andere techniek die kan worden gebruikt om de strooistraling te minimaliseren is het maken van een scan met de röntgenbundel door het af te beelden gedeelte van het lichaam. Dit werkt alleen met een digitale detector, en niet met een film. Het idee van deze techniek is dat de detector alleen dáár detecteert, waar de röntgenbundel op dat moment is. Er is dus op elk moment slechts weinig weefsel in de bundel dat de straling kan verstrooien.
Toepassingen
Een van de meest gebruikte toepassingen van de röntgenologie is het waarnemen of uitsluiten van botbreuken. Ook de thoraxfoto (foto van de borstholte) is populair, hiermee kunnen vooral longontstekingen, hartfalen en longtumoren worden opgespoord. Een foto van het abdomen wordt genomen om darmobstructies, nierstenen en dergelijke op te sporen. Omdat de buik voornamelijk uit zachte weefsels bestaat is de waarde van de röntgenfoto hier vrij beperkt - niet alle nierstenen zijn op de foto zichtbaar, en gezwellen meestal helemaal niet, tenzij indirect door het van hun plaats dringen van andere structuren als ze erg groot zijn. Wel kan gebruik worden gemaakt van methoden om het contrast wat te vergroten, zoals het inblazen van lucht en/of een contraststof in de darm, of door een contraststof te geven die in de nieren wordt uitgescheiden om een afbeelding van het verzamelsysteem van de urine te krijgen.
Enkele andere toepassingen zijn:
- Door een tandarts, om aantasting van een tand en ontstekingen vast te stellen.
- Door een röntgenfoto van een schilderij te maken kan het gebruik van zware metalen in de verf worden aangetoond (bv. loodwit). Nog interessanter is dat men er dieperliggende verflagen mee kan zien als de schilder naderhand iets aan het kunstwerk heeft veranderd.
- Door van een verdacht pakketje een röntgenfoto te maken, kan bekeken worden of er elektrische draden, enz. in zitten.
- Op vliegvelden en in havens wordt bagage en lading gecontroleerd op wapens en smokkelwaar.
- In de metaalbewerking wordt röntgenstraling gebruikt om de kwaliteit van bijvoorbeeld lassen te controleren.
- lasnaden en metaalgietdelen worden onderzocht op luchtinsluitingen.
Technieken
Afhankelijk van het doel en de aard van het medisch onderzoek, kunnen er verschillende opnametechnieken gebruikt worden.
Tandheelkundige opnametechnieken
In grote lijnen kan er onderscheid gemaakt worden tussen de zogenaamde intraorale en extraorale röntgentechnieken.
Intra-orale opnamen
- Bitewings
- Solo’s (periapicale opname)
Extra-orale opnamen
- OPG – Orthopantomogram
- Panoramische opname
- Laterale schedelfoto
Toekomst

In Nederland wordt bijna geen gebruik meer gemaakt van fotofilm. Tegenwoordig wordt meestal gebruikgemaakt van een digitale detector. Een digitale detector kan de gegevens direct in de computer opslaan, en maakt het mogelijk dat een arts de röntgenfoto op een computerscherm kan bekijken. Een digitale detector bestaat uit een plat vlak, met een omvang afhankelijk van de toepassing. Dit kan ter grootte van een A4'tje of meer zijn, terwijl een tandarts er een gebruikt van enkele vierkante centimeters. Dit wordt ook wel een digitale röntgencamera genoemd, maar hij heeft geen lenzen e.d. en is in feite een grote beeldsensor.
In de tandheelkunde zijn twee verschillende soorten digitale röntgensystemen al zeer gangbaar:
- sensorsystemen
- fosforplaatsystemen
De sensor is een elektronische chip / detector die verbonden met een draadje aan de computer het digitale beeld direct als signaal naar de computer stuurt. De fosforplaatsystemen werken op het principe dat de speciaal voor röntgenstraling gevoelige fosforplaat het beeld opslaat. Vervolgens kan door middel van een speciale scanner de fosforplaat uitgelezen worden.
Tegenwoordig is men in de beveiligingssector ook bezig met röntgenstraling, in de vorm van een detectiepoort. De persoon die gescand moet worden neemt plaats op een platform, dit platform schuift vervolgens door een metalen poort heen, waar een heel smalle bundel (zo'n 2 mm breed) een digitale röntgenfoto van die persoon maakt. Deze wordt vervolgens getoond op een pc waar men onder andere het contrast kan wijzigen om het beeld duidelijk te maken. Op deze manier is alles te zien wat zich op of in het lichaam bevindt. Ook bagage wordt vaak met röntgenstraling gecontroleerd. Koffers worden hiertoe op een lopende band gelegd die ze door een röntgenapparaat voert. Op een pc wordt dan een beeld getoond van de inhoud van de koffer, zodat kan worden gecontroleerd of er verboden voorwerpen of drugs in zitten zonder dat de koffer hoeft te worden opengemaakt.