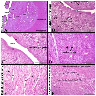
Lamina propria
De lamina propria is het onder het epitheelweefsel liggend bindweefsel waarin zich bloedvaten, lymfevaten, gladde spiercellen, zenuwen en kleinere klieren bevinden.
De lamina propria bevat veel macrofagen en lymfocyten die het antistof IgA produceren. Daarnaast is de lamina propria samen met het epitheel en de lamina muscularis mucosae onderdeel van het slijmvlies.[1]
-
Baarmoeder van het konijn na 18 dagen met schijnzwangerschap -
Baarmoederslijmvlies van de baarmoeder van het konijn na 14 uur en 3 dagen met schijnzwangerschap -
Lamina propria
Bronnen, noten en/of referenties
- ↑ A.L. Mescher, Junquira's Basic Histology. 15e editie. McGraw-Hill Education; 2018