Cytomegalovirus
| Cytomegalovirus | |||||||
|---|---|---|---|---|---|---|---|
| |||||||
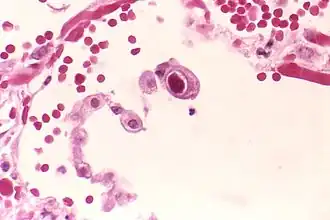
| CMV-infectie van een longpneumocyt | |||||||
| Taxonomische indeling | |||||||
| |||||||
| Geslacht | |||||||
| Cytomegalovirus | |||||||
| Afbeeldingen op | |||||||
| Cytomegalovirus op | |||||||
| |||||||
Cytomegalovirus (CMV) (ook wel cytomegalievirus) is een virus met het grootste genoom van alle herpesvirussen. Het blijft latent aanwezig in monocyten, en kan opnieuw actief worden.
Pathogenese
Het cytomegalovirus infecteert epitheelcellen en leukocyten. Het zorgt ook voor immuun-gemedieerde weefselschade.
Besmetting
Bij ruwweg 50 procent van de volwassen mens heeft contact plaatsgevonden met en zijn antilichamen aantoonbaar tegen CMV.
Gevolgen van besmetting
CMV kan afwijkingen veroorzaken aan de ongeboren vrucht: het is de tweede belangrijkste oorzaak van doofheid bij pasgeborenen, na GJB2-mutaties. Besmetting kan onopgemerkt verlopen in de vroege jeugd en wanneer het pas optreedt op 15 tot 25-jarige leeftijd (adolescentie) of later, dan kan het symptomen veroorzaken die lijken op die van klierkoorts (Ziekte van Pfeiffer). Ook kan besmetting met CMV bij immuunstoornissen zoals een hiv-infectie een longaandoening (pneumonitis) en ontsteking van het netvlies (retinitis) veroorzaken.
Bij transplantaties van organen of beenmerg zijn CMV-infecties een belangrijk probleem. Latent virus in de ontvanger van het transplant kan reactiveren in periodes waarin immuunsupressiva gebruikt moeten worden. In zeldzamere gevallen kan het virus een de-novo-infectie veroorzaken, wat vaak nog ernstigere symptomen geeft dan een reactivatie. Typische gevolgen zijn koorts en vermoeidheid, vaak ziet men ook diarree. Voor de opkomst van efficiënte medicatie waren ernstige gevallen van CMV-gerelateerde hepatitis en nefritis veelvoorkomend. CMV-infecties leiden ook tot een zekere onderdrukking van het immuunsysteem, wat kan leiden tot andere infecties.[1]
Er zijn tevens aanwijzingen dat CMV-besmettingen een versnellende rol op de ontwikkeling van bepaalde types kanker hebben, specifiek hersentumoren.[2]
- ↑ (en) R. Hoffman. [elsevier.com/books/hematology/hoffman/978-0-323-35762-3 Hematology Basic Principles and Practice]. Elsevier.
- ↑ NU.nl, Herpesvirus versnelt kanker, 26 augustus 2010. Gearchiveerd op 28 april 2021.
