Malabsorptie
Raadpleeg bij gezondheidsklachten een arts.
| Malabsorptie | ||||
|---|---|---|---|---|
| ||||
| Coderingen | ||||
| ICD-11 | ||||
| DiseasesDB | 7698 | |||
| MedlinePlus | 000299 | |||
| eMedicine | med/1384 | |||
| MeSH | D008286 | |||
| ||||
Malabsorptie is de verstoorde opname van voedingsstoffen in het bloed en de lymfe, vanuit het maag-darmkanaal tijdens de spijsvertering. [1]
Dit kan betrekking hebben op één bepaalde voedingsstof, of op een hele reeks voedingsstoffen. Laatstgenoemd geval leidt op termijn tot algehele ondervoeding; de slechte opname van een specifieke voedingsstof leidt tot een specifieke deficiëntie, bijvoorbeeld bloedarmoede als gevolg van de verstoorde opname van ijzer.[2]
Malabsorptie wordt in drie soorten onderverdeeld:[3]
- (1) selectieve malabsorptie, bijvoorbeeld lactose-intolerantie;
- (2) partiële malabsorptie, bijvoorbeeld bèta-lipoproteinemie, en
- (3) volledige malabsorptie bijvoorbeeld coeliakie.
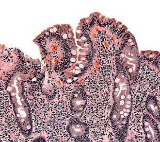
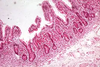
Spijsvertering
Het maag-darmkanaal heeft als taak het ingenomen voedsel te verteren en de vrijgekomen voedingsstoffen in het bloed op te nemen (absorptie). De belangrijkste voedingsstoffen zijn: glucose (afkomstig uit de spijsvertering van koolhydraten), vetzuren (uit de vertering van vet), aminozuren (uit verteerde eiwitten), vitamines, sporenelementen, water en elektrolyten.
De vertering begint in de mond, waar het voedsel door kauwen wordt verkleind. Vervolgens wordt het in de maag en de dunne darm fijn gemaakt. De eigenlijke vertering geschiedt in de darmen met behulp van enzymen, die afkomstig zijn uit de maagwand, de alvleesklier en de darmwand. Ook gal uit de lever speelt een rol. De eindproducten worden ten slotte opgenomen via de darmvlokken van de darmen.
Oorzaken van malabsorptie
Malabsorptie kan het gevolg zijn van:[4]
- beschadiging van het slijmvlies van de dunne darm
- aangeboren of verworven vermindering van absorberend darmoppervlak
- stoornissen van de enzymatische afbraak
- stoornissen van het transport van water en zouten
- onvoldoende werking van de alvleesklier
- verstoring van de heropname van galzure zouten
- een chirurgische ingreep zoals een maagverkleining of gastric bypass
Infectieuze oorzaken
|
Door afwijkende of beschadigde structuur[5]
|
Door afwijkingen van het slijmvlies
|
Door enzymdeficiëntie
|
Door gebrekkige vertering
|
Door ziekten buiten het maag-darmkanaal
|
Verschijnselen
De presentatie van malabsorptie is afhankelijk van het onderliggende lijden. Bij ernstige malabsorptie zullen er klachten van het maag-darmkanaal zijn, bij minder ernstige vormen kunnen die ontbreken.
- Diarree, dikwijls vetrijk (steatorroe), komt veel voor.
Waterige, frequente, overvloedige ontlasting, zowel overdag als ’s nachts geeft aan dat er duidelijke malabsorptie is. De diarree wordt veroorzaakt doordat water en zout niet voldoende kunnen worden teruggenomen, of door prikkeling door de vetzuren. Opboeren, winderigheid en buikpijn komen later voor. Krampende pijn wijst vooral op vernauwing, bijvoorbeeld bij de ziekte van Crohn.
- Gewichtsverlies kan aanzienlijk zijn, ondanks inname van grote hoeveelheden voedsel.
- Vertraagde groei, malaise, verlaat begin van de puberteit,
- Oedeem door eiwittekort
- Bloedarmoede, door tekort aan vitamine B12, foliumzuur en ijzer, waardoor vermoeidheid en zwakte.
- Spierkrampen door gebrek aan vitamine D, dat ook leidt tot osteomalacie en osteoporose
- Bloedingsneiging door tekort aan vitamine K en andere stollingsfactoren.
Diagnose
Er is geen speciale test voor malabsorptie. Zoals voor de meeste kwalen geldt, krijgt het onderzoek richting door de klachten en de verschijnselen.
Bloedonderzoek
Een microcytaire bloedarmoede kan op ijzergebrek wijzen, een macrocytaire bloedarmoede wijst op vitamine B12- of foliumzuurgebrek. Laag cholesterol of triglyceride wijzen op de malabsorptie van vet, terwijl malabsorptie van calcium en vitamine D uit een laag calciumgehalte kunnen blijken.
- Ook kan men specifieke vitamines, zoals vitamine D of sporenelementen zoals zink bepalen. Vetoplosbare vitamines (A, D, E & K) zijn verlaagd bij de malabsorptie van vet. Een verlengde protrombinetijd kan wijzen op vitamine K-gebrek.
- Antistoffen tegen gluten
- Om coeliakie uit te sluiten kunnen antistoffen tegen TTG (Anti-Tissue Transglutaminase ) worden bepaald.
Onderzoek van de ontlasting
- Microscopisch onderzoek kan parasieten aantonen
- Microscopisch onderzoek naar vetbolletjes
- Laag elastase wijst op alvleesklier insufficiëntie. Bepaling van pancreasenzymen is tegenwoordig mogelijk.[8]
Röntgenonderzoek
- Dunne-darmpassage om de structuur van de dunne darm zichtbaar te maken.
- Colon-inloop foto’s kunnen ook het laatste stukje van de dunne darm in beeld brengen.
- CT-scan van de buik kan onder meer de alvleesklier in beeld brengen.
- MRI-scan of ERCP.
Endoscopie en biopten

- Endoscopisch onderzoek wordt vaak verricht, maar de dunne darm (die 7 meter lang is) kan hiermee slechts zeer beperkt worden onderzocht.
- Duodenoscopie (endoscopie van slokdarm, maag en twaalfvingerige darm) met biopten kan coeliakie, tropische spruw, ziekte van Whipple en andere aantonen.
- Coloscopie ( kan biopten in het ileum mogelijk maken.
- ERCP maakt onderzoek van de alvleesklier mogelijk.
Overige onderzoeksmethoden
- Verschillende isotopenonderzoeken.
- Waterstof-bepaling in de uitademingslucht (bij verstoring van de darmflora).
- D-xylose resorptietest.
Beleid
De behandeling wordt grotendeels bepaald door de onderliggende oorzaak.
- Aanvulling via een infuus van tekorten aan voedingsstoffen, zouten of water kan noodzakelijk zijn. Vaak is advies van een diëtist hier nodig.
- Toevoeging van enzymen uit de alvleesklier kan nodig zijn.
- Aanpassing van het dieet is soms belangrijk. Vermijden van voedingsstoffen bij gebleken intolerantie is soms levenslang nodig.
- Voor een verstoorde darmflora kan een antibioticum nodig zijn.
- Colestyramine bindt galzuren en kan de diarree bij malabsorptie van galzure zouten verminderen.
Zie ook
Externe links
- (en) Practice guideline from World Gastroenterology Organisation [2]
- (en) Tests for malabsorption; from British Society for Gastroenterology (2003)[3]
Noten
- ↑ Bai J (1998). Malabsorption syndromes. Digestion 59 (5): 530-46. PMID 9705537.
- ↑ Jensen, Jonathan E, Malabsorption Syndromes - Page 1. Colorado center for digestive disorders. Gearchiveerd op 19 maart 2007. Geraadpleegd op 7 april 2013.
- ↑ Gasbarrini G, Frisono M: Critical evaluation of malabsorption tests; in G. Dobrilla, G. Bertaccini, G. Langman (Editor) (1986). Problems and Controversies in Gastroenterology. Raven Pr, New York, pp. 123-130. ISBN 88-85037-75-5.
- ↑ Walker-Smith J, Barnard J, Bhutta Z, Heubi J, Reeves Z, Schmitz J (2002). Chronic diarrhea and malabsorption (including short gut syndrome): Working Group Report of the First World Congress of Pediatric Gastroenterology, Hepatology, and Nutrition. J. Pediatr. Gastroenterol. Nutr. 35 Suppl 2: S98-105. PMID 12192177.
- ↑ M. S Losowsky, (1974). Malabsorption in clinical practice. Churchill Livingstone, Edinburgh. ISBN 0-443-01007-2.
- ↑
- ↑ Read N, Krejs G, Read M, Santa Ana C, Morawski S, Fordtran J (1980). Chronic diarrhea of unknown origin. Gastroenterology 78 (2): 264-71. PMID 7350049.
- ↑ Thomas P, Forbes A, Green J, Howdle P, Long R, Playford R, Sheridan M, Stevens R, Valori R, Walters J, Addison G, Hill P, Brydon G (2003). Guidelines for the investigation of chronic diarrhoea, 2nd edition. Gut 52 Suppl 5: v1-15. PMID 12801941. [1].
