Sarcoïdose
Raadpleeg bij gezondheidsklachten een arts.
| Sarcoïdose | ||||
|---|---|---|---|---|
| ||||
| Synoniemen | ||||
| Latijn | sarcoidosis[1][2] lymphogranuloma benignum[1][2] | |||
| Nederlands | ziekte van Besnier-Boeck-Schaumann[6][2] sarcoïd van Boeck[3] | |||
| Coderingen | ||||
| ICD-11 | ||||
| OMIM | 181000 | |||
| DiseasesDB | 11797 | |||
| DOID | 11335 | |||
| MedlinePlus | 000076 | |||
| eMedicine | med/2063 | |||
| MeSH | D012507 | |||
| ||||
Sarcoïdose[1][2] of de ziekte van Besnier-Boeck[3][1] is een zeldzame stoornis van het afweersysteem, waarbij vrijwel alle organen en weefsels van het lichaam aangetast kunnen worden. De ziekte openbaart zich het vaakst in de longen. Mogelijk speelt een genetische aanleg mee bij deze ziekte, die gewoonlijk voorkomt bij jong-volwassenen (20 tot 40 jaar) en even vaak bij mannen als bij vrouwen.[7]
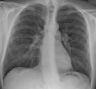
De ziekte wordt gekenmerkt door zogenaamde granulomen, kleine opeenhopingen van ontstekingscellen, en kent vaak een grillig verloop. Door vergrote lymfeklieren tussen de longen en soms verdichtingen in de long zelf is de ontsteking vaak zichtbaar op een röntgenfoto van de longen.
Locatie van de ziekte en symptomen
De meest voorkomende locatie voor deze granulomen is in de longen, maar ook in de huid, ogen, hart, lever, lymfeklieren, milt, het zenuwstelsel en nieren openbaart de ziekte zich wel. De ziekte openbaart zich vaak met klachten van moeheid, hoesten en kortademigheid. Ook gewrichtsklachten, spierpijn, koorts, oogklachten, huidafwijkingen en gewichtsverlies zijn vaak genoemde symptomen.[8]
Diagnose
Voor de diagnose moet een arts de specifieke kenmerken vaststellen en andere oorzaken van de symptomen uitsluiten. De kenmerken zijn het beeld op de longfoto en de granulomateuze ontsteking. Tot de andere aandoeningen met vergelijkbare symptomen behoren tuberculose, longkanker en het kwaadaardig lymfoom (hodgkin en non-hodgkin).
Prognose en behandeling
De klachten verdwijnen in de meeste gevallen (50 tot 70%) vanzelf, er wordt dan gesproken van acute sarcoïdose. In 30 tot 50% van de gevallen houden de klachten langer dan zes maanden aan en is sprake van de chronische vorm van sarcoïdose, en in een klein percentage van de gevallen (circa 5%) leidt de ziekte uiteindelijk tot het overlijden van de patiënt. Er zijn geen geneesmiddelen voor bekend. Als symptoombehandeling schrijft men soms corticosteroïden, zoals prednison, voor. Er bestaat een behandeling met het medicijn infliximab. Dit betreft echter niet-geregistreerd gebruik, dat in Nederland meestal niet wordt vergoed door de zorgverzekeraars.[9]
Mogelijke rol micro-organismen
Een onderzoek (2002) uit Zweden meldt dat in de weefselmonsters van een serie van 30 sarcoïdosepatiënten in vrijwel alle gevallen het micro-organisme Rickettsia helvetica aanwezig zou zijn.[10] In een vervolgonderzoek werden echter bij 20 Zweedse sarcoïdosepatiënten in geen enkel geval antistoffen tegen dit micro-organisme aangetoond.[11] Er is een uitgebreide discussie van de vele en tegenstrijdige beschikbare gegevens over de rol van micro-organismen bij sarcoïdose gepubliceerd.[12]
Naamgeving
Sarcoïdose werd in het verleden gewoonlijk met de naam "ziekte van Besnier-Boeck-Schaumann" aangeduid, naar de artsen die er in het begin het meeste onderzoek naar hebben gedaan: Ernest Henri Besnier uit Frankrijk, Cæsar Peter Møller Boeck uit Noorwegen en Jörgen Nilsen Schaumann uit Zweden.
Organisaties
SBN
De Sarcoïdose Belangenvereniging Nederland (SBN) komt op voor de belangen van sarcoïdosepatiënten.
WASOG
De World association of sarcoidosis and other granulomatous diseases (WASOG) is in 1987 opgericht in Milaan (Italië). WASOG is gericht op interstitiële longziekten ("ILD"). Vele ILD, zoals sarcoïdose, zijn secundair aan systemische aandoeningen; andere ILD, zoals idiopathische longfibrose, vormen exclusief een longprobleem. De WASOG verbindt experts, publicaties, maatschappij en de patiënten.
Bekende patiënten
- Bij de Nederlandse koning Willem-Alexander werd de ziekte in de jaren 1990 vastgesteld.[13]
- In 2020 maakte nieuwslezer Henk Blok bekend al vijftien jaar te lijden aan sarcoïdose.[14]
- De politicus en journalist Felix Rottenberg moest in de jaren 1990 kalmer aan doen vanwege de ziekte.[15]
Externe links
- ↑ a b c d Jochems, A.A.F. & Joosten, F.W.M.G. (2003). Coëlho Zakwoordenboek der geneeskunde (27ste druk). Doetinchem: ElsevierGezondheidszorg.
- ↑ a b c d e f g Everdingen, J.J.E. van, Eerenbeemt, A.M.M. van den (2012). Pinkhof Geneeskundig woordenboek (12de druk). Houten: Bohn Stafleu Van Loghum.
- ↑ a b c Leflot-Soetemans, C. & Leflot, G. (1975). Standaard Geneeskundig woordboek Frans-Nederlands. Antwerpen-Amsterdam: Standaard Uitgeverij.
- ↑ a b Hildebrandt, H. (Red.) (1998). Pschyrembel Klinisches Wörterbuch. (258. Auflage). Berlin/New York: Walter de Gruyter.
- ↑ a b Reuter, P. (2007). Springer Klinisches Wörterbuch. Heidelberg: Springer Medizin Verlag.
- ↑ Beijer, T. & Apeldoorn, C.G.L. (1996). Woordenboek van medische eponiemen. Houten/Diegem: Bohn Stafleu Van Loghum.
- ↑ Nunes H, Bouvry D, Soler P, Valeyre D (2007). Sarcoidosis. Orphanet J Rare Dis 2: 46. PMID 18021432. PMC 2169207. DOI: 10.1186/1750-1172-2-46.
- ↑ Sarcoïdose Belangenvereniging Nederland (2017). Huisartsenbrochure - informatie voor de huisarts over Sarcoïdose. Soest: Vereniging Samenwerkende Ouder- en Patiëntenorganisaties (VSOP).
- ↑ ECLI:NL:RBDHA:2013:CA2375
- ↑ Nilsson K, Pahlson C, Lukinius A, Eriksson L, Nilsson L, Lindquist O. Presence of Rickettsia helvetica in granulomatous tissue from patients with sarcoidosis. J Infect Dis 2002; 185(8):1128-38.
- ↑ Planck A, Eklund A, Grunewald J, Vene S. No serological evidence of Rickettsia helvetica infection in Scandinavian sarcoidosis patients Eur Respir J 2004; 24:811-813
- ↑ Du Bois RM, Goh N, McGrath D, Cullinan P. Is there a role for microorganisms in the pathogenesis of sarcoidosis? Journal of Internal Medicine, Volume 253 Issue 1 Page 4 - January 2003 online versie
- ↑ Santé, Deze zeldzame aandoening had Willem-Alexander. Santé (5 mei 2024). Geraadpleegd op 21 mei 2025.
- ↑ 538-nieuwslezer Henk Blok doet stap terug vanwege gezondheid. RTL.nl (7 mei 2020). Geraadpleegd op 21 mei 2025.
- ↑ LAGAS, MARCEL TEN HOOVEN; TEUN, Felix Rottenberg. Trouw (27 augustus 2016). Geraadpleegd op 21 mei 2025.
