Pneumothorax
Raadpleeg bij gezondheidsklachten een arts.
| Klaplong | ||||
|---|---|---|---|---|
| Pneumothorax | ||||
| ||||
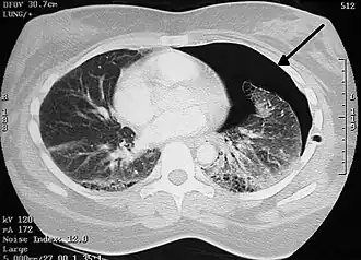
CT-scan bij een pneumothorax. De linkerlong (rechts in beeld) is geschrompeld en gedeeltelijk omgeven door lucht. Tussen de ribben is waarschijnlijk de doorsnee van een drain zichtbaar
| ||||
| Coderingen | ||||
| ICD-11 | ||||
| OMIM | {{{OMIM}}} | |||
| DOID | 1673 | |||
| MedlinePlus | 000087 | |||
| MeSH | D011030 | |||
| ||||
Een pneumothorax of klaplong is de toestand waarbij er in de borstholte naast de long vrije lucht aanwezig is. Deze lucht drukt op de inwendige organen, dus ook op de long. Hierdoor neemt het volume van de long af, in extreme gevallen tot een klomp ter grootte van een vuist die in het midden van de borstholte aan de luchtwegen vastzit.
Oorzaken, definitie en ontstaan
Normaal is de pleuraholte één gesloten, luchtledig geheel. Er is dus altijd en overal contact tussen het longvlies (pleura visceralis) en het borstvlies (pleura parietalis). Er kan alleen lucht in de pleuraholte komen als er ergens een opening is. Deze opening kan ontstaan van buiten uit of van binnen. Wanneer de opening van buitenaf ontstaat, (bij doorboring van de wand van de borstkas), komt er een opening in de pleura parietalis. Het gevolg is dat er lucht van buiten de borstkas naar binnen stroomt. De opening kan ook ontstaan van binnenuit, waarbij er een opening komt in de pleura visceralis. Het gevolg is dat er lucht vanuit de luchtwegen naar de pleuraholte kan stromen. Het resultaat is in beide gevallen hetzelfde: het systeem waarbij longweefsel door negatieve druk of onderdruk in de pleuraholte tegen de borstwand ‘geplakt’ zit, wordt onderbroken. De pleuraholte wordt gevuld met lucht en daardoor zal de long samenvallen. Dit heet een pneumothorax. Bij een pneumothorax zal er soms behalve lucht ook een hoeveelheid vocht en/of bloed aanwezig zijn in de pleuraholte.
Een pneumothorax kan verschillende oorzaken hebben. Als eerste wordt de onderverdeling spontaan - niet spontaan gemaakt.
Niet spontane pneumothorax
De niet spontane pneumothorax heeft een uitwendige oorzaak.
Traumatische pneumothorax
Bij een ongeval kunnen zowel het longvlies als het borstvlies (of beide) doorboord zijn. Ofwel is er een penetrerende wond (bijvoorbeeld van een mes) die de wand van de thorax, het borstvlies en het longvlies doorboort. De lucht komt vanuit de long in de pleuraholte en doet een pneumothorax ontstaan. Indien de wond nog openstaat kan eventueel overtollige grote luchtdruk ontsnappen via de wonde aan de buitenkant en is de pneumothorax minder groot. Als men bij een ongeval ribben breekt, kunnen puntige breukvlakken van de ribben soms het long- en borstvlies doorboren waarbij er ook een pneumothorax ontstaat. Soms wordt alleen het borstvlies beschadigd, en heeft de patiënt geen pneumothorax. Er kan wel bloed of vocht in de pleuraholte ontstaan (dit noemt men respectievelijk een hemothorax en een hydrothorax).
Iatrogene pneumothorax
Een iatrogene pneumothorax is een pneumothorax veroorzaakt door een medische ingreep. Dit omvat zowel bedoelde als onbedoelde pneumothoraxen. Vroeger liet men weleens bewust een pneumothorax ontstaan om verschillende ziektes te behandelen, bijvoorbeeld tuberculose. Men dacht dat de tuberculose beter genas door het laten platvallen van een stuk long en dit in contact te brengen met zuurstofrijke lucht. Deze behandeling is inmiddels achterhaald. Het gebeurt nu nog dat een chirurg bij een operatie de longen even laat ‘plat leggen’. Je kan ook zien dat veel patiënten na een hart of longoperatie één of meerdere thoraxdrains krijgen. Dit doet men om lucht en/of vloeistof uit de borstholte te zuigen.
Het overgrote deel van de iatrogene pneumothoraxen ontstaat echter onbedoeld. Bij een aanprikken van het borstvlies (op zoek naar vocht) of bij het inbrengen van een centraal veneuze katheter kan het vrij gemakkelijk gebeuren dat er een opening gemaakt wordt die leidt tot een pneumothorax. Nog een mogelijke oorzaak van een iatrogene pneumothorax is die waarbij de patiënt beademd wordt met positieve druk, maar dit per ongeluk met een te hoge druk gebeurd is. Dit komt doordat het longvlies dan beschadigd wordt en open barst (denk aan het te hard opblazen van een ballon). Zodra ergens een klein scheurtje ontstaat, kan de lucht daarlangs ontsnappen naar de pleuraholte.
Spontane pneumothorax

Ook hier is het mogelijk de pneumothoraxen op te splitsen in twee groepen. De spontane pneumothorax kan opgesplitst worden in de primaire en secundaire pneumothorax. De primaire pneumothorax is een pneumothorax zonder duidelijke oorzaak, de secundaire pneumothorax is een pneumothorax die ontstaat als gevolg van onderliggend longlijden.
Primaire spontane pneumothorax
De oorzaken van een primaire (of idiopathische) spontane pneumothorax zijn nog niet geheel duidelijk. Wel wordt er vaak een verband gemaakt met aangeboren afwijkingen, maar die zijn niet altijd aanwezig (aanwezig bij 75 tot 89% van de patiënten). Zo kan door een verkeerde beweging al een lekje veroorzaakt worden door scherpe randjes aan de ribben. Dit kan alleen bij lekkage blijven tot het deels inklappen of volledig. Ook kunnen er alleen "pleura wrijven" symptomen ontstaan zoals klik met inademen en soppend geluid in de borstkas. Een primaire spontane pneumothorax (vanaf hier afgekort als psp) wordt ook vaker aangetroffen bij magere lange mannen rond de 20 jaar oud, vooral als ze ook roken. Als dit bij herhaling voorkomt zal het leiden tot overmatig littekenweefsel en in uiterste gevallen tot infecties. Daarom dient zo'n herhaalde psp operatief te worden behandeld door middel van een kijkoperatie (VATS), of door de long te plakken.
Een eerste theorie over het ontstaan van een psp heeft het over blebs en bullae. Dit zijn aangeboren emfyseemachtige afwijkingen aan het longweefsel waarbij holtes gevonden worden in het longweefsel. Bij blebs zullen er lokale ophopingen zijn van lucht in het longvlies, bij bullae is er abnormaal longweefsel door het samenvloeien van de longblaasjes. Bullae zijn dus groter dan blebs en een ander verschil is dat blebs altijd buiten het longparenchym gelokaliseerd zijn. De grootte varieert sterk van persoon tot persoon, evenals de hoeveelheid blaasjes. Als een van die blaasjes doorscheurt of open springt, zal er een lek zijn tussen de long en de pleuraholte, en dan krijgt men een psp. De druk in de longen is in de longtop kleiner dan aan de basis. Hierdoor staan de longblaasjes in de top sterker bloot aan verscheuring dan die aan de basis. Ook zou bij magere lange mensen de eerste rib meer horizontaal staan, en scherpe randen hebben, wat ook de vliezen zwakker zal maken, en zo'n persoon heeft dus een verhoogde kans op een pneumothorax.
Een tweede theorie over de oorzaak van de psp is dat er in het buitenste gedeelte van de longen een slechtere luchtcirculatie is, met als gevolg een minder goede afvoer van slijm. Dit zou de groei van micro-organismen op deze plaats positief beïnvloeden. Hier zouden er kleine ontstekingshaarden kunnen ontstaan die vervolgens een verslapping van de longvliezen en daardoor een pneumothorax veroorzaken.
Een derde verklaring is dat de longen bij het volwassen worden minder in de lengte groeien dan de borstholte waardoor de longen constant wat uitgerekt zijn. Er is daardoor altijd een onderdruk of negatieve druk in de pleuraholte die bij magere lange mensen sterker is. Dit is ook een verklaring waarom mensen jonger dan 15 jaar meestal geen psp krijgen.
Wat ook samengaat met de theorieën over druk is het idee dat trillingen die worden veroorzaakt door geluidsinstallaties in extreme gevallen zo'n sterke druk kunnen geven dat long of borstvlies beschadigen.
Secundaire spontane pneumothorax
De secundaire spontane pneumothorax is een gevolg van een ziekte of een afwijking aan de weefsels, het zogenaamd onderliggend longlijden. Theoretisch kunnen alle (long)ziektes een aanleiding geven tot een pneumothorax; longziektes kunnen immers het longweefsels en/of het longvlies hun stevigheid doen verliezen. Dan is het mogelijk dat er lucht zal komen in de pleuraholte, doordat het longvlies scheurt en er via het longweefsel lucht ontsnapt. Dit is vooral het geval bij longemfyseem. De voornaamste reden is hier echter het roken. Dit komt doordat de longblaasjes door het roken minder flexibel of elastisch zijn en daardoor gemakkelijker scheuren of barsten.
Een andere oorzaak van een pneumothorax is een menstruatiepneumothorax (endometriosepneumothorax). Dit is een zeer zeldzame aandoening. Als er zich (door onbekende oorzaak, mogelijk embryonale resten) ook baarmoederslijmvlies in de pleuraholte bevindt, dan zal dit maandelijks mee met de hormonencyclus opgebouwd worden, bloeden en weer in volume afnemen. Dit heet endometriose. Als het weefsel zich op het zwakste punt bevindt, kan het doorscheuren en zal het weefsel het longweefsel ook mee beschadigen. Als een vrouw maandelijks een pneumothorax heeft moet men aan de mogelijkheid denken. Men zal dan met een thoracoscopie de pleuraholte moeten bekijken en het baarmoederweefsel weghalen.
Symptomen
Bij een spontane pneumothorax weet de patiënt vaak niet wat hem overkomt. Hij krijgt plots een scherpe, snijdende pijn, ongeveer op de plaats van de pneumothorax. Die pijn wordt meestal gevoeld tijdens de ademhaling omdat de longvliezen dan over elkaar schuren. Na enige tijd kan er ook dyspneu (kortademigheid, benauwdheid) optreden. Meestal wacht de patiënt het beloop van alles wat hij voelt (pijn, dyspneu, …) af, voor hij beslist naar de dokter te gaan. Het is ook mogelijk dat de patiënt cyanotisch wordt (blauw aanloopt) door het tekort aan zuurstof. Een niet-productieve hoest (zonder slijm) is niet zo zeldzaam, bloed ophoesten komt daarentegen weinig voor. Omdat de symptomen na verloop van tijd verminderen, kan het gebeuren dat de patiënt een tijd rondloopt met een pneumothorax, zonder dit te beseffen. Bij opname in het ziekenhuis hebben patiënten vaak geen last meer van pijn. Pijn komt voor bij 80-90% van de patiënten, de dyspneu hangt af van de grootte van de pneumothorax en komt voor bij ongeveer 80% van de patiënten. Vaak ontstaat er een gevoel van niet helemaal te kunnen in- of doorademen. Het kan gebeuren dat een patiënt niets weet van een pneumothorax, nooit iets gemerkt heeft totdat er een röntgenfoto gemaakt wordt.
Spanningspneumothorax
Soms treedt er bij een luchtlek een ventielwerking op. Dit is de spanningspneumothorax, de ernstigste vorm van een pneumothorax, waarbij door een ventielmechanisme de lucht wel vanuit de long de pleuraholte in kan stromen maar hier niet meer uit en dus het lichaam uit, met als gevolg dat de belangrijke structuren - hart en bloedvaten - verplaatst worden naar de gezonde long of in de richting van de buikholte. Dit heeft zeer ernstige gevolgen: het ademhalen wordt steeds moeilijker en er komt minder bloed in het hart. Zo wordt de hoeveelheid lucht in de borstholte steeds groter en kan ook de andere long in gevaar komen, evenals de terugstroming van het bloed naar het hart doordat de grote aderen in de borstholte worden dichtgedrukt. Bij een spanningspneumothorax is de patiënt ernstig benauwd en kan zich een shock ontwikkelen. Er moet onmiddellijk ingegrepen worden door de lucht te laten ontsnappen door het aanprikken van de pleuraholte met een naald, of, in extreme noodsituaties, met een ander scherp voorwerp. Men dient er daarbij voor te zorgen dat de pleuraholte in directe verbinding staat met de buitenlucht, bijvoorbeeld door er een balpenhuls in te plaatsen bij wijze van thoraxdrain.
Diagnose
Wanneer de behandelende arts een pneumothorax vermoedt, kan dit vermoeden in eerste instantie bevestigd of ontkracht worden door een röntgenfoto van de borstkas (thoraxfoto, X-thorax). Dit is echter bij een spanningspneumothorax een vormfout. De diagnose kan hierbij gesteld worden op basis van klinische gegevens zoals het missen van ademgeruis bij de auscultatie (luisteren met stethoscoop). Hierop moet vervolgens meteen gehandeld worden, er kan niet gewacht worden op een foto.
Lichamelijk onderzoek
Het lichamelijk onderzoek dat onder andere het luisteren met een stethoscoop, het kloppen op de borstkas en het opmeten van de bloeddruk, de zuurstofsaturatie en de lichaamstemperatuur omvat, kan nooit met zekerheid uitsluitsel geven over het al dan niet aanwezig zijn van een pneumothorax.
In theorie zou het mogelijk zijn om met een stethoscoop of zonder hulpmiddel, bij een pneumothorax verschillende zaken te horen: Het ademgeruis kan soms verzwakt of afwezig zijn omdat er geen longblaasjes aanwezig zijn op de plek waar geluisterd wordt (ademgeruis wordt veroorzaakt door turbulentie in de longblaasjes). Hoe groter dus de pneumothorax, hoe minder ademgeruis. Door het bekloppen van de borstkas kan mogelijk een luide ('hypersonore') klank gehoord worden (zoals bij een trommel). Bij een linkszijdige pneumothorax is het soms mogelijk om het “Hamman’s sign” te vinden, dit is een kloppend geluid, synchroon met dat van de hartslag, dat waarschijnlijk veroorzaakt wordt door het kloppen van het hart tegen de lucht. Soms ontstaat er onderhuids emfyseem: door de hoge druk in de pleuraholte komt er lucht door het borstvlies in de onderhuidse weefsels. Men voelt dit door een knetterende ruis als men op de aangedane plaats druk uitoefent. Dit noemt men ook sneeuwkraken of crepiteren, het is enigszins vergelijkbaar met het geluid (en gevoel) dat verse sneeuw geeft als je er op loopt. Men spreekt soms van Michelin-mannetjes, omdat het aangedane deel van de borstkas er dikker uit kan zien. Het zal niet alleen de borstkas zijn die lichtjes is uitgezet, ook bij de hals, de schouders en zelfs het hoofd kan dit voorkomen. In de praktijk blijkt het echter vaak moeilijk of onmogelijk te zijn om dit alles (of enkele van die symptomen) op te merken. Een groot deel van de spontane pneumothoraxen wordt niet ‘ontdekt’ bij het eerste lichamelijk onderzoek. Daarom wordt er altijd een röntgenfoto gemaakt als er een pneumothorax vermoed wordt. Soms wordt er ook al meteen een CT-scan gemaakt, maar in Nederland wordt dit als overdadig (onnodig dure en complexe diagnostiek met extra stralenbelasting) beschouwd.
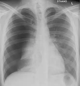
Bij het bekijken van een röntgenfoto zoekt men naar de begrenzing van de ingeklapte long. Dit is een dun randje op de foto; dit is het longvlies. Tussen dit randje en de borstwand is er een holle ruimte, waarin er geen tekening meer is van bloedvaten of longweefsel. Dit is de pneumothorax. Dit is niet altijd duidelijk te zien; vooral bij een kleine, gedeeltelijke pneumothorax is de pneumothorax soms moeilijk vast te stellen. Mogelijk wordt er soms onderaan de longen vocht gezien: dit kan zowel bloed als pleuravocht zijn. Indien het mediastinum, de ruimte die tussen beide longen ligt, een beetje naar de gezonde kant is opgeschoven is dit een alarmteken voor een spanningspneumothorax. Soms ligt de middenrifspier ook lager dan normaal door de spanning in de pneumothorax.
Differentiaaldiagnose: andere mogelijkheden
Door sommige symptomen (pijn, ademtekort, opgeven van bloed(fluimen), cyanose, niet productieve hoest) kan het gebeuren dat de behandelend arts of de eerste zorgverstrekker(s) een verkeerde diagnose stellen. Men denkt aan pleuritis (longvliesontsteking), longontsteking, longembolie, borstwandpijn door een ongeval … Ook omgekeerd is mogelijk, dat er onterecht een diagnose van pneumothorax wordt gesteld. Dit kan komen doordat er op een röntgenfoto een misleidend beeld te zien kan zijn door bullae of huidplooien (die kunnen ontstaan als de plaat onder de patiënt wordt geschoven). De huidplooi wordt soms ten onrechte aangezien voor het longvlies.
Behandeling

Een kleine spontane pneumothorax behoeft geen behandeling mits het lek gedicht is en de patiënt geen last ondervindt van de pneumothorax. Soms wordt er eenmalig via een naald of katheter lucht weggezogen waarna men deze naald meteen verwijdert. Bij een grote pneumothorax zal men de patiënt willen opnemen (al was het alleen maar omdat het fataal kan zijn er aan de andere kant ook een te krijgen, wat slechts in uitzonderlijke gevallen gebeurt) en zal men de pneumothorax via een thoraxdrain op waterslot onder een lichte onderdruk houden om de long weer te ontplooien. Lukt dit, blijft de patiënt enige dagen stabiel en vooral, als er geen luchtlek meer is, dan kan de drain weer worden verwijderd en mag de patiënt naar huis.
Een pneumothorax naar aanleiding van trauma van de borstkas, hoe klein ook, zal in het algemeen klinisch behandeld worden, ook omdat niet op voorhand duidelijk kan zijn welke vitale structuren in de borstkas mogelijk nog meer beschadigd zijn. Soms kan het nodig zijn op de plaats van een ongeval al een thoraxdrain in te brengen om een spanningspneumothorax te ontlasten.
Bij het vervoer van mensen met een pneumothorax moet worden bedacht dat vliegen, als daarbij een luchtdrukverlaging optreedt (passagiersvluchten op grote hoogte), de benauwdheid ernstig kan doen toenemen. Een doorgemaakte pneumothorax is voor sportduiken een groot risico en zal bij een duikkeuring gecontroleerd moeten worden.
Bij herhaaldelijk optreden kan men overgaan tot het 'plakken' van de long, pleurodese geheten: tussen de longvliezen aan de buitenkant van de long en de binnenkant van de borstholte wordt een chemisch prikkelende stof gebracht (de meest gebruikte en bekendste is talkpoeder, andere minder gebruikte mogelijkheden zijn bloed, glucose, olijfolie, bleomycine en doxycycline), waardoor een steriele ontstekingsreactie ontstaat; bij de (zeer pijnlijke) genezing hiervan vergroeit de long aan de borstwand en kan dan normaal gezien niet meer inklappen.
Soms gaat men over tot een operatie, waarbij men de overtollige luchtbellen (bullae) wegsnijdt en de daarop ontstane wond dichtniet. Een bijkomende noodzakelijke stap is tevens uitvoeren van een pleurabrasie waarbij het borstvlies van de thoraxwand ruw wordt gemaakt, of een pleurectomie, waarbij het borstvlies van de thoraxwand wordt afgestript, zodat er langs de gehele binnenkant van de thorax een wonde ontstaat en het longvlies vastgroeit aan het borstvlies van de thoraxwand.
