Hemothorax
Raadpleeg bij gezondheidsklachten een arts.
| Hemothorax | ||||
|---|---|---|---|---|
| ||||
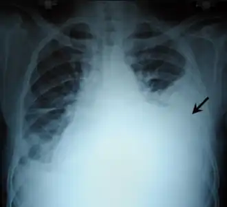
Hemothorax, aangegeven met pijl
| ||||
| Coderingen | ||||
| ICD-11 | ||||
| MedlinePlus | 000126 | |||
| MeSH | D006491 | |||
| ||||
Een hemothorax is een abnormale toestand waarbij er bloed in de pleurale ruimte gelekt is, met als gevolg dat de long kleiner geworden is. Deze toestand wordt meestal veroorzaakt door een trauma waardoor een bloeding ontstaan is. De hoeveelheid bloed kan eventueel toenemen tot een situatie waarbij er zoveel druk op de longen uitgeoefend wordt dat de werking hiervan gehinderd wordt, of tot er zoveel bloed aan de circulatie is onttrokken dat de patiƫnt in shock raakt.
De pleurale ruimte is de ruimte tussen het binnenste (viscerale) en het buitenste (pariƫtale) longvlies (pleura). Normaal is deze ruimte er niet, de longvliezen liggen tegen elkaar, (een virtuele ruimte) op een dun filmpje pleuravocht tussen de longvliezen na. Normaal heerst er ook een onderdruk ten opzichte van de atmosferische druk. Hierdoor blijft de long deze ruimte maximaal vullen. De long op zich heeft immers de neiging om samen te trekken door haar elasticiteit. Bij het binnenstromen van bloed in de pleuraholte wordt dus plaats van de long ingenomen.
Een hemothorax is een soort van hydrothorax, net zoals een chylothorax. Het valt ook te vergelijken met een pneumothorax.
- Nota's bij de cursus splanchnologie, Prof. dr. G. Delvaux, Dienst uitgaven Vrije Universiteit Brussel
