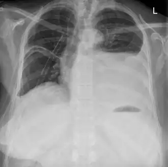
Hydrothorax
Raadpleeg bij gezondheidsklachten een arts.

Een hydrothorax is een abnormale toestand waarbij er vocht in de pleurale ruimte gelekt is, met als gevolg dat de long kleiner geworden is.
De pleurale ruimte is de ruimte tussen het binnenste (viscerale) en het buitenste (pariƫtale) longvlies (pleura). Normaal is deze ruimte leeg (een virtuele ruimte) op een dun filmpje pleuravocht tussen de longvliezen na. Normaal heerst er ook een onderdruk ten opzichte van de atmosferische druk. Hierdoor blijft de long deze ruimte maximaal vullen. De long op zich heeft immers de neiging om samen te trekken door haar elasticiteit.
Soorten van hydrothorax zijn een hemothorax en een chylothorax. Bij de eerste is er bloed in de pleurale ruimte gelekt. Als er lymfevocht zich opstapelt (bijvoorbeeld door een letsel van de ductus thoracicus) spreekt men van een chylothorax.
Een hydrothorax valt ook te vergelijken met een pneumothorax.
Bron: Nota's bij de cursus splanchnologie, Prof. dr. G. Delvaux, Dienst uitgaven Vrije Universiteit Brussel