Emfyseem
Raadpleeg bij gezondheidsklachten een arts.
| Emfyseem | ||||
|---|---|---|---|---|
| ||||
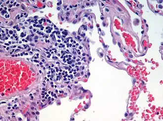
Een klein stukje longweefsel van een emfyseempatiënt
| ||||
| Coderingen | ||||
| ICD-11 | ||||
| OMIM | [1] | |||
| DiseasesDB | 4190 | |||
| DOID | 9675 | |||
| MedlinePlus | 000136 | |||
| eMedicine | med/654 | |||
| MeSH | D011656 | |||
| ||||
Emfyseem is in de geneeskunde een toestand waarin de longen sterker uitgerekt zijn dan normaal terwijl de interne microstructuur ervan, in de vorm van de longblaasjes en de fijne tussenschotjes daartussen, deels verloren is gegaan zonder dat er duidelijke longfibrose is opgetreden.
De interalveolaire septumruptuur leidt tot significante vervormingen van de longarchitectuur,[1][2][3] die belangrijke functionele gevolgen hebben.

De belangrijkste mechanische consequentie van septumbreuk is dat de resulterende holte groter is dan de som van de twee alveolaire ruimtes (zie zijkant figuur). Als gevolg van het ontbreken van mechanische ondersteuning van de gebroken septa wordt de elastische terugslag van de longen vergroot door deze nieuwe ruimte, noodzakelijkerwijs op kosten van het omringende gezonde parenchym.
Hierdoor is:
- het totale gaswisselingsoppervlak verminderd;
- het capillaire vaatbed verkleind (waardoor de rechterkamer van het hart op den duur in moeilijkheden kan komen);
- de luchtinhoud van de longen verhoogd;
- de elasticiteit van de long verminderd; en de
- maximale uitademingssnelheid verlaagd.
Dit heeft gevolgen voor de patiënt, die sneller kortademig wordt en een grote, tonvormige borstkas ontwikkelt die permanent in de inademingsstand staat. In het eindstadium van de ziekte is de patiënt permanent benauwd, zelfs in rust.
Roken is zonder enige twijfel (in 95% van de gevallen) de belangrijkste oorzaak van emfyseem, maar ook het langdurig roken van crack en slecht behandelde astma kan uiteindelijk tot deze toestand leiden, evenals een aantal andere afwijkingen zoals genetische defecten in een aantal enzymen, zoals alfa-1-antitrypsine, maar ook bij aandoeningen zoals cutis laxa[4] en het syndroom van Marfan. Ook bepaalde beroepen kunnen een beïnvloedende factor zijn, zoals glasblazer, trompettist en kapper -vanwege het gebruik van haarproducten.
'Zuiver' emfyseem is zeldzaam; er komt vaak nog een chronische bronchitis en/of astma bij. Deze combinaties worden wel onder het spectrum van COPD (chronic obstructive pulmonary disease) ondergebracht en in het verleden in Nederland ook wel CARA genoemd (chronische aspecifieke respiratoire aandoeningen). De term CARA wordt niet meer officieel gebruikt.
Emfyseem is onomkeerbaar en neigt tot verergering, zeker als de patiënt niet stopt met roken. Genezing is niet mogelijk. Behandeling (met luchtwegverwijders, antibiotica bij infectie, onderdrukking van de ontstekingsreacties van de luchtwegen en uiteindelijk met permanente zuurstoftoediening) is maar beperkt effectief. Emfyseem is een van de belangrijke, meestal vermijdbare, oorzaken van invaliditeit, met name bij mensen boven de 45 jaar.
De medische term emfyseem is voor het eerst als emphysema beschreven in 1824 als ziektekundig verschijnsel. Het woord betekent zwelling, en is afkomstig van het modern Latijnse woord emphysema, dat ontleend is aan het Griekse woord emphusema, dat het inblazen of opblazen betekent, van het werkwoord en (in)+phusao (ik blaas); het is een klanknabootsend woord.[5]
- ↑ S. Nazari: Mechanical Events In Physiopathology Of Idiopathic Pulmonary Emphysema: A Theoretical Analysis. The Internet Journal of Thoracic and Cardiovascular Surgery. 2002 Volume 5 Number 2
- ↑ a b Nazari S.The surgical physiopathology of essential pulmonary emphysema and volume-reduction intervention. Minerva Chir. 1998 Nov; 53 (11):899-918. PMID 9973794
- ↑ a b (video) fondazionecarrel.org emfyseem. Gearchiveerd op 22 mei 2023.
- ↑ Qirui Hu et. al., Mechanisms of emphysema in autosomal dominant cutis laxa. pubmed. Gearchiveerd op 9 januari 2022. Geraadpleegd op 10 januari 2022.
- ↑ Zoekresultaten. etymologiebank.ivdnt.org. Gearchiveerd op 19 april 2021. Geraadpleegd op 19 april 2021.
