Tuberculose
Raadpleeg bij gezondheidsklachten een arts.
| Tuberculose | ||||
|---|---|---|---|---|
| ||||
kolonies van de Mycobacterium tuberculosis op een kweekplaat
| ||||
| ||||
| Coderingen | ||||
| ICD-11 ICD-10 |
1B10-1B14 A15-A19 | |||
| OMIM | 607948 | |||
| DiseasesDB | 8515 | |||
| DOID | 399 | |||
| MedlinePlus | 000077 000624 | |||
| eMedicine | med/2324 emerg/618 radio/411 | |||
| MeSH | D014376 | |||
| ||||
Tuberculose of tbc is een ernstige, soms besmettelijke bacteriële infectieziekte, meestal veroorzaakt door de tuberkelbacil Mycobacterium tuberculosis.[1] Deze bacterie werd in 1882 door Robert Koch ontdekt. Door het gebruik van verschillende daartoe geschikte antibiotica tegelijkertijd is tuberculose tegenwoordig meestal goed te behandelen. Tuberculose behoorde in 2018 wereldwijd tot de tien meest voorkomende doodsoorzaken. De meest voorkomende vorm van tuberculose onder mensen is longtuberculose. De sterfte aan tuberculose is mondiaal gezien ongeveer gelijk aan die door verkeersongevallen.
De internationale organisatie International Union Against Tuberculosis and Lung Disease,[2] die zich inzet om tuberculose te bestrijden, is in Parijs gehuisvest.
Taalgebruik
In de volksmond werd tuberculose ook wel tering genoemd. In de periode dat er nog geen werkzame geneesmiddelen bestonden tegen tuberculose, ontstonden de afkortingen tbc, of zelfs tb, die ook tegenwoordig nog worden gebruikt. Bij snel verlopende gevallen werd de ziekte wel aangeduid als 'vliegende tering' en ook 'pleur(it)is', dat longvliesontsteking betekent ongeacht de oorzaak, werd gezegd. De naam tuberculose komt van de tuberkels, knolvormige lichaampjes, ook wel granulomen genaamd, die kenmerkend zijn voor ontstekingen veroorzaakt door deze bacteriegroep. Tuberculose is ook de witte pest genoemd.
Geschiedenis
Robert Koch maakte op 24 maart 1882 bekend dat hij de bacterie Mycobacterium tuberculosis, die tuberculose veroorzaakte, had ontdekt. Hij ontving voor die ontdekking in 1905 de Nobelprijs voor de Geneeskunde. Op 24 maart 1982, precies 100 jaar na de ontdekking van de tuberculosebacterie, werd de eerste Wereldtuberculosedag gehouden, gesponsord door de Wereldgezondheidsorganisatie WHO en de IUATLD. Op deze dag wordt wereldwijd informatie verstrekt over tuberculose en de effecten die de ziekte heeft op de wereldwijde volksgezondheid en economie.
De meeste mensen, die in de tijd dat Koch zijn ontdekking deed, besmet waren geraakt, genazen er de eerste keer van zonder er zelf merkbaar ziek van te zijn geworden. Wel hadden ze vaak in hun longen of elders nog diep ingekapselde, levende tbc-bacteriën, die bij een ernstige vermindering van de weerstand weer actief konden worden.
Tuberculose was voor de Tweede Wereldoorlog een vaak fataal verlopende, nauwelijks behandelbare ziekte. Omdat men bovendien dacht dat het erfelijk was, werd een besmetting in bourgeoisfamilies vaak verborgen gehouden.[3] De behandeling bestond uit rust en kuren in sanatoria in gebieden met 'gezonde lucht', bijvoorbeeld op de Veluwe of in het hooggebergte. Patiënten konden ook in een dagsanatorium net buiten hun woonplaats of in de tuin bij hun woning worden verpleegd. Ze verbleven dan in een demontabel houten tbc-huisje waarvan een open zijde naar de zon en uit de wind kon worden gedraaid om zoveel mogelijk in de frisse buitenlucht te zijn.[4] Het eerste sanatorium voor tbc-patiënten werd in 1855 geopend in Görbersdorf in Duitsland, na Poolse overname Sokołowsko. Nederland had in het jaar 1900 ongeveer vijf miljoen inwoners, jaarlijks stierven er toen ongeveer 10.000 mensen aan tuberculose[5], terwijl in totaal jaarlijks 90.000 mensen kwamen te overlijden.[6] Dit is relatief gezien ongeveer driemaal de huidige sterfte aan longkanker.
Ziekteverwekkers
Over het algemeen wordt tuberculose veroorzaakt door een lid van het Mycobacterium tuberculosis-complex MBTC, meestal gaat het dan om de bacterie Mycobacterium tuberculosis. Andere leden van het MBTC zijn Mycobacterium bovis, de Bacillus Calmette-Guérin-stam, de bacterie uit het vaccin tegen tbc, Mycobacterium africanum, Mycobacterium microti, Mycobacterium pinnipedi, Mycobacterium caprae en Mycobacterium canetii. Mycobacteriën zijn bepaalde typen bacteriën, vaak aangeduid als zuurvaste staven, zo genoemd naar de eigenschap dat ze bij de Ziehl-Neelsen-kleuring niet door zuur worden ontkleurd zoals andere bacteriën.
Tuberculose bij de mens die niet door een mycobacterie uit het MBTC wordt veroorzaakt, wordt 'atypische tuberculose' genoemd, dus geen 'echte' tuberculose.
Verschijnselen

Longtuberculose
Als een tuberculose-infectie actief wordt, is dat meestal in de longen, in Nederland in ongeveer 55% van de gevallen. Mogelijke symptomen zijn onder meer pijn op de borst en langdurig hoesten waarbij soms slijm wordt opgehoest. Ongeveer 25% van de patiënten heeft geen symptomen, dat wil zeggen dat ze 'asymptomatisch' blijven.[8] Sommige mensen gaan kleine hoeveelheden bloed ophoesten en in zeer zeldzame gevallen kan de infectie een longslagader aantasten, waardoor een grote bloeding ontstaat.[9] Tuberculose kan een chronische ziekte worden, waarbij uitgebreide littekens in de bovenste longkwabben kunnen ontstaan. De bovenste longkwabben worden meer door tuberculose aangetast dan de onderste longkwabben.[9] De reden daarvoor is niet helemaal duidelijk.[10] Het heeft mogelijk te maken met een betere luchtstroom boven in de longen[10] of met een slechtere afvoer van lymfe uit de bovenste longkwabben.[9]
Extrapulmonale tuberculose
Extrapulmonale tuberculose is tuberculose buiten de longen. In elk orgaan van het lichaam kan tuberculose ontstaan. Haren en nagels zijn daarvan gevrijwaard. In Nederland omvat alleen extrapulmonale tuberculose ongeveer 45% van de patiënten, eveneens 45% van de tuberculose is alleen pulmonaal, dus alleen longtuberculose, en bij de resterende 10% is de ziekte een gemengde vorm. Extrapulmonale tuberculose komt meer bij mensen voor met een verstoord immuunsysteem en bij jonge kinderen. Bij mensen met hiv is dat bij meer dan 50% het geval.[11] Bekende plaatsen voor extrapulmonale infectie zijn onder andere de longvliezen, dan dus tuberculeuze pleuritis, het centrale zenuwstelsel: tuberculeuze hersenvliesontsteking, het lymfevatenstelsel: scrofuloderma van de hals, een huidafwijking, het urogenitaal stelsel, en de beenderen en gewrichten: ziekte van Pott van de wervelkolom. Als de ziekte beenderen betreft, wordt dit ook wel osseuze tuberculose genoemd, een vorm van osteomyelitis.[10] Een ernstiger, wijdverspreide vorm van tuberculose is de gedissemineerde tuberculose, algemeen bekend als miliaire tuberculose.[9] Ongeveer 10% van de gevallen van extrapulmonale tuberculose zijn miliaire tuberculose.
Veel symptomen van de verschillende varianten overlappen elkaar, terwijl andere symptomen specifiek voor bepaalde varianten zijn. Er kunnen verschillende varianten tegelijkertijd aanwezig zijn.
Voorkomen

Wereldwijd komt 80% van de tuberculosepatiënten in zes landen voor: China, India, Zuid-Afrika, Nigeria, Indonesië en Pakistan. De Wereldgezondheidsorganisatie WHO schat dat in 2015 wereldwijd 10,4 miljoen mensen tuberculose kregen en dat 1,8 miljoen mensen overleden ten gevolge van deze ziekte. Dit zijn circa 5.000 doden door tuberculose per dag. Ongeveer een derde van de wereldbevolking is met tbc-bacteriën besmet zonder ziek te zijn. Deze mensen hebben een latente tuberculose infectie, vaak afgekort tot LTBI. Het is van belang dit te onderscheiden van de actieve tuberculose, de tuberculose als ziekte. Het is niet altijd even duidelijk of een tbc actief is of dat het gaat om een oude infectie met tbc-bacteriën.
Rond 2017 waren er ongeveer 900 tbc-patiënten per jaar in Nederland, bijna de helft hiervan in de vier grote steden. Iets minder dan twee derde van de patiënten was van buitenlandse afkomst. Ongeveer 35% van de tbc-patiënten werd buiten het ziekenhuis gevonden, meestal door de GGD.
In België werden in 2005 1.144 patiënten geregistreerd, wat overeenkomt met een incidentie van 11,0 nieuwe patiënten per 100.000 persoon-jaren. Ongeveer 51% van deze nieuwe patiënten waren mensen die niet uit België kwamen. In 2021 daalde dit naar 875 nieuwe patiënten of 7,6 per 100.000 personen.[12]
Besmettingswijze
Veruit de belangrijkste wijze van besmetting vindt plaats door het inademen van kleine, in de lucht zwevende druppeltjes met daarin tuberculosebacteriën die door longtuberculosepatiënten worden verspreid. Vooral bij hoesten worden zeer veel geïnfecteerde druppeltjes verspreid. Een andere manier waarop mensen kunnen worden geïnfecteerd is door consumptie van voedsel met tuberculosebacteriën. Zo kunnen mensen besmet raken door het drinken van melk van koeien met rundertuberculose. Rundertuberculose wordt veroorzaakt door Mycobacterium bovis. In Nederland kwam deze wijze van besmetting vroeger veel voor, maar dit werd met succes bestreden door het invoeren van gepasteuriseerde melk en het tbc-vrij maken van de veestapel.
Pathologie
Bij besmetting met tuberculosebacteriën komt de bacterie via de longen in het lichaam. Op de plaats waar de bacteriën met de longen in contact komen, vermenigvuldigen zij zich en worden via de lymfe naar het regionale lymfklierstation gebracht. Dit is vaak het longhilum. In de lymfklieren in het hilum of elders in het mediastinum, treedt een afweerreactie op waardoor de lymfklier groter wordt. Dit kan zichtbaar zijn op een longfoto. Hierna volgt een verspreiding van de tuberculosebacterie via lymfe en bloed door het hele lichaam. Na ongeveer zes weken heeft het lichaam doorgaans genoeg afweer ontwikkeld om de infectie te weerstaan. Wel blijven overal in het lichaam nog latente, 'slapende' tuberculosebacteriën achter. Bij ongeveer 1% van de mensen die besmet zijn geraakt, zal zich tuberculose ontwikkelen. Bij ongeveer 10% zal de 'slapende' tuberculosebacterie op een later moment weer actief worden en de ziekte tuberculose veroorzaken. Dit is de zogenaamde post-primaire tuberculose. Hierbij bestaat een voorkeur voor de bovenste longkwabben, met name voor het apico-dorsale segment, maar tuberculose kan overal in het lichaam ontstaan. Het verwijderen van alleen het deel waar de tuberculose zich manifesteert, bijvoorbeeld een longkwab, is dus niet voldoende. Meestal treedt de ziekte binnen een of twee jaar na de besmetting op, maar het kan ook 60 jaar of langer duren. Bij mensen met een verlaagde afweer of jonge kinderen is de kans groter dan ongeveer 10% dat zij tuberculose krijgen. Bij met hiv geïnfecteerde mensen die hier niet tegen worden behandeld, is de kans op het krijgen van tbc na besmetting ongeveer 10% per jaar. In landen waar veel mensen met hiv zijn besmet komt daarom veel tuberculose voor. In Afrika ten zuiden van de Sahara zullen de meeste tbc-patiënten ook hiv-positief zijn. Tbc verslechtert het verloop van een hiv-infectie en omgekeerd bespoedigt een hiv-infectie het ontstaan en ontwikkelen van tuberculose.
Resistentie
In 2011 is in India een niet te behandelen vorm van tbc ontdekt.[13]
De bacterie is de laatste jaren wereldwijd voor sommige geneesmiddelen minder gevoelig of zelfs resistent geworden. Als een tbc-bacterie resistent wordt, is dat meestal het gevolg van een verkeerde behandeling: de arts kan verkeerde medicijnen voorschrijven, de apotheek kan de verkeerde geneesmiddelen afleveren, de geneesmiddelen zijn van slechte kwaliteit en de patiënt kan ze verkeerd of niet innemen.[14][15]
Er wordt onderscheid gemaakt tussen verschillende maten van resistentie:
- Monoresistentie
- MDR-TB Multi Drug Resistant Tuberculosis
- XDR-TB Extensively Drug Resistant Tuberculosis
Als een patiënt wordt besmet met een al resistente bacterie, heet dit een primaire resistentie. Als de bacterie pas tijdens de behandeling resistent wordt, gaat het om een secundaire resistentie. 1,5% van alle tuberculosepatiënten met positieve sputumcultuur en beschikbaar antibiogram in België was in 2005 besmet met de meervoudig resistente tuberkelbacil, resistent tegen ten minste isoniazide (INH) en rifampicine en 5,5% was isoniazide-resistent. In Nederland is al sinds jaren ongeveer 6,5% van alle gekweekte tuberculosebacteriën resistent tegen INH en 0,8% viel onder de definitie van MDR-TB.[16]
Monoresistentie
Dit is resistentie tegen een soort geneesmiddel tegen tuberculose. Soms is hierdoor aanpassing van de behandeling nodig. Bij resistentie tegen alleen INH kan de behandeling met een kleine aanpassing in de medicatie nog steeds in zes maanden worden afgerond. Bij een medicatieschema zonder rifampicine, zoals bij monoresistentie tegen rifampicine, moet de behandeling worden verlengd naar 12-18 maanden.[14]
Multi Drug Resistant Tuberculosis MDR-TB
Een MDR-TB Multi Drug Resistant Tuberculosis is resistent voor ten minste INH en rifampicine, ongeacht andere resistenties.
MDR-TB wordt vooral gevonden in gedeelten van Oost-Europa,[17] Kazachstan,[18] Kirgizië, in Israël door immigratie uit Rusland, Zuid-Afrika, China en onder meer Haïti en India. Gevangenissen zijn in veel landen berucht vanwege de grote aantallen tbc-patiënten. Wereldwijd zijn er jaarlijks ongeveer 500.000 nieuwe MDR-TB-patiënten, dit is 5% van alle nieuwe tuberculosegevallen per jaar.[16] Wereldwijd krijgt maar een op de vijf MDR-TB patiënten de juiste behandeling. In 2009 zouden er in Kirgizië 1400 lijders aan MDR-TB zijn geweest, van wie er slechts 600 onder behandeling waren en van wie er 300 gevangenen waren. De behandeling kostte daar ongeveer 7000 Amerikaanse dollar per patiënt, een groot bedrag in een land waar het gemiddeld jaarloon 1600 dollar bedraagt.
Het totaal aantal tussen 1993 en 2007 gemelde patiënten bedroeg in Nederland met MDR-TB honderdrieënvijftig.[19] De behandelduur bedroeg meestal 18-24 maanden. De behandeling was tot 100 maal zo duur als die van gewone tuberculose. Het bestrijden van een vrij beperkte uitbraak van MDR-TB in New York in 1993 kostte 4,2 miljard dollar.[20]
Bij de behandeling worden er behalve moderne geneesmiddelen ook uit de periode 1940-1960 gebruikt, die eerder niet meer werden voorgeschreven omdat ze maar weinig effect of veel bijwerkingen hadden. Voorbeelden hiervan zijn PAS, ethionamide, clofazimine, cycloserine en capreomycine.
Extensively Drug Resistant Tuberculosis XDR-TB
Bij XDR-TB Extensively Drug Resistant Tuberculosis bestaat er behalve de vormen van resistentie die bij de MDR-TB voorkomen ook een soort resistentie tegen ten minste een van de fluorchinolonen en tevens tegen minimaal een van de te vaccineren geneesmiddelen uit de tweedelijnsmedicatie tegen tuberculose: Amikacine, Kanamycine of Capreomycine. Deze variant is nog moeilijker te behandelen dan de MDR-TB en komt vooral in Oost-Europa en Rusland voor, maar het heeft zich in 2006 ook in KwaZoeloe-Natal in Zuid-Afrika voorgedaan, waar 52 van de 53 XDR-TB-patiënten zijn overleden.[21] De mediane overleving na het stellen van de diagnose was bij deze groep patiënten slechts 16 dagen. Zelfs onder goede omstandigheden en met de juiste voorzieningen en geneesmiddel kan XDR-TB maar bij een minderheid van de patiënten worden genezen. In Letland valt inmiddels 9% van de MDR-TB-patiënten ook onder de definitie van XDR-TB. In een aantal gebieden uit de voormalige Sovjet-Unie zal dit aandeel hoger liggen, precieze cijfers ontbreken daar door de afwezigheid van goede tbc-bestrijding ter plaatse. Hoe langer wordt gewacht met ingrijpen in de brandhaarden met XDR-TB hoe duurder het wordt. In Zuid-Afrika lijkt de XDR-TB-explosie groter dan gedacht, maar ook hier ontbreken goede gegevens. XDR-TB lijkt zich in Zuid-Afrika vooral binnen ziekenhuizen te verspreiden.
De oorzaak van deze zeer resistente vorm van tbc is, net als het ontstaan van andere resistenties, een slecht functionerend tbc-bestrijdingsprogramma: de resistenties zijn man made. De bacterie wordt resistent doordat een te beperkte combinatie van geneesmiddelen in een te kleine hoeveelheid is toegediend.
Wereldwijd is er kritiek op de definitie van XDR-tuberculose omdat de behandelresultaten van MDR- en XDR-tuberculose lang niet altijd zo veel verschillen.
Diagnostiek
Mantouxtest
Bij de mantouxtest wordt een kleine hoeveelheid gezuiverde eiwitten van Mycobacterium tuberculosis, dus antigenen tegen tuberculose, in de huid gespoten. Als de patiënt in het verleden eens met tbc besmet is geraakt, heeft hij of zij hierdoor een immuniteitsreactie ontwikkeld, type IV allergie, die zich dan uit door een rode, verheven plek op de plaats van de injectie. Dit hoeft niet te bewijzen dat zo iemand aan tbc lijdt, alleen dat het immuunsysteem zich in het verleden al eens tegen de bacterie heeft moeten verweren. Die kan al door het lichaam zijn geëlimineerd, genezen in het geval van een oude tbc, of nog actief zijn. De grootte van de mantouxreactie zegt vrijwel niets over de mate van afweer tegen de tbc-bacterie. De uitslag van de mantouxtest wordt opgegeven in het aantal millimeters dat de zwelling, de 'induratie', breed is. De soms aanwezige rode verkleuring van de huid is voor de uitslag niet van belang. Door hiv en aids, sommige afweerverlagende medicijnen en acute virusinfecties kan de mantouxreactie minder betrouwbaar worden. Het aantal fout-negatieve uitslagen neemt dan dus toe.
Vroeger werd iedereen op jonge leeftijd al besmet met de bacterie maar tegenwoordig is dit in de meeste westerse landen een zeldzaamheid. Bij jonge mensen die zijn geboren in een land met al geruime tijd relatief weinig tuberculosepatiënten komt een positieve mantoux door een besmetting met tuberculosebacteriën niet veel voor, bij hoogbejaarden is het eerder regel dan uitzondering, omdat zij in hun jeugd, toen tuberculose meer voorkwam, zijn besmet. Dit geldt ook voor veel allochtonen die jarenlang in een land hebben gewoond waar veel tuberculose voorkomt. In de praktijk zijn dat vaak niet-westerse landen. Dit maakt de test in landen waar al langere tijd weinig tuberculose voorkomt geschikt voor bevolkingsonderzoek en voor het opsporen van mensen die door een contact met een tuberculosepatiënt besmet zijn geraakt.
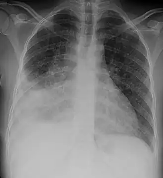
Röntgenfoto

In de tuberculosebestrijding wordt voor het aantonen van tuberculose in en bij de longen veel gebruikgemaakt van longfoto's. Longtuberculose geeft nagenoeg altijd een zichtbare fotoafwijking. Bij een slechte immuunstatus, bijvoorbeeld door hiv en aids, wordt de foto net als de mantouxtest minder betrouwbaar, omdat de afwijkingen kunnen afnemen.
Interferon-γ assays
De laatste jaren bestaan is er bloedonderzoek mogelijk, dat preciezer kan worden uitgevoerd dan de mantoux en waarbij het geen verschil meer maakt dat een patiënt al eerder besmet is geweest en gevaccineerd, in ieder geval voor de meeste atypische Mycobacteriën. Dit soort onderzoek wordt in de literatuur vaak met IGRA aangeduid: Interferon Gamma Release Assay en is meestal op meting van de γ-interferonproductie gebaseerd door bepaalde cellen van het immuunsysteem na incubatie met de eiwitten ESAT-6, CFP-10 en ook TB7.7. De eerder genoemde selectiviteit bestaat omdat deze eiwitten alleen worden gevonden bij Mycobacterium tuberculosis en de atypische Mycobacteriën M. marinum, M. kansasii en M. szulgai, die bij mensen niet vaak ziekte veroorzaken. Van alle andere atypische Mycobacteriën heeft het onderzoek geen last. De Quantiferon Gold™ test en de T-Spot.TB™ zijn voorbeelden van tests die onder dit onderzoek vallen. De waarde van dit soort onderzoek in de praktijk is nog niet bekend. Het lijkt er op dat de uitkomst ervan gedeeltelijk iets anders is dan bij de mantoux. De specificiteit lijkt beter te zijn dan bij de mantouxtest. De sensitiviteit lijkt vooral bij de BCG-gevaccineerden beter te zijn dan bij de mantoux, maar bij patiëntem die niet met BCG zijn gevaccineerd en aan tuberculose zijn blootgesteld zijn de mantoux en de IGRA qua sensitiviteit vergelijkbaar.[22] Mantoux blijkt ook bij een deel van de mensen een onterecht positieve uitslag van een IGRA te kunnen veroorzaken. Dit effect treedt nog niet op als binnen drie dagen na de mantoux bloed ten behoeve van de IGRA is afgenomen. Andersom blijkt dat positieve IGRA-uitslagen soms spontaan weer negatief worden.[23]
Directe Microscopie, van sputum of BAL
Het bekendste zijn de Ziehl-Neelsen-kleuring en de Auramine-kleuring. Hiermee kunnen zuurvaste staven worden aangetoond. Dit zijn meestal tuberculosebacteriën maar atypische mycobacteriën en onder meer Nocardia komen ook positief uit deze testen. Deze testen geven de belangrijkste indicatie over de besmettelijkheid van de tuberculosepatiënt. BAL staat voor broncho-alveolaire lavage: bij een bronchoscopie wordt een beetje water in de long ingebracht, dat later weer wordt opgezogen en vervolgens wordt onderzocht.
Kweken
Indien mogelijk wordt geprobeerd de tuberculosebacterie te kweken. Van vrijwel alles is een kweek te maken, sputum, urine, biopten enz. Bij een positieve tuberculosekweek staat de diagnose tbc vast en bestaat de mogelijkheid om allerlei resistenties tegen medicijnen te testen. Bij ongeveer een derde van de patiënten lukt het niet om de bacterie te kweken. De diagnose moet dan op andere gronden worden gesteld, bijvoorbeeld door de klachten, röntgenfoto's enzovoort. De bekendste tuberculosekweek is de kweek op de Löwenstein-Jensen kweekbodem. Omdat de M. tuberculosis maar langzaam groeit duurt zo'n kweek erg lang, tot drie maanden aan toe. Tegenwoordig doen de meeste laboratoria ook een kweek in een vloeibaar medium, om een positieve kweekuitslag sneller te vinden, 1-2 weken behoort tot de mogelijkheden. Een tuberculosekweek moet door de arts altijd apart worden aangevraagd. Bij kinderen met een beginnende tuberculose blijkt het hooguit in de helft van de patiënten mogelijk om de tuberculosebacterie te kweken en heeft maar ongeveer de helft onder hun klachten. Dat komt omdat de diagnose bij kinderen vaak aan de hand van de longfoto wordt gesteld wanneer zij op tuberculose worden gecontroleerd omdat er iemand in hun omgeving met tuberculose is besmet of er ziek van is.
DNA-genprobes
Twee bekende zijn de polymerasekettingreactie PCR en de accuprobe. Er wordt met deze testen gekeken of het DNA-fragment IS6110 aanwezig is. Als dit het geval is, behoort de gevonden mycobacterie tot het Mycobacterium tuberculosis-complex MBTC. Dit segment ontbreekt in enkele gevallen, dus moeten er meer testen worden gedaan. De PCR kan ook op direct sputum worden gedaan. De Accuprobe™ kan niet op direct sputum worden gedaan, deze wordt op een positieve kweek uitgevoerd. Het is van belang te bedenken dat de PCR ook een positieve uitslag kan geven als de tuberculosebacteriën al dood zijn.
Recent bestaan ook testen, 'sneltesten', die zonder kweek op afgenomen sputum kunnen worden gedaan om resistentie tegen antibiotica aan te tonen. Dit gebeurt door bepaalde bekende mutaties in het DNA van de tuberculosebacterie aan te tonen, die leiden tot resistentie voor antibiotica. Bij rifampicine gaat het om een mutatie in het rpoB gen die bij meer dan 95% van de tuberculosebacteriën met rifampicine resistentie wordt gevonden. Bij INH gaat het lastiger daar er verschillende mutaties voorkomen die de tuberculosebacterie in meer of mindere mate resistent maken. Een bekende mutatie is de katG mutatie die voor iets meer dan 50% van de INH-resistentie verantwoordelijk is.
Risicofactoren
Een van de risicofactoren voor het ontwikkelen van tuberculose is roken.[24]
Behandeling
Tbc is meestal met een combinatie van antibiotica te behandelen. De meest gebruikte antibiotica zijn isoniazide INH, rifampicine, pyrazinamide en ethambutol. De behandeling duurt minimaal zes maanden, maar kan bijwerkingen hebben. De behandeling vindt meestal thuis plaats met isolatiemaatregelen. Een minderheid van de tbc-patiënten wordt voor behandeling opgenomen in een ziekenhuis of sanatorium. De laatste jaren is het aantal patiënten dat in een sanatorium terechtkomt, gestegen zonder dat nog duidelijk is hoe dit komt.
Als de meest toegepaste medicijnen onvoldoende resultaat geven, wordt tweedelijnsmedicatie toegepast. Er zijn zes hoofdgroepen van de tweedelijnsmedicatie tegen tuberculose: aminoglycosiden, polypeptiden, bijvoorbeeld capreomycine, fluorchinolonen, thioamiden, cycloserine en PAS.
Bij tbc-patiënten met een slecht functionerend immuunsysteem zoals bij aids is het mogelijk dat de patiënt tijdens de tbc-behandeling meer klachten krijgt en toenemende afwijkingen bij onderzoek. Dit kan het gevolg zijn van een beter functionerend immuunsysteem. Dit syndroom is bekend onder de afkorting IRIS Immune Reconstitution Inflammatory Syndrome.
Niet alle mensen die besmet worden met de tbc-bacterie krijgen ook de ziekte tuberculose. Ter voorkoming van actieve tbc kunnen de mensen die nog alleen besmet zijn preventief medicijnen gaan slikken. Meestal komt dat neer op INH-tabletten gedurende zes maanden of een combinatiepreparaat van INH en rifampicine gedurende drie maanden. Mensen die een slechte afweer hebben, door aids, kanker, sommige geneesmiddelen, na orgaantransplantaties enzovoort, lopen meer risico op het ontwikkelen van tbc na besmetting dan gezonde mensen. De test om besmettingen aan te tonen, de mantouxtest, is dan al minder betrouwbaar geworden. De preventieve behandeling bij deze groep duurt meestal langer: in plaats van zes maanden wordt negen maanden INH geadviseerd.
Wereldwijd wordt steeds meer de DOTS strategie, Directly Observed Therapy Short course, toegepast als behandelmethode. Hierbij wordt onder meer de medicatie verstrekt onder toezicht. Andere elementen van DOTS zijn een overheid die actief blijft meewerken bij het tbc-bestrijdingsprogramma, toegang tot goed microscopisch onderzoek van sputum, ZN-kleuring, aanwezigheid van kwalitatief goede geneesmiddelen en de registratie van gegevens tijdens de tbc-behandeling.
De meeste Nederlandse artsen, inclusief medisch specialisten, zien vrijwel nooit tuberculosepatiënten en weten er daarom vaak niet veel van. Daarom moet de ziekte worden behandeld door een klein aantal artsen om de kennis en ervaring op peil te houden. Dit is in het ziekenhuis de longarts, ook voor tbc op andere plaatsen dan de longen, en buiten het ziekenhuis de tuberculose-arts van de GGD die zich relatief meer met moeilijk bereikbare patiënten bezighoudt, zoals drugsverslaafden, alcoholisten, asielzoekers en illegalen met tuberculose.
Verouderde behandelingen
Door het bewust veroorzaken van een pneumothorax of klaplong wilde men de door tbc aangedane long rust geven in de hoop dat de patiënt sneller beter kon worden. Een vergelijkbare techniek is het maken van een pneumoperitoneum. Hierbij wordt lucht in de buikholte gebracht waardoor het middenrif naar boven wordt geduwd wat vooral de onderkwabben van de longen minder ruimte zal geven. Geregeld, bijvoorbeeld wekelijks, moest lucht worden bijgevuld omdat de pneumothorax of het pneumoperitoneum spontaan verminderde. Een andere manier om de long minder ruimte te geven, dus 'tot rust te brengen', was het kneuzen of doorsnijden van de linker of rechter nervus phrenicus waardoor het diafragma halfzijdig verlamd raakte. Een alternatief was het inspuiten van fenol bij de nervus phrenicus. Het gebeurde vooral in de jaren veertig dat pingpongballen in de borstholte werden gebracht, zodat de long werd samengedrukt. Alternatieven voor pingpongballen waren paraffine en vet. Ingrijpender was de thoracoplastiek, bij deze operatie werd een aantal van de bovenste ribben verwijderd. Hierdoor werden de bovenste longsegmenten samengedrukt. Deze operatie hield vroeger een behoorlijk risico op overlijden in.
Begin eenentwintigste eeuw verschenen af en toe studies uit onder meer Rusland waar de pneumothorax opnieuw werd opgevoerd als behandeling in die gevallen dat medicijnen niet goed genoeg zouden werken.[25]
Streptomycine was in 1943 het eerste antibioticum tegen tuberculose dat op de markt kwam en werd met ethambutol gecombineerd. Het kan alleen per injectie worden toegediend en bij langdurig gebruik kan het onherstelbare doofheid veroorzaken. Sinds de komst van isoniazide in de jaren 50 en rifampicine in de jaren 70 is het in de westerse landen geleidelijk in onbruik geraakt, in Nederland is het niet meer geregistreerd. De waarde van streptomycine bij multiresistente vormen van tbc is nog onzeker.
Preventie
Bron- en contactonderzoek
Rondom iedere tbc-patiënt wordt indien nodig een bron- en contactonderzoek gedaan en worden besmette mensen preventief behandeld. Hierbij wordt het ringprincipe aangehouden. De mensen met de intensiefste contacten, bijvoorbeeld gezinsleden, collega's op het werk, worden het eerst onderzocht. Het Rijksinstituut voor Volksgezondheid en Milieu RIVM geeft hier een richtlijn voor uit.[26]
Vaccinatie
Inenting met het BCG-vaccin kan beschermen tegen de ernstige gevolgen van een besmetting met de tbc-bacterie. De beschermende werking tegen onder andere tbc-meningitis en miliaire tbc is alleen goed aangetoond bij kinderen. De BCG-vaccinatie is niet opgenomen in het Nederlandse rijksvaccinatieprogramma.[27] Ze wordt alleen aangeboden aan personen die een verhoogd risico lopen op het krijgen van de ziekte, bijvoorbeeld aan volwassenen en kinderen die vaak of lang naar een land gaan waar tbc veel voorkomt.
Een nadeel van vaccinatie is dat de mantouxtest minder specifiek wordt om tbc aan te tonen. Vroeger werd gedacht dat de mantouxtest niet meer bruikbaar zou zijn na BCG-vaccinatie, dit is echter in de praktijk meestal niet het geval. Vaak wordt de mantouxtest negatief na verloop van tijd of reageert hij nog maar een klein beetje. De mantouxuitslag van kinderen die voor hun eerste verjaardag worden gevaccineerd, mag worden geïnterpreteerd alsof ze niet gevaccineerd zijn. In veel landen wordt bij de interpretatie van de mantouxtest geen rekening gehouden met een eventuele BCG-vaccinatie. In Nederland wordt wel een verschil gemaakt in de beoordeling van de mantouxuitslag. Bij herhaalde mantouxtesten kan boosting optreden bij eerder BCG-gevaccineerden of bij mensen die lang geleden een keer zijn besmet. Dit kan worden verward met een recente infectie met tuberculosebacteriën. Sinds het gebruik van de IGRA is het probleem met het vaststellen van een LTBI bij BCG gevaccineerden verdwenen. In Nederland wordt iedere mantouxtest die een induratie[28] heeft van minstens 5 mm normaal door een IGRA gevolgd. Mantouxreacties door BCG-vaccinatie worden er zo allemaal uitgefilterd.[29]
Profylaxe
Mensen die besmet zijn met tuberculosebacteriën, maar niet aan de ziekte tuberculose lijden, hebben een latente tuberculose infectie LTBI. Onbehandeld zal dit bij gezonde volwassenen bij ongeveer 10% een keer tot actieve tuberculose leiden, waarbij de meeste tuberculosepatiënten binnen enkele jaren na de besmetting zullen worden gevonden. Bij mensen met afweerstoornissen en kleine kinderen jonger dan vijf jaar treedt de ziekte meer op en ook vaker dan bij volwassenen in een ernstige vorm. Ter voorkoming van tuberculose later, wordt onder voorwaarden een preventieve behandeling gestart. Dit houdt in dat de besmette patiënt preventief geneesmiddel gaat gebruiken om te voorkomen dat later de ziekte tuberculose ontstaat. Veel gebruikte behandelschema's zijn zes of negen maanden lang INH, drie maanden INH samen met rifampicine of vier maanden lang alleen rifampicine. Een langere behandelingsduur met INH, tot maximaal 12 maanden, verlaagt de kans op het ontwikkelen van tuberculose nog verder. Nog langer durende preventieve behandelingen lijken niet veel meer toe te voegen. Ook na een geslaagde profylaxe blijft de mantouxtest positief. Vaak wordt door leken, maar ook door artsen, de aanduiding latente tuberculose infectie LTBI verward met de ziekte tuberculose.
Mythologie, opera en literatuur
In de tijd dat de oorzaak van tbc niet bekend was, werd het beschouwd als een lot, dat vooral gevoelige en kunstzinnige mensen kon treffen, die dan vaak op jonge leeftijd kwamen te overlijden. Voorbeelden zijn de schrijvers Anton Tsjechov, John Keats, Franz Kafka, P.A. de Génestet, George Orwell, vier van de vijf gezusters Brontë, Albert Camus (leed aan tbc maar overleed bij een auto-ongeval), Jan de Graan, de heilige Theresia van Lisieux en de componisten Chopin en Pergolesi. Onder andere de opera's La bohème van Giacomo Puccini en La traviata van Giuseppe Verdi gaan over dergelijke tragische gevallen van 'de tering'. George Bernard Shaw heeft er ook een toneelstuk over geschreven: The doctor's dilemma. Thomas Manns roman De Toverberg speelt zich af tegen de achtergrond van een langdurig verblijf in een tbc-sanatorium in Davos. Het boek Klaaglied om Agnes van Marnix Gijsen gaat over Gijsens eerste grote liefde, die net als het personage Agnes aan de gevolgen van tuberculose stierf.
- bronvermelding
- De tekst op deze pagina of een eerdere versie daarvan is afkomstig van de website van Postbus 51.
- voetnoten
- ↑ Tuberkelbacil.
- ↑ Engelstalige Wikipedia. International Union Against Tuberculosis and Lung Disease.
- ↑ Jürgen Osterhammel, De metamorfose van de wereld, 2022, p. 205
- ↑ Emmy Wagenaar Hummelinck, Volksziekte nummer een. De Verhalen van Groningen.
- ↑ H de Goeij. Korte geschiedenis van de organisatie van de tbc-bestrijding in Nederland, 2014
in Tegen de Tuberculose, 110, 2 2014
- ↑ CBS. Bevolking, huishoudens en bevolkingsontwikkeling; vanaf 1899, 24 maart 2020.
- ↑ Schiffman G, Tuberculosis Symptoms. eMedicineHealth (15 January 2009).
- ↑ The Lancet. SD Lawn en AI Zumla. Tuberculosis, 2 juli 2011. 378, 9785, blz 57-72.
- ↑ a b c d GL Mandell, JE Bennett en R Dolin. Principles and practice of infectious diseases, 2010. ISBN 978-0-443-06839-3 en
idem met pdf-downloads ISBN 978-1-4557-4801-3 - ↑ a b c V Kumar, AK Abbas, N Fausto en RN Mitchell RN. Robbins Basic Pathology, 2007. blz 516–522 ISBN 978-1-4160-2973-1
- ↑ MP Golden en HR Vikram. Extrapulmonary tuberculosis: an overview, 2005. in American Family Physician 72, 9, blz 1761–8 NCBI
- ↑ Cijfers tuberculoseregister België | Tuberculose. tuberculose.vrgt.be. Geraadpleegd op 6 november 2024.
- ↑ NOS. India onderzoekt onbehandelbare tbc, 18 januari 2012.
- ↑ a b CDC. Treatment of Tuberculosis, 20 juni 2003.
- ↑ KNCV Tuberculosefonds website over resistentievorming. gearchiveerd
- ↑ a b WHO. The WHO/IUATLD Global Project on Anti-tuberculosis Drug Resistance Surveillance, 2008.
- ↑ waarvan 10-20% in de drie Baltische staten
- ↑ 25% en meer dan 50% bij mensen die al eerder aan de ziekte hebben geleden
- ↑ S Janssen en MP Grobusch. Drug-resistente tuberculose: oude en nieuwe inzichten rond een wereldwijde epidemie, 2013.
in Tijdschrift voor Infectieziekten 2013, 2, blz 45
- ↑ KNCV Tuberculosefonds. Europa dreigt onderspit te delven in de strijd tegen tuberculose, 2007. gearchiveerd
- ↑ NR Gandhi, A Moll, AW Sturm, R Pawinski, T Govender, U Lalloo, K Zeller, J Andrews en G Friedland. Extensively drug-resistant tuberculosis as a cause of death in patients co-infected with tuberculosis and HIV in a rural area of South Africa, november 2006. voor The Lancet 368, 9547, blz 1575-80
- ↑ D Menzies, Madhukar Pai en G Comstock. Meta-analysis: new tests for the diagnosis of latent tuberculosis infection: areas of uncertainty and recommendations for research, 6 maart 2007. voor Annals of Internal Medicine 146, blz 340-354
- ↑ RN van Zyl-Smit, Madhukar Pai, Kwaku Peprah, R Meldau, J Kieck, June Juritz, Motasim Badri, A Zumla, LA Sechi, ED Bateman en K Dheda. Within-Subject Variability and Boosting of T-Cell Interferon-Responses after Tuberculin Skin Testing, 2009. voor American Journal of Respiratory and Critical Care Medicine 180, 1, blz 49-58
- ↑ (en) Smoking and tuberculosis: a dangerous combination. www.who.int. Geraadpleegd op 4 februari 2024.
- ↑ IY Motus, SN Skorniakov, VA Sokolov, EA Egorov, EI Kildyusheva, AV Savel'ev, GE Zaletaeva. Reviving an old idea: can artificial pneumothorax play a role in the modern management of tuberculosis?, mei 2006. voor International Journal of Tuberculosis and Lung Disease 10, 5, 571-7
Deze referentie verwijst naar een studie waar veel commentaar mogelijk is op de studieopzet en daarmee op de uitkomsten ervan. - ↑ RIVM. Bron- en contactonderzoek.
- ↑ RIVM. Rijksvaccinatieprogramma.
- ↑ Wiktionary. induratie.
- ↑ Murdoch Childrens Research Institute. Immune boosting benefits of tuberculosis vaccine seen in infants more than a year after vaccination, 5 augustus 2022.
- websites
- KNCV Tuberculosefonds.
- Rijksinstituut voor Volksgezondheid en Milieu RIVM. Tuberculose, 30 mei 2022. voorlichting van de Nederlandse rijksoverheid
- VRGT. Vlaamse vereniging voor respiratoire gezondheidszorg en tuberculosebestrijding, over tuberculose en over stoppen met roken

