Longembolie
Raadpleeg bij gezondheidsklachten een arts.
| Longembolie | ||||
|---|---|---|---|---|
| Coderingen | ||||
| ICD-11 | ||||
| DiseasesDB | 10956 | |||
| DOID | 9477 | |||
| MedlinePlus | 000132 | |||
| eMedicine | med/1958 | |||
| MeSH | D011655 | |||
| Richtlijnen | ||||
| NHG-standaard | M86/samenvatting | |||
| ||||
Een longembolie is een embolie van een longslagader: een volledige of gedeeltelijke afsluiting door iets dat vanuit elders door de bloedbaan is aangevoerd, en in de bloedvaten van de longen blijft steken. De directe oorzaak is meestal een bloedstolsel. De longen krijgen dan te weinig of helemaal geen bloed toegevoerd, waardoor het lichaam minder goed zuurstof kan opnemen en kooldioxide kan uitscheiden. Het effect daarvan is vergelijkbaar met verstikking, met als verschil dat de ademhalingsbewegingen niet verhinderd zijn.
Een longembolie is een gevaarlijke aandoening: een embolie in de hoofdtak of bij de splitsing van de longslagader: een 'ruiterembolie', is zeldzaam, maar kan binnen enkele minuten dodelijk zijn. Bij een embolie in een van de twee zijtakken of de fijnere vertakkingen krijgt één long of een deel daarvan te weinig bloed. Daardoor wordt de zuurstofvoorziening van het hele lichaam slechter, wat naast benauwdheid en pijn bij de ademhaling allerlei onduidelijke klachten kan geven, die vaak slecht te herkennen zijn.[1]
Symptomen
Heel vaak geeft een longembolie weinig tot geen symptomen, vooral bij kleine embolieën. Daarom is de diagnose lastig te stellen en wordt hij vaak gemist. Is de embolie groter, dan kan men de volgende symptomen verwachten:[2]
- Snel en oppervlakkig ademhalen (92%)
- Benauwdheid (dyspneu) (84%)
- Pijn op de borst (88%), meestal bij het ademhalen (74%)
- Plots ontstane hoestprikkel (53%)
- Verhoogde hartslag (44%)
- Lichte stijging van lichaamstemperatuur (verhoging) (43%)
- Bloedsliertjes in sputum (30%)
Diagnostiek
Het ECG ('hartfilmpje') kan indirecte aanwijzingen geven, vooral bij grote longembolieën: de overbelasting van de rechterhelft van het hart, die via de kleine bloedsomloop de longen van bloed voorziet, is vaak zichtbaar. In de bloedgassen valt vaak een laag gehalte aan CO2 op bij een lage of vrijwel normale zuurstofwaarde; de patiënt gaat namelijk sneller of dieper ademhalen om zijn zuurstofgehalte op peil te houden.
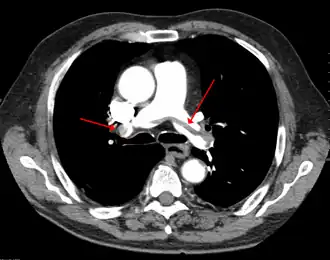
Voor het radiologisch vaststellen maakte men vroeger gebruik van angiografie. Deze methode is echter grotendeels verlaten. Tegenwoordig is de gouden standaard een CT-scan van de borstkas met contrast. Hierbij is de embolie te zien als een contrast-uitsparing: de embolie contrasteert niet met de ribben. Ook een ventilatie-/perfusiescan komt in aanmerking: de ventilatie over het aangedane deel van de long blijft immers normaal, terwijl de perfusie (doorbloeding) afgenomen is).
Ook wordt vaak de D-dimeer-concentratie in het bloed bepaald. Dit is een acutefase-eiwit en daardoor niet erg specifiek, aangezien het bijvoorbeeld ook bij longontstekingen verhoogd is. Dit betekent dat de positief voorspellende waarde laag is. De negatief voorspellende waarde van het D-dimeer is echter wel hoog: bij een negatieve D-dimeerbepaling wordt niet behandeld. Als de CT-scan of de ventilatieperfusiescan negatief zijn, wordt ook niet behandeld.
Behandelingen
Longembolieën worden behandeld door longartsen of internisten. Zij kunnen stollingsremmers geven, zoals cumarinederivaten en laag-moleculaire heparine. Het doel is, dat bestaande stolsels zich niet uitbreiden en dat er geen nieuwe stolsels gevormd worden.
Als uiterste redmiddel kan trombolyse ingezet worden. Daarbij worden bloedstolsels met forse middelen opgelost, maar de bloedstolling van de patiënt wordt daarmee tijdelijk lamgelegd, wat levensgevaarlijke complicaties kan geven. Dit wordt gedaan bij ernstige, therapieresistente hemodynamische instabiliteit, dat wil zeggen een systolische bloeddruk onder 100 mm Hg die niet reageert op vocht via een infuus. Ondanks de risico's is trombolyse een succesvollere behandeling bij acute longembolie dan trombectomie, het operatief verwijderen van een stolsel.
Na de acute behandeling moet de patiënt moet zes maanden anticoagulantia gebruiken; bij herhaalde longembolieën zelfs meestal levenslang. Intussen zullen artsen zoeken naar onderliggende oorzaken.
Bij herhaalde embolieën is het wel mogelijk in de onderste holle ader een vangkorfje te plaatsen dat een losschietend stolsel vanuit een been- of bekkenader vangt voor dit het hart kan bereiken.[3][4] Deze techniek wordt echter slechts zeer zelden toegepast, en dan alleen als er een strikte contra-indicatie is tegen behandeling met cumarinederivaten of laag-moleculaire heparine, of als er onder adequate ontstolling nog steeds embolisatie optreedt. De reden dat deze operatie slechts zelden wordt uitgevoerd is dat het een grote operatie is met een aanzienlijk operatierisico, en het filter bovendien snel dichtslibt en dan weer vervangen of verwijderd moet worden. In elk geval moet het filter elke drie maanden vervangen worden.
Oorzaken
Stolsels
Een longembolie wordt meestal veroorzaakt doordat er elders in het lichaam een bloedstolsel losschiet. Zulke diepveneuze trombosen ontstaan in grote aders in het bovenbeen of in het bekken, en een enkele keer in het hart. De stolsels kunnen losschieten en meegevoerd worden in de bloedbaan, waarna ze vastlopen bij of in de longen, doordat de bloedvaten daar steeds verder vertakken en kleiner worden.
Anders dan vaak wordt gedacht komen de stolsels bij longembolieën vrijwel nooit uit aders beneden knieniveau, terwijl juist zo'n lage trombose duidelijke klachten geeft.
Andere en bijkomende oorzaken
Bij het aanprikken van een bloedvat kan per ongeluk lucht in het vat gespoten worden. Ook als men een grote spatader verwondt, kan daardoor lucht aangezogen worden. Er is dan sprake van een luchtbel die zich gedraagt als een bloedprop. Luchtembolieën ontstaan ook bij decompressieziekte bij duikers. Andere oorzaken van longembolieën zijn vet-embolieën: vetbolletjes of stukjes vetweefsel die bij een breuk in een van de langere botten of bij een operatie kunnen vrijkomen. Een bijzonder soort embolie is de zeldzame vruchtwaterembolie: rond een bevalling kan vruchtwater in de bloedsomloop terecht komen en dan een immuunreactie uitlokken waardoor in het hele lichaam gevaarlijke bloedstolsels kunnen ontstaan.
Risicofactoren
Er zijn verschillende factoren die een verhoogd risico op longembolie geven:
- Ziekten en aandoeningen, waaronder kanker en astma. Patiënten met ernstige astma hebben een bijna negen keer verhoogde kans op een longembolie; de oorzaak hiervan was anno 2012 niet duidelijk.[5]
- Grote operaties, vooral in de buik.
- Zwangerschap.
Grote of herhaalde longembolieën kunnen fataal zijn: met name de zogenaamde 'ruiterembolie', waarbij een groot stolsel vastloopt op de splitsing van de longslagader in de twee takken naar beide longen en daardoor de doorbloeding van beide longen in één keer afsluit, leidt tot een complete en onmiddellijke blokkade van de pompwerking van het hart met plotse dood als gevolg.
- 'Goed getest antidotum NOAC's moet snel beschikbaar komen in geval van acute bloedingen', Medical Facts 27 juni 2013, laatst geraadpleegd op 23 juli 2013.
- ↑ Trombosestichting: longembolie
- ↑ (en) Bell WR et al. The clinical features of submassive and massive pulmonary emboli. Am J Med. 1977 Mar;62(3):355-60.
- ↑ (en) Grande WJ et al. Experience with the recovery filter as a retrievable inferior vena cava filter. J Vasc Interv Radiol. 2005 Sep;16(9):1189-93.
- ↑ (en) Stefanidis D et al., Extended interval for retrieval of vena cava filters is safe and may maximize protection against pulmonary embolism. Am J Surg. 2006 Dec;192(6):789-94.
- ↑ Astma verhoogt kans op longembolie. NU.nl (20 december 2012). Geraadpleegd op 10 mei 2013.