Pleuravocht
Raadpleeg bij gezondheidsklachten een arts.
| pleuravocht | ||||
|---|---|---|---|---|
| ||||
1. Normale long. 2. Gecomprimeerde long. 3. Pleuravocht. 4. Pleura (longvlies)
| ||||
| Classificatie | ||||
| Specialisme | Longgeneeskunde | |||
| Lichaamsdeel | Thorax | |||
| Coderingen | ||||
| ICD-11 | ||||
| DOID | [http://disease-ontology.org/term/xxx xxx xxx] | |||
| MedlinePlus | 000086 | |||
| MeSH | D010996 | |||
| ||||
Pleuravocht is een hoeveelheid vocht die zich ophoopt in de borstholte, de ruimte rondom de longen, de pleurale ruimte genoemd. Deze ophoping van vocht kan ademen bemoeilijken, omdat de long zich minder goed kan ontplooien. Er zijn verschillende vormen van pleuravocht, afhankelijk van de bron van vocht en wat de oorzaak is waardoor het in de thoraxholte is opgehoopt. De verschillende vormen zijn hydrothorax (sereusvocht), hematothorax (bloed), urinothorax (urine), chylothorax (lymfevloeistof) of pyothorax (pus) meestal een empyeem genoemd. Een pneumothorax is de ophoping van lucht in de pleurale ruimte, dit wordt meestal een "klaplong" genoemd.
Een kleine hoeveelheid vocht (10-20 mL) in de pleuraholte is onderdeel van de normale longfysiologie, en draagt bij aan het verminderen van wrijving tussen pariëtale en viscerale pleurale ruimte. Dit vocht wordt continu geproduceerd door de circulatie van de pariëtale pleura en opgenomen door het lymfestelsel in dezelfde pleura.[1]
Types
Er zijn verschillende manieren om pleuravocht in te delen.
Onderverdeling in substantie:
- Sereus vocht (waterig vocht) (hydrothorax)
- Bloed (hematothorax)
- Chylus (chylothorax)
- Pus (pyothorax of empyeem)
- Urine (urinothorax)
Onderverdeling in pathosfysiologie:
- Transsudaat (Een vloeistof die vanuit het vaatstelsel van een organisme lekt naar de buitenwereld of naar een lichaamsholte. Dat mechanisme wordt veroorzaakt door een hydrostatisch of osmotisch drukverschil, bij een intact epitheel.)
- Exsudaat (Een vloeistof die vanuit het vaatstelsel van een organisme lekt naar de buitenwereld of naar een lichaamsholte. Dat gebeurt via een wond of een ontsteking)
Oorzaak
Transsudaat
Een transsudaat (Latijn: trans-sūdāre, doorheen-zweten) is een vloeistof die vanuit het vaatstelsel van een organisme lekt naar de buitenwereld of naar een lichaamsholte. Dat mechanisme wordt veroorzaakt door een hydrostatisch of osmotisch drukverschil, bij een intact epitheel.
De meest voorkomende oorzaak van transsudaat pleuravocht hartfalen en levercirrose. Het nefrotisch syndroom is een minder vaak voorkomende oorzaak van transsudaat pleuravocht. Hierbij verlies het lichaam veel albumine in de urine waardoor er een te kort aan albumine (hypoalbuminemie) ontstaat. Bij een te kort aan albumine vermindert de colloïd-osmotische druk.
Aandoeningen waarbij transudatief pleuravocht kan ontstaan zijn:[2]
- hartfalen
- levercirrose
- nefrotisch syndroom
- peritoneale dialyse
- hypoalbuminemie
- urinothorax
- atelectase
- constrictieve pericarditis (pericarditis constrictiva)
- trapped lung
- vena-cava-superiorsyndroom
- dura-pleurale fistel (Hierbij is er een verbinding tussen het ruggenmerg en de borstholte, waarbij er hersenruggenmergsvocht naar de borstholte lekt)
Transsudaat heeft zelden een maligne oorzaak.[3]
Exsudaat
Een exsudaat (Latijn: ex-sūdāre, uit-zweten) of wondvocht is een vloeistof die vanuit het vaatstelsel van een organisme lekt naar de buitenwereld of naar een lichaamsholte. Een exsudaat ontstaat als de permeabiliteit van het longvlies(pleura) en/of de bloedvaten is veranderd. Ook kan een exsudaat ontstaan bij lokale productie van vocht.
Aandoeningen waarbij exsudatief pleuravocht kan ontstaan zijn:[2]
| Infectie | Ontsteking | Maligniteit |
|---|---|---|
| Longontsteking | Pancreatitis | Carcinoom |
| Tuberculose | Vochtproductie bij asbestose | Lymfoom |
| Nocardiose | Longinfarct | Mesothelioom |
| Actinomycose | Pleuritis na bestraling | Leukemie |
| Schimmelinfectie | Uremie | Chylothorax |
| Parasiet | Sarcoïdose | Iatrogeen |
| Abces ter plaatse van het diafragma, lever of milt | Hematothorax | Drug-induced |
| Mediastinitis (ontsteking van het mediastinum) | Post cardiac injury-syndroom | Longpunctie |
| Hepatitis | ARDS | Sclerotherapie |
| Negatieve intrapleurale druk | Afkomstig uit de buik | Sondevoeding intrapleuraal |
| Atelectase | Pancreatitis | Centralelijnextravasatie in pleura |
| Trapped lung | Syndroom van Meigs | Auto-immuunziekte |
| Cholesteroleffusie | Chyleuze ascites | Systemische lupus erythematodes (SLE) |
| Lymfatische afwijkingen | Restgroep | Reumatoïde artritis |
| Yellow nail syndrome (gelenagelsyndroom) | Na thoracotomie | Gemengde bindweefselziekte (MCTD) |
| Lymfangioleiomyomatose | Klaplong (pneumothorax) | Syndroom van Churg-Strauss |
| Lymfangiëctasieën | Hematothorax | Granulomatose met polyangiitis (ziekte van Wegener) |
| Familiaire mediterrane koorts |
Diagnostiek

Bij de diagnostiek van pleuravocht hoort als eerste een goede anamnese. Belangrijk in de anamnese zijn klachten als hoesten, pijn en kortademigheid. Ook klachten van gewichtsverlies, verminderde eetlust (anorexie) en malaise kunnen belangrijk zijn voor de diagnose.[3] Bij lichamelijk onderzoek wordt verminderd ademgeruis gevonden aan de kant van het pleuravocht. Ook bij percussie kan er demping gevonden worden aan de kant van het pleuravocht. Verder wordt er gekeken naar andere symptomen van de oorzaak van pleuravocht zoals koorts (longontsteking of bij een auto-immuunaandoening), oedeem (bij hartfalen) en ascites (bij leverfalen).
Beeldvorming
Op een longfoto is pleuravocht zichtbaar als een wit gedeelte op de longfoto.[4] Op een normale thorax foto is de ruimte tussen de viscerale pleura en de pariëtale pleura niet zichtbaar. Wanneer er pleuravocht aanwezig is, is deze ruimte wel zichtbaar. De densiteit van pleuravocht is ongeveer gelijk aan die van water, hierdoor is dit witter op een longfoto in vergelijking met de rest van de long (die meer de densiteit van lucht heeft). Door de hogere densiteit zal pleuravocht zich altijd bevinden op het laagste punt van de thoraxholte en is er een bij horizontale vloeistofspiegel (meniscus).[5] Een longfoto in zijligging (op de zijde waar het pleuravocht zich bevindt) is sensitiever voor pleuravocht. Dit wordt een "decubitus opname" genoemd, bij deze opname wordt een hoeveelheid van 50 ml of meer pleuravocht zichtbaar. Een CT-scan van de borstkas is het meest nauwkeurig voor het bepalen van de aanwezigheid van pleuravocht, maar ook de hoeveelheid en kenmerken van het pleuravocht. Ook echografie kan gebruikt worden om pleuravocht aan te tonen.[6]
-
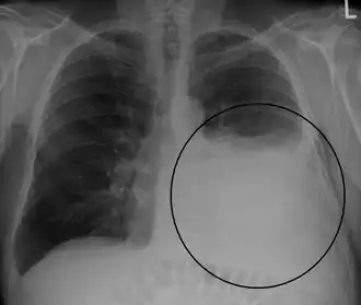
Forse hoeveelheid pleuravocht links bij een patiënt met longkanker. -
CT-scan van de borstholte met linkszijdig pleuravocht. Het pleuravocht bevindt zich meestal in het laagste gedeelte van de thorax, de rugzijde omdat de patiënt in rugligging ligt. -
Echografischbeeld van een long met pleuravocht.
-
Microscopischbeeld van pleuravocht met cellen van een mesothelioom, een van de oorzaken van pleuravocht. -
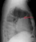
Pleuravocht te zien op een laterale longfoto (een longfoto vanaf de zijkant).
Pleurapunctie

Wanneer pleuravocht is vastgesteld kan verder onderzoek helpen om de oorzaak vast te stellen. De pleuravocht afname voor verder onderzoek, door middel van een punctie, wordt thoracocentesis genoemd. Thoracocentesis wordt aangeraden bij alle vormen van pleuravocht waarbij geen overduidelijke oorzaak is of bij pleuravocht dat blijft bestaan na behandeling van de te verwachten onderliggende oorzaak. Dubbelzijdig pleuravocht bij bekend hartfalen heeft geen aanvullend onderzoek nodig, tenzij pleuravocht aanwezig blijft ondanks adequate behandeling van het hartfalen.[2][7] Bij een pleurapunctie wordt een naald in de thoraxholte gebracht om zo het pleuravocht op te kunnen zuigen. Dit gebeurt vaak met behulp van echografie; hiermee wordt de plaats en de diepte bepaald en daardoor de kans op complicaties verminderd.[8][9]
Na de afname van het pleuravocht kan het pleuravocht onderzocht worden op:
- Geur: een putluchtgeur duidt op anaerobe en gram-negatieve bacteriën. Een ammoniakgeur kan duiden op een urinothorax.
- Aspect (uiterlijk): bloed (hematothorax), voedselresten kunnen duiden op een slokdarmruptuur.
- Chemie: de samenstelling van eiwitten, LDH, albumine, amylase, pH, triglyceriden.
- Gramkleuring en bacteriekweek: voor het vaststellen van bacteriële infecties.
- Witte bloedcellen (leukocyten): de verdeling van het soort witte bloedcellen kan helpen bij de diagnose; zo komen neutrofielen vaker voor bij een infectie, maar ook bij een longembolie of pleuravocht bij asbestose.
- Cytopathologie: hierbij worden de cellen bekeken die zich in het pleuravocht bevinden, bijvoorbeeld maligne cellen.
- Andere onderzoeken zoals vetten (lipiden), schimmels, virussen, tuberculose, etc.[2]
Lightcriteria
Het onderscheid tussen "transsudaat"- en "exsudaat"pleuravocht is de manier waarop het vocht in de thoraxholte komt. Zoals eerder genoemd is dit onderscheid belangrijk bij het achterhalen van de oorzaak van het pleuravocht. De verdeling tussen transudaat- en exsudaatpleuravocht wordt gemaakt op basis van de samenstelling van het pleuravocht in vergelijking met de samenstelling in het bloed. In 1972 publiceerde R.W. Light, de lightcriteria. Wanneer pleuravocht aan een van de criteria voldoet is er hoogst waarschijnlijk sprake van een exsudaat.
- Totaaleiwitratio pleuravocht/serum > 0,5;
- LDH-ratio pleuravocht/serum > 0,6;
- Pleuravocht-LDH > 2/3 bovengrens normale serum-LDH-waarde.
De sensitiviteit en specificiteit van de lightcriteria voor het vaststellen van exsudatief pleuravocht zijn in verschillende studies onderzocht en zijn ongeveer 98% en 80%.[12][13] Dit betekent dat de lightcriteria zijn relatief nauwkeurig, echter bij 20% van het pleuravocht wat voldoet aan de lightcriteria is er sprake van een transsudaat in plaats van een exsudaat. Wanneer er klinische verdenking is op een aandoening met transudatief pleuravocht, echter pleuravocht dat voldoet aan de lightcriteria moet er verder onderzoek gedaan worden. Er kan verder onderzoek gedaan worden met albumine in het serum, wanneer de verhouding van albumine in het pleuravocht groter is dan 1,2 g/dL (12 g/L) suggereert dit transsudatief pleuravocht.[14] Pleuravochttesten zijn niet perfect en het definitieve onderscheid moet niet gemaakt worden op basis van chemische analyse, maar op basis van de onderliggende diagnose waardoor het pleuravocht ontstaat.
Behandeling
De behandeling van het pleuravocht is afhankelijk van de onderliggende oorzaak. Een ontlastende pleurapunctie kan voldoende zijn, bij een grotere hoeveelheid pleuravocht is een pleuradrain noodzakelijk. Wanneer een pleuradrain is ingebracht is een goede doorgankelijkheid van de drain nodig. Indien pleuravocht langer aanwezig blijft kan dit voor verschillende problemen zorgen, zoals een zuurstoftekort (hypoxie), atelectase, "trapped lung" (gevangen long)[15], kortademigheid en verlittekening van de pleura (fibrothorax)[16] Bij herhaaldelijk terugkerend pleuravocht kan er gekozen worden voor een chemische of chirurgische pleurodese ook wel het "plakken" of "talkeren" van de long genoemd. Chemische pleurodese kan met talk, bleomycine of doxycycline dat ingespoten wordt waarna er een milde ontstekingsreactie plaats vindt en uiteindelijk verlittekening. Deze verlittekening zorgt er voor dat de long beter plakt tegen de borstholte aan waardoor er minder pleuravocht kan terugkomen. Hierdoor kunnen de longen beter uitzetten. Bij een chirurgische pleurodese wordt de long opgeruwd waar door dezelfde ontstekingsreactie plaatsvindt en verlittekening. Een pleurodese is in ongeveer 70% succesvol.
Bij het talkeren wordt er talkpoeder in de pleuraholte gebracht. Talk heeft over het algemeen weinig bijwerkingen.[17][18]
Zie ook
Externe links
- Lights criteria calculator
- Het acute boekje, pleuravocht
- NVALT Richtlijn: Niet maligne pleuravocht 2005
- NVALT Richtlijn: Diagnostiek en behandeling van maligne pleuravocht 2003
Referenties
- ↑ D'Agostino, Horacio P. (2022). Physiology, Pleural Fluid. StatPearls Publishing, Treasure Island (FL).
- ↑ a b c d NVALT.nl, Richtlijn niet-maligne pleuravocht. Richtlijn vastgesteld op 14-10-2005
- ↑ a b NVALT.nl, Diagnostiek en behandeling van maligne pleuravocht. Richtlijn vastgesteld op 24-03-2003
- ↑ Corne (2002). Chest X-Ray Made Easy. Churchill Livingstone. ISBN 0-443-07008-3.
- ↑ Squire's fundamentals of radiology. Harvard University Press, Cambridge (2004), 132–3. ISBN 0-674-01279-8.
- ↑ Volpicelli, Giovanni, Elbarbary, Mahmoud, Blaivas, Michael, Lichtenstein, Daniel A., Mathis, Gebhard (1 april 2012). International evidence-based recommendations for point-of-care lung ultrasound. Intensive Care Medicine 38 (4): 577–591. ISSN: 1432-1238. PMID 22392031. DOI: 10.1007/s00134-012-2513-4.
- ↑ Light, Richard W., Pleural Effusion. Merck Manual for Health Care Professionals. Merck Sharp & Dohme Corp.. Geraadpleegd op 21 August 2013.
- ↑ Feller-Kopman, David (1 juli 2007). Therapeutic thoracentesis: the role of ultrasound and pleural manometry. Current Opinion in Pulmonary Medicine 13 (4): 312–318. ISSN: 1070-5287. PMID 17534178. DOI: 10.1097/MCP.0b013e3281214492.
- ↑ Gordon, Craig E., Feller-Kopman, David, Balk, Ethan M., Smetana, Gerald W. (22 februari 2010). Pneumothorax following thoracentesis: a systematic review and meta-analysis. Archives of Internal Medicine 170 (4): 332–339. ISSN: 1538-3679. PMID 20177035. DOI: 10.1001/archinternmed.2009.548.
- ↑ (1972). Pleural effusions: the diagnostic separation of transudates and exudates. Ann Intern Med 77 (4): 507–13. PMID 4642731. DOI: 10.7326/0003-4819-77-4-507.
- ↑ Heffner, J. E., Brown, L. K., & Barbieri, C. A. (1997). Diagnostic value of tests that discriminate between exudative and transudative pleural effusions. primary study investigators. Chest, 111(4), 970-980.
- ↑ (2000). Light's criteria revisited: consistency and comparison with new proposed alternative criteria for separating pleural transudates from exudates.. Respiration; international review of thoracic diseases 67 (1): 18–23. PMID 10705257. DOI: 10.1159/000029457.
- ↑ (18 februari 2006). [Reappraisal of the standard method (Light's criteria) for identifying pleural exudates].. Medicina clinica 126 (6): 211–3. PMID 16510093. DOI: 10.1157/13084870.
- ↑ Roth, B. J., O'Meara, T. F., & Cragun, W. H. (1990). The serum-effusion albumin gradient in the evaluation of pleural effusions. Chest, 98(3), 546-549.
- ↑ [1] Radiopaedia, trapped lung. geraadpleegd op 05-11-2017
- ↑ [2] Radiopaedia, fibrothorax. geraadpleegd op 05-11-2017
- ↑ Bhatnagar, Rahul, Piotrowska, Hania E. G., Laskawiec-Szkonter, Magda, Kahan, Brennan C., Luengo-Fernandez, Ramon (7 januari 2020). Effect of Thoracoscopic Talc Poudrage vs Talc Slurry via Chest Tube on Pleurodesis Failure Rate Among Patients With Malignant Pleural Effusions: A Randomized Clinical Trial. JAMA 323 (1): 60–69. ISSN:1538-3598. PMID: 31804680. PMC: 6990658. DOI:10.1001/jama.2019.19997.
- ↑ (en) Dipper, Alexandra, Jones, Hayley E, Bhatnagar, Rahul, Preston, Nancy J, Maskell, Nick (21 april 2020). Interventions for the management of malignant pleural effusions: a network meta-analysis. Cochrane Database of Systematic Reviews 2020 (4). PMID: 32315458. PMC: PMC7173736. DOI:10.1002/14651858.CD010529.pub3.
- Dit artikel of een eerdere versie ervan is een (gedeeltelijke) vertaling van het artikel Pleural effusion op de Engelstalige Wikipedia, dat onder de licentie Creative Commons Naamsvermelding/Gelijk delen valt. Zie de bewerkingsgeschiedenis aldaar.
