Mesothelioom
Raadpleeg bij gezondheidsklachten een arts.
| longvlieskanker | ||||
|---|---|---|---|---|
| Mesothelioom | ||||
| ||||
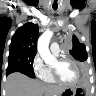
CT-scan van een mesothelioom links in de thorax uitgaande van het longvlies. (rechts op de afbeelding)
| ||||
| Coderingen | ||||
| ICD-11 | ||||
| ICD-O | 9050-9055 | |||
| OMIM | 156240 | |||
| DiseasesDB | 8074 | |||
| DOID | 1790 | |||
| MedlinePlus | 000115 | |||
| eMedicine | med/1457 | |||
| MeSH | D008654 | |||
| ||||
Mesothelioom is een soort kanker, meer specifiek een carcinoom, die ontstaat vanuit de dunne weefsellaag die veel inwendige organen bedekt en bekendstaat als het mesothelium.[1] Het vaakst wordt de bekleding van de longen en borstwand aangetast.[2][3] Minder vaak wordt de bekleding van de onderbuik aangetast. In zeldzame gevallen tast de ziekte het zakje waarin het hart ligt,[4] of het vlies rondom de testikels aan.[5][2]
Mogelijke symptomen van een mesothelioom zijn: ademnood als gevolg van vocht rond de longen, een opgezwollen buik, pijn in de borstwand, hoesten, een vermoeid gevoel en gewichtsverlies.[2] Deze symptomen ontwikkelen zich over het algemeen langzaam.[6]
De ziekte is zeldzaam; longvlieskanker komt veel vaker voor dan buikvlieskanker.
Oorzaken
Meer dan 80% van de gevallen waarin sprake is van een mesothelioom wordt veroorzaakt door blootstelling aan asbest.[1] Hoe vaker personen worden blootgesteld, des te groter het risico is.[1] Sinds 2013 zijn ongeveer 125 miljoen personen op hun werk blootgesteld aan asbest.[2] De ziekte komt veel voor bij personen die asbest afgraven, asbestproducten betrokken, werken met asbestproducten, samenleven met asbestarbeiders of werken in gebouwen waarin asbest aanwezig is. Ook het uitwassen van de kleding van personen die met asbest werken leidt tot een verhoogd risico.[2]
Door het (onbeschermd) werken met asbest is het risico op mesothelioom aanzienlijk hoger en kan het worden beschouwd als een beroepsziekte. In de buurt van scheepswerven, waar vroeger veelvuldig met asbest werd gewerkt, is de incidentie hoog en stijgt nog steeds. Lange dunne asbestvezels die in het lichaam intact blijven, spelen de belangrijkste rol bij het ontstaan van deze ziekte.[3] Ook andere mineralen zoals erioniet kunnen de ziekte veroorzaken, zoals in de omgeving van de Turkse plaats Tuzköy.[4]
Anders dan bij asbestose, kan mesothelioom reeds ontstaan na kortdurende blootstelling aan asbest of regelmatige blootstelling aan relatief lage asbestvezelconcentraties. De kans op het ontstaan van mesothelioom is wel afhankelijk van de concentratie en de duur van de blootstelling aan asbestvezels; naarmate de blootstelling aan asbestvezels groter is, neemt de kans om mesothelioom te krijgen, toe. De ernst van de ziekte is niet afhankelijk van de mate van blootstelling.
De ziekte openbaart zich na 10 tot 60 jaar na het moment van blootstelling (meestal na 30 tot 40 jaar).[5][1]
Andere risicofactoren voor het krijgen van een mesothelioom zijn genetisch van aard en infecties met simian virus 40.[1]
Klachten
Een mesothelioom geeft verschillende klachten waaronder kortademigheid, vermoeidheid, pijn op de borstkas en vermagering. Daarnaast kan de patiënt last krijgen van veel hoesten. Wanneer de tumor op de slokdarm drukt gaat het slikken moeilijk, bij een tumor tussen de ribben ontstaat een zwelling op de borstkas.
Behandeling
Een curatieve (genezende) behandeling bestaat niet. Een operatie of chemotherapie wordt wel gegeven, daar het de klachten kan verminderen. Veelal wordt gekozen voor palliatieve (pijnbestrijdende en levensverlengende) behandeling die bij pleuraal mesothelioom bestaat uit het draineren van overtollig pleuravocht en het geven van chemotherapie.
Na diagnosestelling overlijdt zo’n 80% van de patiënten binnen een jaar en zeer weinig patiënten overleven het tweede jaar na diagnose.
Sinds januari 2006 is het middel pemetrexed (merknaam Alimta) opgenomen in de standaard behandelingen en in de vergoedingenlijst van de zorgverzekeraars. Pemetrexed resulteert in een iets langere overleving. Pemetrexed / Alimta is geen wondermiddel maar als palliatieve chemotherapie een aanwinst.
In 2015 begon het Erasmus MC met een experimentele behandeling. Bewerkte dendritische cellen gaan lichaamseigen T-cellen activeren om de asbestkanker te lijf te gaan.[6]
Mesothelioom in Nederland
In 1965 was reeds duidelijk dat er een sterk verband was tussen asbest en longvlieskanker. In 1993 werd werken met het mineraal verboden. In de jaren 70 werd de meeste asbest verwerkt. De hoogste aantallen nieuwe slachtoffers verwacht men ca 40 jaar na dato, dat is tussen 2012 en 2017. Nederland kent op Groot-Brittannië na verhoudingsgewijs de meeste gevallen van asbestkanker.[7]
De ziekte komt veel vaker voor bij mannen dan bij vrouwen, respectievelijk 85% en 15%. Isolatiewerkers en timmerlieden worden het meest getroffen, ook monteurs en machinebankwerkers lopen meer risico dan gemiddeld. In de periode 1995-1999 werden per jaar gemiddeld 350 gevallen van mesothelioom geregistreerd. In 2011 was dat opgelopen tot ongeveer 500. De meeste patiënten zijn ouder dan 65 jaar. Volgens deskundige Bob Ruers zullen in Nederland de komende decennia nog tienduizend mensen overlijden aan asbestkanker. Zie ook de aansprakelijkheid en tegemoetkoming bij asbestziekten.
Wereldwijd
In 2013 hadden ongeveer 50.000 personen mesothelioom; 34.000 van hen stierven aan de ziekte.[8][9] De cijfers van mesothelioomgevallen verschillen per werelddeel. In Australië en Groot-Brittannië zijn de cijfers relatief hoog, terwijl ze in Japan lager liggen.[1] In de Verenigde Staten is er sprake van ongeveer 3.000 gevallen per jaar.[10] De ziekte komt meer voor bij mannen dan bij vrouwen. Sinds de jaren vijftig is het aantal gevallen toegenomen. De ziekte wordt over het algemeen gediagnosticeerd bij personen ouder dan 65 jaar; de meeste sterfgevallen vinden plaats rond het 70e jaar. Voordat asbest commercieel werd gebruikt, kwam de ziekte maar zelden voor.[1]
Externe link
- Gezondheidsrisico's van asbest · GGD Leefomgeving. Informatie van de Nederlandse GGD-en.
Externe links
Noten
- ↑ a b c d e f Robinson, BM (november 2012). Malignant pleural mesothelioma: an epidemiological perspective.. Annals of cardiothoracic surgery 1 (4): 491-6. PMID 23977542.
- ↑ a b Gulati, M, Redlich, CA (maart 2015). Asbestosis and environmental causes of usual interstitial pneumonia.. Current opinion in pulmonary medicine 21 (2): 193-200. PMID 25621562.
- ↑ Oncologie: Handboek voor verpleegkundigen en andere hulpverleners, blz. 521. Gearchiveerd op 25 september 2024.
- ↑ Umran Dogan, A. (2005). Malignant mesothelioma and erionite. In H. I. Pass, N. J. Vogelzang MD & P. Carbone MD Michele (Eds.), Malignant mesothelioma (pp. 242-258)
- ↑ (en) Ecological association between asbestos-related diseases and historical asbestos consumption: an international analysis, Lancet [0140-6736] Lin yr:2007 vol:369 iss:9564 pg:844 -849, Lin RT et al.
- ↑ Erasmus MC maakt experimenteel middel tegen asbestkanker
- ↑ Asbest in Kaart. Historisch onderzoek Asbestgebruik. Methode Asbestkansenkaart Ministerie van Infrastructuur en Milieu
- ↑ Global Burden of Disease Study 2013, Collaborators (22 augustus 2015). Global, regional, and national incidence, prevalence, and years lived with disability for 301 acute and chronic diseases and injuries in 188 countries, 1990-2013: a systematic analysis for the Global Burden of Disease Study 2013.. Lancet (Londen, Verenigd Koninkrijk) 386 (9995): 743-800. PMID 26063472.
- ↑ GBD 2013 Mortality and Causes of Death, Collaborators (10 januari 2015). Global, regional, and national age-sex specific all-cause and cause-specific mortality for 240 causes of death, 1990-2013: a systematic analysis for the Global Burden of Disease Study 2013.. Lancet (Londen, Verenigd Koninkrijk) 385 (9963): 117-71. PMID 25530442.
- ↑ What are the key statistics about malignant mesothelioma?. American Cancer Society (17-02-2016). Gearchiveerd op 28-12-2016. Geraadpleegd op 3 april 2016.
