Syndroom van Churg-Strauss
Raadpleeg bij gezondheidsklachten een arts.
| Syndroom van Churg-Strauss | ||||
|---|---|---|---|---|
| ||||
| Synoniemen | ||||
| Nederlands | churg-strausssyndroom[1] | |||
| Coderingen | ||||
| ICD-11 | ||||
| DiseasesDB | 2685 | |||
| DOID | 3049 | |||
| eMedicine | med/2926 | |||
| MeSH | D015267 | |||
| ||||
Het syndroom van Churg-Strauss[1] is een vorm van systeemvasculitis. De aandoening is vernoemd naar de onderzoekers Jacob Churg (1910-2005) en Lotte Strauss (1913-1985).
Symptomen
Het syndroom van Churg-Strauss is een auto-immuunziekte die wordt gekenmerkt door een chronische ontsteking van de kleine bloedvaten tot de middelgrote slagaderen. Het syndroom wordt vaak voorafgegaan door een (jarenlange) fase met astma, neuspoliepen of veelvuldige ontstekingen van de bovenste luchtwegen. Opvallend is dat er vaak geen aantoonbare allergie is. Als het syndroom van Churg-Strauss actief wordt, manifesteert zich dat vooral in de longen, huid, darmen, zenuwen en het hart.
Diagnose
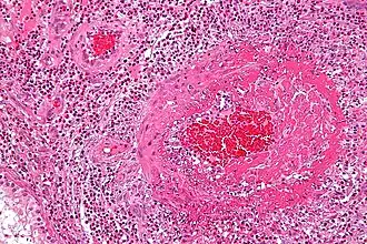
In de eerste fase van de diagnose speelt de herkenning van de symptomen door de behandelende specialist een groot belang. Als er opmerkelijk veel eosinofiele granulocyten (een bepaald type witte bloedcel) in het bloed aanwezig zijn, is dat een belangrijke aanwijzing. Om een definitieve bevestiging van de diagnose te verkrijgen, wordt vaak een biopsie gedaan uit het weefsel van de aangedane organen. Bij de biopsie kijkt men naar de kenmerkende verschijnselen van een vasculitis: De ontsteking van de bloedvatwand (ontstaat in adventitia), ophopingen van ontstekingscellen (granulomen) en het afsterven van weefsel (necrose). De ANCA-bloedtest is bij de helft van de patiënten positief.
Behandeling
Om de activiteit van het syndroom van Churg-Strauss tot staan te brengen, wordt in eerste instantie prednisolon gegeven, een corticosteroïde dat de ontsteking remt. Afhankelijk van de reactie hierop, kan aanvullend cyclofosfamide worden toegediend. Dat vermindert de productie van witte bloedcellen en daarmee ook de ziekteactiviteit. Wanneer de ziekte daarmee tot rust is gebracht, wordt de cyclofosfamide meestal na 3 tot 6 maanden vervangen door azathioprine of door methotrexaat. Deze hebben minder bijwerkingen dan cyclofosfamide, maar zijn minder krachtig.
Perspectief
Het syndroom van Churg-Strauss is een chronische ziekte. Dat betekent dat deze altijd op de achtergrond aanwezig blijft. Door de behandeling met medicijnen is de ziekte tot rust te brengen. Er is echter altijd het risico dat de ziekte in de loop der jaren weer opvlamt. Als de ziekte vroegtijdig onderkend en goed behandeld is, blijft schade aan organen veelal nog beperkt. Bij een late onderkenning kunnen er als gevolg van orgaanschade (vooral het hart en zenuwen) blijvende ernstige beperkingen optreden. Patiënten hebben vaak last van een blijvende vermoeidheid.
Zie ook
Externe link
- Meer informatie: Vasculitis Stichting
- Forum voor Vasculitis patiënten: Vasculitis Forum
- De tekst op deze pagina of een eerdere versie daarvan is afkomstig van de website van de Friedrich Wegener Stichting.
