Pseudomyxoma peritonei
Opgegeven reden: Her en der wat veel jargon en/of onduidelijk vertaald (met name onder Classificatie).
Raadpleeg bij gezondheidsklachten een arts.

Pseudomyxoma peritonei (PMP) is een klinische aandoening die wordt veroorzaakt door kankercellen (slijmachtig adenocarcinoom) die overvloedige mucine (slijm) of gelatineuze ascites produceren.[1] De tumoren veroorzaken fibrose van weefsels en belemmeren de spijsvertering of orgaanfunctie, en als ze niet worden behandeld, vullen de tumoren en mucine die ze produceren de buikholte. Dit resulteert in compressie van organen en vernietigt de functie van de dikke darm, dunne darm, maag of andere organen. Prognose met behandeling is in veel gevallen optimistisch,[2] maar de ziekte is dodelijk door cachexie, darmobstructie of andere soorten complicaties, als deze niet wordt behandeld.
Oncologie
Deze ziekte wordt meestal veroorzaakt door een appendiceale primaire kanker (kanker van de appendix); slijmtumoren van de eierstok zijn ook betrokken, hoewel in de meeste gevallen de voorkeur wordt gegeven aan betrokkenheid van de eierstokken als een metastase uit een appendiceale of andere gastro-intestinale bron. Ziekte wordt meestal geclassificeerd als laag of hoog (met zegelringcellen). Wanneer de ziekte lage histologische kenmerken vertoont, verspreidt de kanker zich zelden door het lymfevatenstelsel of via de bloedbaan.
Tekenen en symptomen
Tekenen en symptomen van PMP kunnen buik- en bekkenpijn en/of een opgeblazen gevoel, uitzetting, spijsverteringsstoornissen, gewichtsveranderingen, toegenomen buikomvang en onvruchtbaarheid zijn.
De ontwikkeling van de ziekte verloopt in zes stadia:
- Lichte tot langzaam in de tijd toenemende pijn in het rechter gedeelte van de onderbuik. Wanneer deze met koorts gepaard gaat betekent dit dat de blindedarm is opengebarsten en de slijmvormende cellen de buikholte ingaan. De verschijnselen lijken op een blindedarmontsteking.
- In dit stadium treden geen specifieke verschijnselen op. Wel vindt er nu vermenigvuldiging en verspreiding van de slijmvormende cellen plaats, waardoor de buikholte met meer slijm wordt gevuld. Dit kan worden waargenomen via een echoscopie of een CT-scan.
- De nu dikker geworden buik heet een slijmbuik.
- Bij toenemende buikomvang kan door de toenemende inwendige druk een liesbreuk of navelbreuk optreden. Ook kunnen breuken ontstaan in littekens van vroegere operaties.
- Kortademigheid en conditieverlies. Het slijm drukt het middenrif omhoog, waardoor de longen minder kunnen uitzetten.
- De buikorganen komen in de verdrukking. Men gaat minder eten, ten gevolge van darmpassage-problemen. Er treedt vermagering op, terwijl de buikomvang nog steeds toeneemt. Wanneer een arts via een echoscopie of CT-scan bij de patiënt veel vocht ziet, kan de diagnose gesteld worden van eierstokkanker bij een vrouwelijke patiënt of uitgezaaide dikkedarmkanker bij een mannelijke patiënt. Veelal zijn deze vormen van kanker ongeneeslijk. PMP is echter goed behandelbaar in dit stadium.
Oorzaak
PMP ontstaat bijna altijd uit een adenoom en soms uit een adenocarcinoom in de blindedarm (appendix), maar kan bij vrouwen ook in zeldzame gevallen in de eierstokken ontstaan.
De primaire tumor lijkt voort te komen uit de mucine-MUC2-slijmbekercellen en meestal uit deze cellen in de appendix. De K-Ras- en p53-genen kunnen bij de oncogenese betrokken zijn. Het kan worden gediagnosticeerd met een aantal voorwaarden. Hoewel het grootste deel van deze gevallen geassocieerd is met appendiceale carcinomen,[3] kunnen ook andere aandoeningen worden aangetroffen, waaronder gedissemineerde peritoneale adenomucinose (DPAM), peritoneale carcinomen, verschillende slijmtumoren (slijmerig adenocarcinoom, slijmerig cystadenoom en slijmerig cystadenocarcinoom, ascocarcinoom zoals andere ziektetoestanden.[4] Andere primaire sites die zijn gemeld, zijn onder meer colon, rectum, maag, galblaas, galwegen, dunne darm, urineblaas, longen, borst, eileiders en de alvleesklier.
Diagnose
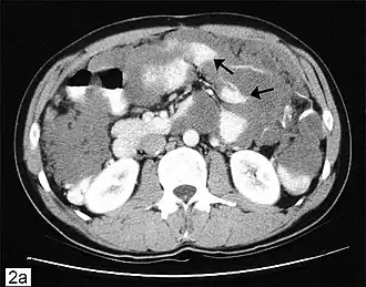
Deze ziekte wordt vaak ontdekt tijdens chirurgie voor andere aandoeningen, bijvoorbeeld hernia-reparatie, waarna een ervaren patholoog de diagnose kan bevestigen. Geavanceerde stadia kunnen zich voordoen als tumoren die voelbaar zijn op de buik of uitzetting van de buik ("gelei-buik" wordt soms gebruikt als een vakterm voor de aandoening). Vanwege de zeldzaamheid van deze ziekte is het belangrijk om een nauwkeurige diagnose te verkrijgen, zodat een passende behandeling kan worden verkregen van een chirurgisch oncoloog die gespecialiseerd is in appendixkanker. Diagnostische tests kunnen CT-scans, onderzoek van weefselmonsters verkregen via laparoscopie en de evaluatie van tumormarkers, zoals CEA en CA-19-9 uit bloedonderzoek, omvatten. In de meeste gevallen is een colonoscopie ongeschikt als diagnostisch hulpmiddel omdat in de meeste gevallen appendixkanker de buikholte binnendringt, maar niet de dikke darm (verspreiding in de dikke darm wordt echter af en toe gemeld). PET-scans kunnen worden gebruikt om hoogwaardig slijmerig adenocarcinoom te evalueren, maar deze test is niet betrouwbaar voor het detecteren van laagwaardige tumoren omdat deze de kleurstof niet opnemen die op scans verschijnt. Nieuwe MRI-procedures worden ontwikkeld voor ziektemonitoring, maar standaard MRI's worden meestal niet gebruikt als diagnostisch hulpmiddel. De diagnose wordt bevestigd door pathologie.
Classificatie
Er is veel discussie over de histopathologische classificatie van PMP.[5] In 1995 hebben Ronnett et al.[6] voorgesteld gevallen van PMP te splitsen in twee diagnostische categorieën: adenoom (verspreide peritoneale adenomucinose, DPAM) of carcinoom (peritoneale slijmvliescarcinomatose, PMCA) met een derde categorie gereserveerd voor gevallen met intermediaire kenmerken. In dit classificatiesysteem werden gevallen van DPAM gekenmerkt door peritoneale laesies[7] bestaande uit overvloedige extracellulaire mucine[8] met weinig eenvoudige tot focaal proliferatieve mucineuze epitheel[9] met weinig [10] of mitotische activiteit (met andere woorden, de meeste cellen zagen er redelijk normaal uit en er waren geen aanwijzingen voor mitose wat zou aangeven dat cellen zich snel delen), met of zonder een bijbehorend aanhangend slijmvlies adenoom. Gevallen van PMCA werden gekenmerkt door peritoneale laesies bestaande uit meer overvloedig slijmepitheel met de architecturale en cytologische kenmerken van carcinoom (onregelmatige cellen, bewijs dat cellen zich snel delen en andere criteria), met of zonder een geassocieerd primair slijmvliesadenocarcinoom. Bradley et al.(2007)[11] betoogde dat het voortdurende gebruik van niet-kwaadaardige termen, dat wil zeggen adenoom, voor die frequente gevallen met laagwaardige kenmerken (zoals DPAM), misleidend is omdat PMP een ziektetoestand is die het gevolg is van de invasie van de buikholte door cellen met ongecontroleerde groei. Bradley stelt dat een adenoom per definitie een tumor is die zich beperkt tot het aanhangende slijmvlies met absoluut geen bewijs van invasie voorbij de muscularis mucosae (spierlaag in de maagwand).
De term slijmvliesadenocarcinoom wordt in verschillende contexten gebruikt, afhankelijk van het referentiemateriaal dat door de patholoog wordt gebruikt voor de classificatie van ziekten. Neoplasmata (gezwellen) gekenmerkt door hoogwaardige kenmerken, invasieve klieren en of zegelringcellen worden in de pathologieliteratuur adenocarcinoom genoemd.[12] Sommige pathologen (bijv. Odze en Goldblum, chirurgische pathologie van het GI-tract, lever, galwegen en pancreas, 2e ed.) gebruiken echter ook de term mucineus adenocarcinoom bij het verwijzen naar laagwaardige, goed gedifferentieerde tumoren zonder hoogwaardige functies. Laagwaardig slijmerig adenocarcinoom wordt gebruikt door het Amerikaanse Paritair Comité voor kanker en de Wereldgezondheidsorganisatie en is bijna of volledig synoniem met de DPAM-aanduiding.[13] Voor een laagwaardig slijmachtig adenocarcinoom kan ziekte worden aangeduid als "goedaardig" omdat tumoren niet diep in weefsel binnendringen en zelden uitzaaien naar parenchym van organen; deze benaming kan misleidend en verwarrend zijn voor de leek omdat PMP geen onschadelijke aandoening is, maar fataal is als geen behandeling plaatsvindt. Hoogwaardig of slecht gedifferentieerd slijmachtig adenocarcinoom heeft een over het algemeen slechtere prognose, hoewel chirurgische behandeling met verwarmde intraperitoneale chemotherapie[14] (HIPEC)[15] veelbelovende resultaten oplevert (zie chirurgische behandeling).
Behandeling
De behandeling is variabel, zowel vanwege de zeldzaamheid als vanwege de vaak langzaam groeiende aard. De behandeling varieert van waakzaam wachten tot debulking[16] en hypertherme intraperitoneale chemotherapie (HIPEC), (ook wel intraperitoneale hyperthermische chemotherapie, IPHC genoemd) met cytoreductieve chirurgie.[17][18]
Chirurgisch
De zorgstandaard voor slijmvliesadenocarcinoom met klinische aandoening PMP[19] omvat cytoreductieve chirurgie (CRS) met HIPEC, door chirurgische oncologen die gespecialiseerd zijn in de behandeling van PMP. Sommige chirurgen passen ook vroege postoperatieve intraperitoniale chemotherapie (EPIC) toe, aanvullend op chirurgische cytoreductie en HIPEC. In situaties waar een operatie niet onmiddellijk vereist is, kunnen patiënten worden gevolgd via CT-scans, laboratoriumtests met tumormarkers en fysieke symptomen om te bepalen wanneer en of een operatie gerechtvaardigd is. Hoewel sommige chirurgische procedures vrij uitgebreid kunnen zijn, kunnen patiënten herstellen van chirurgie, en de meerderheid van deze patiënten kan een productief leven leiden.
Bij debulking[20] probeert de chirurg zoveel mogelijk tumor te verwijderen. CRS ofwel cytoreductieve chirurgie omvat chirurgische verwijdering van het peritoneum en eventuele aangrenzende organen die tumoruitzaaiingen lijken te hebben. Omdat het slijm de neiging heeft zich te verzamelen op de bodem van de buikholte, is het gebruikelijk om de eierstokken, de eileiders, de baarmoeder en delen van de dikke darm te verwijderen. Afhankelijk van de verspreiding van de tumor, kunnen andere organen worden verwijderd, inclusief maar niet beperkt tot de galblaas, milt en delen van de dunne darm en/of maag. Voor organen die niet veilig kunnen worden verwijderd (zoals de lever), verwijdert de chirurg de tumor van het oppervlak.[21]
Chemotherapie
Chemotherapie (meestal het middel Mitomycin C) kan direct in de buikholte worden toegediend na cytoreductieve chirurgie om resterende microscopische kankertumoren en vrij zwevende cellen te doden. De tot 41 graden Celsius verwarmde chemotherapie (HIPEC) wordt als laatste stap in de operatie gedurende een uur of twee door de buikholte geperfuseerd[22], of poorten worden geïnstalleerd om circulatie en/of drainage van de chemicaliën mogelijk te maken gedurende één tot vijf dagen na de operatie, bekend als vroeg postoperatieve intraperitoneale chemotherapie (EPIC). EPIC kan gedurende meerdere maanden na de operatie in meerdere cycli worden gegeven.[23]
Systemische chemotherapie kan worden toegediend als aanvullende of adjuvante behandeling[24]. Vanwege de verhoogde beschikbaarheid van nieuwe chemotherapieën ontwikkeld voor darm- en darmkankerpatiënten, hebben sommige patiënten stabiliteit in tumorgroei ervaren met systemische chemotherapie. Systemische chemotherapie is gereserveerd voor patiënten met gevorderde ziekte, recidiverende ziekte of ziekte die zich heeft verspreid naar de lymfeklieren of verre locaties.
Deze ziekte kan terugkeren na chirurgie en chemotherapie. Periodieke post-operatieve CT-scans en tumormarker-laboratoriumtests worden gebruikt om de ziekte te controleren op tumorhergroei.
Epidemiologie
De totale incidentie in Nederland is 30 mensen per jaar. PMP komt het meeste voor bij patiënten tussen de 0 en 60 jaar en iets vaker voor bij vrouwen dan bij mannen.[25] In Nederland komt de aandoening voor in ongeveer 2 op de 1 miljoen inwoners.[26]
Geschiedenis
Het eerste geval werd beschreven door Carl F. Rokitansky in 1842. Werth bedacht in 1884 de term pseudomyxoma peritonei en beschreef die in samenhang met een slijmvliestumor. In 1901 beschreef Frankel het eerste geval geassocieerd met een cyste van de appendix.
- Dit artikel of een eerdere versie ervan is een (gedeeltelijke) vertaling van het artikel Pseudomyxoma peritonei op de Engelstalige Wikipedia, dat onder de licentie Creative Commons Naamsvermelding/Gelijk delen valt. Zie de bewerkingsgeschiedenis aldaar.
- ↑ (2006). Management of pseudomyxoma peritonei. World J Gastroenterol 12 (38): 6124–7. PMID 17036382. PMC 4088104. DOI: 10.3748/wjg.v12.i38.6124.
- ↑ Chua (2012). Early- and Long-Term Outcome Data of Patients With Pseudomyxoma Peritonei From Appendiceal Origin Treated by a Strategy of Cytoreductive Surgery and Hyperthermic Intraperitoneal Chemotherapy. Journal of Clinical Oncology 30 (20): 2449–2456. DOI: 10.1200/JCO.2011.39.7166.
- ↑ Young R (2004). Pseudomyxoma peritonei and selected other aspects of the spread of appendiceal neoplasms. Semin Diagn Pathol 21 (2): 134–50. PMID 15807473. DOI: 10.1053/j.semdp.2004.12.002.
- ↑ (2005). Pseudomyxoma peritonei: review on a cluster of peritoneal mucinous diseases. Acta Chir Belg 105 (2): 127–33. PMID 15906901. DOI: 10.1080/00015458.2005.11679685.
- ↑ Misdraji, Joseph (2010). Appendiceal mucinous neoplasms: Controversial issues. Arch Pathol Lab Med 134 (6): 864–870 (Pathology Portal). Gearchiveerd van origineel op 20 maart 2013. Geraadpleegd op 3 december 2019.
- ↑ (1995). Disseminated peritoneal adenomucinosis and peritoneal mucinous carcinomatosis. A clinicopathologic analysis of 109 cases with emphasis on distinguishing pathologic features, site of origin, prognosis, and relationship to 'pseudomyxoma peritonei'. Am J Surg Pathol 19 (12): 1390–408. PMID 7503361. DOI: 10.1097/00000478-199512000-00006.
- ↑ Primaire kwaadaardige tumoren die ontstaan in de buik, zoals darm-, maag- en eierstokkanker, kunnen uitzaaien in de buikholte.
- ↑ Slijmvorming buiten de cellen
- ↑ Bloedvatvorming in het slijmepitheel
- ↑ [https://www.mypathologyreport.ca/nl/pathology-dictionary/cytologic-atypia/ Cytologische atypie, Pathologie voor patiënten
- ↑ Bradley, R.F., Cortina, G., Geisinger, K.R. (October 2007). Pseudomyxoma peritonei: Review of the controversy. Current Diagnostic Pathology 13 (5): 410–416. DOI: 10.1016/j.cdip.2007.05.013.
- ↑ e.g., https://web.archive.org/web/20210129000638/https://surgpathcriteria.stanford.edu/gitumors/appendix-adenocarcinoma/
- ↑ Panarelli, Nicole C, Yantiss, Rhonda K (October 2011). Mucinous Neoplasms of the Appendix and Peritoneum. Archives of Pathology & Laboratory Medicine 135 (10): 1261–1268. PMID 21970481. DOI: 10.5858/arpa.2011-0034-RA.
- ↑ Directe toediening van chemotherapie in de buikholte, waar nog eventuele kankercellen aanwezig kunnen zijn
- ↑ afkorting is van Hypertherme Intra PEritoneale Chemotherapie.
- ↑ Zoveel mogelijk verminderen van de bulk (volume) van een tumor zonder de intentie van een volledige uitroeiing.
- ↑ Als er uitzaaiingen in organen zitten, verwijdert de chirurg deze organen of delen hiervan.
- ↑ Sugarbaker P (2006). New standard of care for appendiceal epithelial neoplasms and pseudomyxoma peritonei syndrome?. Lancet Oncol 7 (1): 69–76. PMID 16389186. DOI: 10.1016/S1470-2045(05)70539-8.
- ↑ (2011). A new standard of care for the management of peritoneal surface malignancy. Curr Oncol 18 (2): e84–e96. PMID 21505593. PMC 3070715.
- ↑ Debulking is het verminderen van zoveel mogelijk van de bulk (volume) van een tumor zonder de intentie van een volledige uitroeiing.
- ↑ (2005). Prognostic indicators in peritoneal carcinomatosis from gastrointestinal cancer. Int Semin Surg Oncol 2 (1): 3. PMID 15701175. PMC 549516. DOI: 10.1186/1477-7800-2-3.
- ↑ Perfusie is de toevoer van een vloeistof door het bloedvatenstelsel of lymfevatenstelsel naar een bepaald orgaan of weefsel.
- ↑ (2001). Surgical debulking and intrapertioneal chemotherapy for established peritoneal metastases from colon and appendix cancer. Ann Surg Oncol 8 (10): 787–95. PMID 11776492. DOI: 10.1007/s10434-001-0787-9.
- ↑ Een behandeling met chemo- en/of immunotherapie die gegeven wordt, nadat de tumor is verwijderd.
- ↑ [1] Wat is pseudomyxoma peritonei?, Patiëntenplatform Zeldzame Kankers
- ↑ [2] Wat is Pseudomyxoma peritonei, kanker.nl