Adenocarcinoom
Neem het voorbehoud bij medische informatie in acht.
Raadpleeg bij gezondheidsklachten een arts.
Raadpleeg bij gezondheidsklachten een arts.
| Klierkanker | ||||
|---|---|---|---|---|
| Adeno-carcinoma | ||||
| ||||
Adenocarcinoom van het colon sigmoides
| ||||
| ||||
Adenocarcinoom van de hele karteldarm
| ||||
| ||||
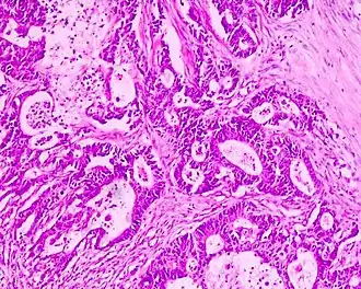
Preparaat van een adenocarcinoom
| ||||
| Synoniemen | ||||
| Latijn | Carcinoma adenomatosum[1][2] Adenocarcinoma[3] | |||
| Coderingen | ||||
| ICD-O | M8140/3 | |||
| DOID | 299 | |||
| MeSH | D000230 | |||
| ||||
Een adenocarcinoom[2] of klierkanker[2] is een carcinoom dat in het epitheelweefsel van klieren ontstaat. Om als adenocarcinoom te worden gekenmerkt hoeven de cellen niet strikt noodzakelijk deel van een klier uit te maken, zolang de cellen maar een excretiefunctie hebben. Een goedaardige gezwel dat uitgaat van klierweefsel, wordt adenoom genoemd.
Adenocarcinomen komen veel voor bij:
- baarmoederkanker
- borstkanker
- darmkanker
- longkanker
- maagkanker
- prostaatkanker
- slokdarmkanker
- alvleesklierkanker, 75-96% betreft ductaalcel adenocarcinoom
Websites
Literatuur
- ↑ Jochems, A.A.F. & Joosten, F.W.M.G. (2003). Coëlho Zakwoordenboek der geneeskunde (27ste druk). Doetinchem: Elsevier Gezondheidszorg.
- ↑ a b c Everdingen, J.J.E. van, Eerenbeemt, A.M.M. van den (2012). Pinkhof Geneeskundig woordenboek (12de druk). Houten: Bohn Stafleu Van Loghum.
- ↑ Leflot-Soetemans, C. & Leflot, G. (1975). Standaard Geneeskundig woordenboek Frans-Nederlands. Antwerpen-Amsterdam: Standaard Uitgeverij.
Zie de categorie Adenocarcinomas van Wikimedia Commons voor mediabestanden over dit onderwerp.
Geplaatst op:
21-05-2023
21-05-2023
Dit artikel is een beginnetje over geneeskunde. U wordt uitgenodigd om op bewerken te klikken om uw kennis aan dit artikel toe te voegen.
.jpg)

