Slijmbekercel

.jpg)
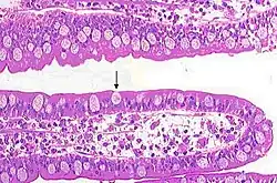
Een slijmbekercel of gobletcel is een bekervormige epitheelcel die slijm produceert. Deze cellen komen in het lichaam onder andere voor in het darmkanaal, bovenste luchtwegen, vagina en baarmoeder. Ze behoren tot de eenlagige cilindrisch epitheel.
Door het geproduceerde slijm wordt de kern van een slijmbekercel weggedrukt tegen de wand van het celmembraan. Het beschermt de urinewegen, bovenste luchtwegen, voortplantingsorganen en spijsvertering tegen ziekteverwekkers en lichaamsvreemde stoffen.
Het is een glycoproteïne-producerende cel. Dit suikergedeelte wordt gedeeltelijk in het ruw endoplasmatisch reticulum, gedeeltelijk in het golgiapparaat gesynthetiseerd.
Slijmbekercellen zijn chromofoob (kleuren bijna niet en zien er lichter uit onder een microscoop).