Adenoom
Neem het voorbehoud bij medische informatie in acht.
Raadpleeg bij gezondheidsklachten een arts.
Raadpleeg bij gezondheidsklachten een arts.
| Adenoom | ||||
|---|---|---|---|---|
| ||||
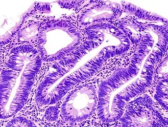
Doorsnede van een adenoom in een dikke darm.
| ||||
| Coderingen | ||||
| ICD-11 | ||||
| ICD-O | M8140/0 | |||
| DOID | 657 | |||
| MeSH | D000236 | |||
| ||||
Een adenoom is een goedaardig gezwel dat ontstaat uit epitheliaal klierweefsel, zoals dat van de dikke darm of endocriene klieren.
Adenomen, die een verhoogde proliferatie kennen, hebben een premaligne karakter: ze kunnen zich in sommige gevallen ontwikkelen tot een adenocarcinoom.
Het kan een gevolg zijn van een teveel aan mineralocorticoïden.
Bronnen
- David Lowell Strayer; Raphael Rubin (2007). Rubin's Pathology: Clinicopathologic Foundations of Medicine 5th Edition. Lippincott Williams & Wilkins, Hagerstwon, MD, pp. 138-139. ISBN 0-7817-9516-8.
Zie de categorie Adenomas van Wikimedia Commons voor mediabestanden over dit onderwerp.
Geplaatst op:
11-06-2007
11-06-2007
Dit artikel is een beginnetje over geneeskunde. U wordt uitgenodigd om op bewerken te klikken om uw kennis aan dit artikel toe te voegen.
.jpg)