Zegelringcel

Een zegelringcel is een cel met een grote vacuole. Het kwaadaardige type wordt voornamelijk gezien bij carcinomen. Zegelringcellen worden het vaakst geassocieerd met maagkanker,,[1] maar kunnen ontstaan uit een willekeurig aantal weefsels, waaronder de prostaat,[2] urineblaas, galblaas,[3] borst, dikke darm,[4] eierstokkanker en testis.[5] Sommige gevallen van maagzegelringcelcarcinoom zijn erfelijk en worden vaak veroorzaakt door mutaties in het CDH1-gen.[6]
Verschijning
De naam van de cel komt door zijn uiterlijk; zegelringcellen lijken op een zegelring. Ze bevatten een grote hoeveelheid mucine, die de celkern naar de celperiferie duwt. De plas mucine in een zegelringcel bootst het uiterlijk na van een gat waar een vinger doorheen kan en de kern bootst het uiterlijk van de voorkant van de ring in profiel na.
Typen
De NCI Thesaurus noemt de volgende typen zegelringcellen:
- Castratiecel, een niet-kwaadaardige cel die onder bepaalde abnormale hormonale omstandigheden in de hypofysevoorkwab ontstaat.
- Neoplastische folliculaire zegelringcel van de schildklier
- Zegelring adenocarcinoomcel
- Zegelring melanoomcel
- Zegelring stromale cel
Diagnostische betekenis
Een aanzienlijk aantal zegelringcellen wordt over het algemeen geassocieerd met een slechtere prognose.[7][8]
Classificatie van carcinomen
SRC-carcinomen kunnen worden geclassificeerd met behulp van immunohistochemie.[9]
Afbeeldingen
-
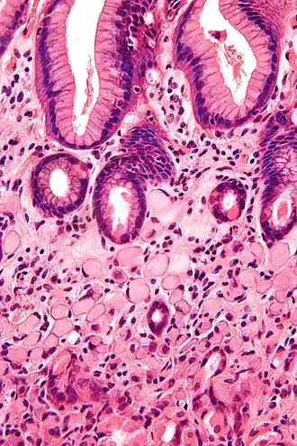
Zegelringcel, zoals te zien bij een colonadenocarcinoom met een vacuole van mucine. -
Maagzegelringcelcarcinoom. Hematoxyline-eosinekleuring. -
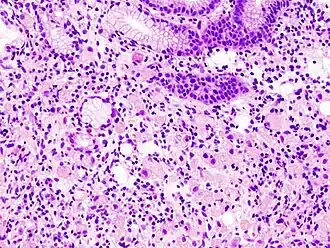
Een zegelringachtige opgeblazen macrofaag, die een kankercel kan nabootsen, maar de textuur van de kern is vergelijkbaar met die van een normale macrofaag. -
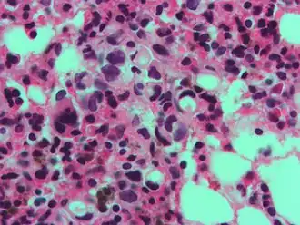
Sterke vergroting toont zegelringcellen met helder cytoplasma in een metastatisch borstcarcinoom. Hematoxyline-eosinekleuring. -
Zegelringcellen (magenta) met PAS-kleuring in een maagzegelringcelcarcinoom.
- ↑ Cancer Research UK. Signet Ring Cancer. cancerhelp.org.uk. URL: http://www.cancerhelp.org.uk/help/default.asp?page=7581 (gearchiveerd). Accessed on: November 2, 2007.
- ↑ Leong FJ, Leong AS, Swift J (1996). Signet-ring carcinoma of the prostate. Pathol. Res. Pract. 192 (12): 1232–8; discussion 1239–41. PMID 9182294. DOI: 10.1016/S0344-0338(96)80156-7.
- ↑ Jain V, Gupta K, Kudva R, Rodrigues GS (2006). A case of ovarian metastasis of gallbladder carcinoma simulating primary ovarian neoplasm: diagnostic pitfalls and review of literature. Int. J. Gynecol. Cancer 16 Suppl 1: 319–21. PMID 16515613. DOI: 10.1111/j.1525-1438.2006.00335.x.
- ↑ Makino T, Tsujinaka T, Mishima H, etal (2006). Primary signet-ring cell carcinoma of the colon and rectum: report of eight cases and review of 154 Japanese cases. Hepatogastroenterology 53 (72): 845–9. PMID 17153438.
- ↑ Michal M, Hes O, Kazakov DV (2005). Primary signet-ring stromal tumor of the testis. Virchows Arch. 447 (1): 107–10. PMID 15909171. DOI: 10.1007/s00428-005-1218-2.
- ↑ Office of Rare Diseases Research: Diffuse Gastric Cancer, blz. 84–85, National Institute of Health, geraadpleegd op 12 de februari 2015 [1][dode link]
- ↑ Lee WS, Chun HK, Lee WY, etal (2007). Treatment outcomes in patients with signet ring cell carcinoma of the colorectum. Am. J. Surg. 194 (3): 294–8. PMID 17693269. DOI: 10.1016/j.amjsurg.2006.12.041.
- ↑ Cabebe EC, Mehta VK, Fisher G. Gastric Cancer. eMedicine.com. URL: http://www.emedicine.com/med/topic845.htm. Accessed on: November 8, 2007.
- ↑ Tian MM, Zhao AL, Li ZW, Li JY (2007). Phenotypic classification of gastric signet ring cell carcinoma and its relationship with clinicopathologic parameters and prognosis. World J. Gastroenterol. 13 (23): 3189–98. PMID 17589897.