Histologie

Histologie of weefselleer is het onderzoek naar de bouw en functies van biologische weefsels.[1] Weefsels zijn samenhangende gehelen van gelijksoortig gedifferentieerde cellen; cellen die dezelfde functie vervullen. Verschillende weefsels vormen samen een orgaan. Over het algemeen heeft term 'histologie' betrekking op de bestudering van dierlijke weefsels. Bij planten spreekt men van anatomie.
Histologisch onderzoek wordt veelal gedaan door een coupe (een zeer dun plakje) van het te onderzoeken weefsel of orgaan te maken, waarna deze coupe, na bewerking (zoals een kleuring), met een lichtmicroscoop of, voor nog meer of andere details, met een elektronenmicroscoop, wordt bekeken. Het voorbereiden van microscopische preparaten, kleuringstechnieken, beeldvorming en analyse van de weefselanatomie zijn een aantal belangrijke aspecten van histologisch onderzoek.
Histologie speelt een belangrijke rol in de pathologie. Het uitnemen en bestuderen van een klein stukje weefsel van een patiënt, kan veel informatie leveren over de eigenschappen van de ziekte die het weefsel treft. Histopathologen kunnen met behulp van histologisch onderzoek een behandelend arts adviseren over diagnostiek, therapie en stagering van een ziekte. Voorts is histologisch onderzoek een pijler in het forensisch onderzoek, functionele biologie en het klinisch onderwijs.
Preparaatvoorbereiding
In principe kan elk levend materiaal met behulp van een microscoop worden bestudeerd. Historisch gezien richt de histologie zich, mede door de nauwe verwevenheid met geneeskunde, voornamelijk op dierlijke weefsels. Het gereedmaken van een stukje weefsel voor microscopisch onderzoek wordt preparaatvoorbereiding genoemd. Omdat dierlijke weefsels te dik zijn om individuele cellen onder de microscoop te zien, is het nodig ze eerst te snijden in zeer dunne plakjes of coupes. Het uitgenomen weefsel wordt daarvoor eerst gefixeerd en in een snijdbaar materiaal ingebed. Coupes hebben van nature te weinig contrast om ze direct te kunnen bestuderen. Ze ondergaan daarom een histologische kleuring. Na kleuring is het preparaat gereed voor bestudering.
-
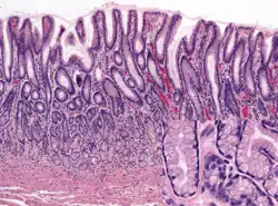
Het maagslijmvlies (antrale mucosa), H&E-gekleurd. Bovenaan de coupe zijn geplooide, secretoire cellen zichtbaar. -
.jpg)
-
Een bijschildklieradenoom, fijne-naaldbiopsie. Tumorcellen paars, tussenliggend bindweefsel blauw.
Fixatie
Een van de eerste stappen tijdens preparaatvoorbereiding is fixatie.[2] Tijdens de fixatie wordt het uitgenomen materiaal ondergedompeld in een vloeibaar fixatief. Fixatieven zijn chemische stoffen die crosslinks tussen structuureiwitten vormen en enzymen denatureren (onwerkzaam maken). Het resultaat is dat alle stofwisselings- en groeiprocessen in het weefsel tot stilstand komen, en de oorspronkelijk cellulaire structuren intact blijven. Fixatie dient bij voorkeur op vers weefsel te gebeuren, omdat door autolyse verval van structuur in een weefsel optreedt nadat het uitgenomen is of van zijn fysiologische ondersteuning is ontdaan.[3]
De keuze van het fixatief is afhankelijk van het object en de microscoop. Voor lichtmicroscopie wordt meestal gebruik gemaakt van een mengsel van formaldehyde en picrinezuur. Fixatieven voor elektronenmicroscopie bevatten meestal het hoogreactive glutaaraldehyde. Deze stoffen creëren covalente crosslinks tussen aminozuren in de eiwitten. Ook zijn er precipiterende fixatieven, zoals ethanol of ijsazijn, die eiwitten denatureren door ze neer te slaan. De fixeerduur varieert sterk, van enkele minuten tot enkele dagen, afhankelijk van de snelheid waarmee het fixatief het weefsel doordringt. Door te fixeren kan het weefsel gaan krimpen of zwellen. Een belangrijk streven is om dergelijke kunstmatige veranderingen (artefacten) zoveel mogelijk te voorkomen. Vaak worden fixatieven daarom ook geleverd met buffers en stoffen die het fixatief isotoon maken.[4]
Naast onderdompeling (immersie) kan een weefsel ook worden gefixeerd door perfusie. Daarbij injecteert men het fixatief in de bloedvaten van het te bestuderen orgaandeel. Omdat bloedvaten zeer fijn door het weefsel vertakken, geeft deze fixeermethode zeer betrouwbare resultaten dankzij de snelle en directe inwerking van het fixatief op de cellen. Perfusie wordt onder meer toegepast bij preparatie van hersen- en nierweefsel.[5]
Inbedding en microtomie
In tegenstelling tot plantaardige weefsels laten dierlijke weefsels zich niet makkelijk snijden. Ze zijn week en vervormen gemakkelijk. Om het weefsel toch in dunne coupes te kunnen snijden, moet het worden geïmpregneerd met een vloeibaar inbedmiddel, dat na verloop van tijd verhardt door afkoeling of polymerisatie. Om het inbedmiddel tot celniveau in het weefsel te krijgen, wordt deze stap meestal voorafgegaan door dehydratie. Dehydratie vindt plaats in een graduele alcoholreeks met steeds sterkere ethanol, veelal van 50 tot 100%. De alcohol kan verwijderd worden door behandeling met xyleen (clearing).
Weefsels voor lichtmicroscopie worden meestal ingebed in vloeibare paraffine, een soort kaarsvet. Door afkoeling stolt de paraffine, waarna het weefsel met een scherp stalen mes kan worden gesneden tot coupes van 1 tot 5 millimeter dik. Het snijden gebeurt in een speciaal apparaat, de microtoom. Bij de algemeen gebruikte rotatiemicrotoom beweegt het weefselblokje per omwenteling rakelings langs het mes, zodat er een lint afgesneden coupes van het blokje wordt afgeregen. De coupes kunnen vervolgens op een objectglaasje worden overgebracht en gekleurd worden.
Voor elektronenmicroscopie wordt een stringenter inbedmiddel gebruikt, zoals epoxyhars. Het gedehydrateerde weefsel wordt overgebracht in een plastic monomeer, waarna een chemische polymerisator het plastic in twee dagen verhardt. Hiervan kunnen ultradunne coupes worden gesneden van 50 tot 100 nanometer, meestal door middel van een glazen of diamanten mes in een ultramicrotoom. De flinterdunne coupes worden opgevangen op een wateroppervlak dat aansluit op de mesrand.[6] De coupes worden vaak gecontrasteerd met goud- of loodionen.
Kleuring
Histologische kleuringen zijn essentieel om de verschillende onderdelen van een stukje weefsel goed zichtbaar te maken onder de lichtmicroscoop. Voor de uitvinding van de fasecontrastmicroscoop was kleuring zelfs onmisbaar voor het krijgen van een normaal contrast.[7] Doordat de kleurstoffen verschillend sterk aan de diverse celcomponenten hechten, komen kleurverschillen tot stand (die belangrijk zijn bij de uiteindelijke interpretatie). De meeste kleurstoffen in de histologie worden vervaardigd met gedestilleerd water (pH = 7), of in zuivere ethanol van 90-96%. Verreweg de meest gebruikte kleurstofoplossingen en kleurstofcombinaties worden door de chemische industrie geproduceerd en verkocht.
-
Eilandjes van Langerhans, gekleurd met hematoxyline en eosine, zeer algemeen in de histologie -
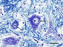
Zenuwcellen uit het ruggenmerg, gekleurd met cresylviolet en luxolblauw -
Vaatbundel van een boterbloem gekleurd met safranine
Een van de meest populaire kleuringen is hematoxyline en eosine (H&E), de routinekleuring in histologische en pathologische laboratoria. De basische kleurstof hematoxyline kleurt zure delen van de cellen donkerblauw (zoals de kernen die immers rijk zijn aan nucleïnezuren). Eosine is een zure kleurstof, die zich juist hecht aan eiwitrijke componenten van het cytoplasma, zoals collageen, spiervezels en rode bloedcellen. Bij deze combinatie worden vrijwel alle structuren aangekleurd en krijgt men een zeer volledig beeld van het weefselmateriaal.[8]
Dierlijke weefsels
Bij mens en dier onderscheidt men in de histologie een vijftal hoofd- of grondweefsels:
- Epitheel of dekweefsel:
- epitheelweefsel in engere zin
- klierweefsel
- Bindweefsel:
- los(mazig) bindweefsel
- vast, dens of straf bindweefsel
- kraakbeenweefsel
- beenweefsel of botweefsel
- Spierweefsel:
- Zenuwweefsel
- Bloed en lymfe
De verschillende organen van het lichaam zijn uit wisselende combinaties van deze vijf weefsels samengesteld.
Voorbeelden van organen zijn:
- Huid
- Hart en bloedvaten
- Lever
- Nier
- Ovarium
- Testis
- Schildklier
- Bijnier
- Alvleesklier
- Long
- Milt
- Lymfklier
Zie ook
Bronnen
- (nl) Mescher, AL; Wisse, E; Vreuls CPH; Hillebrands JL. (2016). Functionele histologie. Bohn Stafleu van Loghum, Houten. ISBN 978-90-368-1089-0.
- (en) Alberts, B; Johnson, A; Lewis, J; Morgan, D; Raff, M; Roberts, K. (2015). Molecular biology of the Cell, 6th. Garland Science, New York, "Chapter 9: Visualizing Cells", pp. 529-562. ISBN 978-0815340720. Gearchiveerd op 12 april 2023.
- (nl) Stevens, A; Lowe, J. (2007). Histologie van de mens. Bohn Stafleu van Loghum, Houten. ISBN 978-90-313-2435-4.
Verwijzingen
- ↑ (nl) Friedbichler, M., Friedbichler, I. & Eerenbeemt, A.M.M. van den (2009). Pinkhof Medisch Engels. Houten: Bohn Stafleu van Loghum.
- ↑ Mescher, pp. 17–19
- ↑ (en) Ganjali H, Ganjali M. (2013). Fixation in tissue processing. Intl J Farm & Alli Sci 2 (18): 686-689. ISSN: 2322-4134.
- ↑ (en) Taqi SA, Sami SA, Sami LB, Zaki SA. (2018). A review of artifacts in histopathology. IJFAS 22 (2): 279. PMID 30158787. DOI: 10.4103/jomfp.JOMFP_125_15.
- ↑ (en) Garham, RH. (2011). Histology of the Central Nervous System. Toxicol Pathol. 39 (1): 22-35. PMID 21119051. DOI: 10.1177/0192623310389621.
- ↑ (en) Hagler HK. (2007), 'Ultramicrotomy for Biological Electron Microscopy in: Electron Microscopy. Methods in Molecular Biology, Humana Press. ISBN 10.1007/978-1-59745-294-6.
- ↑ (en) Alturkistani HA, Tashkandi FM, Mohammedsaleh ZM. (2016). Histological Stains: A Literature Review and Case Study. Glob J Health Sci. 8 (3): 72–79. DOI: 10.5539/gjhs.v8n3p72.
- ↑ (en) Wick MR. (2019). The hematoxylin and eosin stain in anatomic pathology. Seminars in Diagnostic Pathology 36 (5): 303–311. DOI: 10.1053/j.semdp.2019.06.003.
Externe links
- Histology Guide, University of Minnesota
- Microanatomy Web Atlas, University of Arkansas for Medical Sciences