Artefact
Een artefact (ook wel geschreven als artifact) (Latijn: ars = 'kunst'; factum = 'gemaakt') is een kunstmatig verschijnsel. Oorspronkelijk had dit woord de betekenis van iets dat ongewenst is, en optreedt in een experimentele situatie. Tegenwoordig wordt het woord ook wel gebruikt om een willekeurige, soms slechts minimale verandering door toedoen van menselijk handelen aan te duiden, in tegenstelling tot een verschijnsel dat geheel natuurlijk tot stand is gekomen.
Een artefact als ongewenst bijverschijnsel
- In de fotografie kunnen artefacten ontstaan in de camera, bijvoorbeeld door gebruik van een slechte lens of door fouten in de lichtgevoelige chip. Voor meer informatie hierover: zie Artefact (fotografie).
- In de microscopie komen artefacten voor bij het vervaardigen van microscooppreparaten, bijvoorbeeld door het snijden en fixeren van een preparaat.
- In elektronische geluidsoverdracht en - bewerking kunnen artefacten optreden, zoals overspraak. Voor meer informatie hierover: zie Artefact (audio).
- In de methodologie kan een artefact optreden als gevolg van de keuze voor een bepaalde onderzoeksmethode.
-
Een extreem voorbeeld van chromatische aberratie: een artefact veroorzaakt door een slechte lenskwaliteit -
Op deze afbeelding van een weerradar is bovenaan in de gele cirkel een artefact zichtbaar: een reflectie die niet door een bui komt maar door een windturbine. -
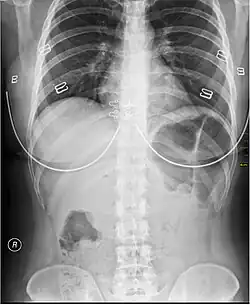
Röntgenfoto waarop meerdere artefacten te zien zijn, toe te schrijven aan een beugelbeha. -
Een klein stukje textiel is op het microscoopglaasje gevallen waaronder bloedcellen zichtbaar zijn.
-
Blokkerig beeld; een artefact veroorzaakt door storing in digitale signaaloverdracht.
Artefacten in de betekenis van 'door mensen gemaakte dingen'
- In de archeologie wordt de term 'artefact' gebruikt om voorwerpen of sporen aan te duiden die door mensen zijn veroorzaakt. Voor meer informatie hierover: zie Artefact (archeologie).
- Incidenteel wordt de term ook wel gebruikt als synoniem voor 'kunstwerk', zowel in artistieke zin als ook in bouwkundige zin. Voor meer informatie hierover: zie Kunstwerk (artistiek) respectievelijk Kunstwerk (bouwkundig).
-
Stukjes vuursteen waarvan door archeologen is vastgesteld dat ze door mensen zijn bewerkt tot pijlpunten -
Kunstmatige bouwwerken in de natuur worden ook vaak artefacten genoemd. -
Een artistiek kunstwerk wordt ook weleens als artefact aangeduid.