Immuunhistochemie

Immuunhistochemie, ook wel immunohistochemie[1] of IHC, is de techniek waarmee men specifieke eiwitten in een weefselcoupe kan aantonen met behulp van (fluorescent) gelabelde antilichamen.[2] De naam is samengesteld uit immunis, wat verwijst naar de gebruikte antilichamen, en histos dat weefsel betekent.
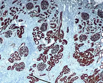
Immuunhistochemie wordt onder meer gebruikt in de pathologie en diagnostiek, onder meer bij het vaststellen van abnormale cellen, zoals die in tumoren. Men zoekt naar moleculaire markers die kenmerkend zijn voor bepaalde cellulaire processen, zoals proliferatie of geprogrammeerde celdood (apoptose). IHC wordt gebruikt om de distributie en lokalisatie van eiwitten in verschillende delen van biologisch weefsel te bestuderen.
Het zichtbaar maken van eiwitten in de context van een weefsel gebeurt op verschillende manieren. Allereest wordt een weefsel gefixeerd en in zeer dunne plakjes (coupes) gesneden. Celbestanddelen die men wilt detecteren worden gekleurd met specifieke antilichamen. Meestal wordt het antilichaam gelabeld met een fluorofoor, zoals fluoresceïne, rhodamine of Alexa Fluor. Met behulp van fluorescentiemicroscopie kan men het weefsel bestuderen (immunofluorescentie).
Types antilichamen
De antilichamen die gebruikt worden voor de specifieke detectie kunnen polyklonaal of monoklonaal zijn. Monoklonale antilichamen zouden de meeste specificiteit hebben. Polyklonale antilichamen worden gemaakt door een dier in te spuiten met een peptide-antigeen, waarna een secundaire immuunrespons wordt gestimuleerd, zodat antilichamen kunnen worden geïsoleerd uit het serum. Polyklonale antilichamen zijn dus een heterogene mix van antilichamen die verschillende epitopen kunnen herkennen.
Antilichamen kunnen ook worden geclassificeerd als primaire of secundaire reagentia. Primaire antilichamen worden gevormd tegen een bepaald antigeen en zijn ongeconjugeerd of ongelabeld, terwijl secundaire antilichamen worden gevormd tegen primaire antilichamen. Op deze manier herkennen secundaire antilichamen de antistoffen van een bepaalde diersoort en zijn geconjugeerd met biotine of een ander enzym zoals alkalisch fosfatase of horseradish peroxidase (HRP). Sommige secundaire antilichamen zijn geconjugeerd aan een fluorescerende stof, zoals de Alexa Fluor of DyLight Fluor familie. Deze worden vaak gebruikt voor de detectie van proteïnes in IHC. Proteïneconcentratie wordt meestal gemeten door densitometrie, hierbij correleert de intensiteit van kleuring met de hoeveelheid gemerkt proteïne.
Voorbereiding van monster
In de procedure, afhankelijk van het doel en de dikte van het monster, worden ofwel dunne (circa 4-40 μm) sneden van het weefsel gemaakt ofwel, als het weefsel niet heel dik is, in het geheel gebruikt. Het snijden wordt meestal gedaan door een microtoom, waarna de snedes worden geplaatst op glaasjes. Bij "Free-floating IHC" worden sneden gebruikt die niet op een glaasje worden geplaatst en geproduceerd met een vibrerende microtoom.
Directe en indirecte IHC
Er zijn twee technieken voor de immunohistochemische detectie van antigenen in weefsel, de directe methode en de indirecte methode. In beide gevallen hebben veel antigenen een extra stap nodig voor het demaskeren, wat bepaalt of er wel of niet gekleurd wordt. In tegenstelling tot immunocytochemie hoeft het weefsel niet permeabel gemaakt te worden, omdat dit al gedaan is door de microtoom tijdens de voorbereiding. Voor het verminderen van de oppervlaktespanning wordt gebruikgemaakt van detergenten, zoals Triton X-100, hierdoor is er minder van de reagentia nodig en wordt het monster beter bedekt.
Direct
De directe methode is een eenstapstechniek waarvoor een gelabeld antilichaam, bijvoorbeeld FITC geconjugeerd antiserum wordt gebruikt, dat direct reageert met het binnengedrongen antigeen in het weefsel. Deze techniek maakt maar gebruik van één antilichaam-incubatie en is daardoor eenvoudig en snel. Deze techniek heeft als nadeel dat er problemen kunnen zijn met de gevoeligheid, door te weinig versterking van het signaal, en wordt dan ook minder gebruikt dan de indirecte methode.
Indirect
De indirecte methode gebruikt een ongelabeld primair antilichaam (eerste laag) dat reageert met het weefselantigeen, en een gelabeld secundair antilichaam (tweede laag), dat reageert met het primaire antilichaam. Het secundaire antilichaam moet gevormd zijn tegen het antilichaam van de diersoort dat het primaire antilichaam heeft gevormd. Deze methode is gevoeliger dan de directe methode door de versterking van het signaal doordat de primaire antilichamen meerder bindingsplaatsen heeft voor het secundaire antilichaam. De tweede laag kan gelabeld zijn met een fluorescerende stof of een enzym. Een veel gebruikte methode koppelt een biotinyleerd secundair antilichaam met streptavidine-horseradish peroxidase. Dit reageert met 3,3'-diaminobenzidine (DAB) dat een bruine kleuring geeft op plaatsen waar de primaire en secundaire antilichamen binden. Deze methode wordt de DAB-kleuring genoemd. Door gebruik te maken van nikkel kan de reactie versterkt worden doordat er een dieppaarse/grijze kleur gevormd wordt.
Het voordeel van de indirecte methode, naast de hogere gevoeligheid, is dat een relatief klein aantal geconjugeerde (gelabelde) secundaire antilichamen volstaat. Bijvoorbeeld, een gelabeld secundair antilichaam gevormd tegen konijnen-antistoffen, die zo gekocht kunnen worden, zijn bruikbaar met elke primair antilichaam dat gevormd is in een konijn. Met de direct methode is het noodzakelijk gebruik te maken van specifiek gelabelde antilichamen tegen elk antigeen.
Diagnostische IHC markers

IHC heeft het grote voordeel dat het mogelijk is om precies aan te geven waar een bepaalde component zit binnen het onderzochte weefsel. Daarnaast is IHC een effectieve methode om weefsels te onderzoeken. In de neurologie wordt hiervan gebruikgemaakt om het voorkomen van bepaalde proteïnes in bepaalde delen van de hersenen. Een groot nadeel is dat, in tegenstelling tot immunoblotting waarbij de kleuring wordt gecontroleerd aan de hand van het moleculair gewicht, dat het onmogelijk is om te bewijzen dat de kleuring overeenkomt met het gezochte proteïne. Daarom moeten primaire antilichamen worden gevalideerd door een procedure zoals Western blot. De techniek wordt nog meer gebruikt in de diagnostische chirurgische pathologie voor het typeren van tumoren (bijvoorbeeld immunokleuring van e-cadherine om te differentiëren tussen het positief-kleurende ductaal carcinoma in situ (DCIS) en het negatief-kleurende lobulaire carcinoma in situ (LCIS)[3]).
- Carcino-embryonaal antigeen (CEA): gebruikt voor de identificatie van adenocarcinomen. Niet specifiek.
- Cytokeratines: gebruikt voor de identificatie van carcinomen, maar komt ook voor in sarcomen.[4]
- CD15 en CD30 : gebruikt voor ziekte van Hodgkin
- Alfa-fetoproteïne: voor dooierzaktumoren en hepatocellulair carcinoom
- CD117 (KIT): voor gastrointestinale stromale tumoren (GIST)
- CD10 (CALLA): voor niercelcarcinoom en acute lymfoblastische leukemie
- Prostaatspecifiek antigeen (PSA): voor prostaatkanker
- oestrogeen en progesteron kleuring voor tumoridentificatie
- Identificatie van B-cel lymfoom gebruikmakend van CD20
- Identificatie van T-cel lymfoom gebruikmakend van CD3
Richting geven aan therapie
Een aantal moleculaire stromingen zijn veranderd bij kanker en sommige van deze veranderingen kunnen doelwit zijn bij kankertherapie. Immunohistochemie kan gebruikt worden om te bepalen welke tumoren gevoelig zouden kunnen zijn voor therapie door het detecteren van de aanwezigheid of een verhoogde hoeveelheid van het moleculaire doel.
Chemische inhibitoren
De biologie van een tumor biedt een aantal potentiële intracellulaire doelwitten. Veel tumoren zijn hormoonafhankelijk. De aanwezigheid van hormoonreceptoren kan gebruikt worden om te bepalen of de tumor mogelijk gevoelig is voor antihormonale therapie. Een van de eerste therapieën was het anti-oestrogeen, tamoxifen, voor de behandeling van borstkanker. Deze hormonale receptoren kunnen opgespoord worden met immunohistochemie.[5] Imatinib, een intracellulair tyrosinekinase-inhibitor, werd ontwikkeld om chronische myelogene leukemie, een ziekte gekenmerkt door de vorming van een specifiek abnormaal tyrosine kinase, te behandelen. Imitanib is bewezen effectief tegen tumoren die andere tyrosinekinases bevat, meer specifiek KIT. De meeste gastrointestinale stromale tumoren vertonen KIT dat gedetecteerd kan worden door immunohistochemie.[6]
Zie ook
Bronnen
- Burnett R, Guichard Y, Barale E (1997). Immunohistochemistry for light microscopy in safety evaluation of therapeutic agents: an overview. Toxicology 119 (1): 83–93. PMID 9129199. DOI: 10.1016/S0300-483X(96)03600-1.
- Joyner, A. (2008). Immunohistochemistry of Whole-Mount Mouse Embryos. Cold Spring Harbor Protocols 2008: pdb.prot4820. DOI: 10.1101/pdb.prot4820.
- ↑ Everdingen, J.J.E. van, Eerenbeemt, A.M.M. van den (2012). Pinkhof Geneeskundig woordenboek (12de druk). Houten: Bohn Stafleu Van Loghum.
- ↑ (en) Ramos-Vara, JA (2005). Technical Aspects of Immunohistochemistry. Vet Pathol 42: 405–426. PMID 16006601. DOI: 10.1354/vp.42-4-405. Gearchiveerd van origineel op 25 mei 2009. Geraadpleegd op 16 juni 2009.
- ↑ O'Malley F and Pinder S, Breast Pathology, 1st. Ed. Elsevier 2006. ISBN 978-0-443-06680-1
- ↑ Leader M, Patel J, Makin C, Henry K (December 1986). An analysis of the sensitivity and specificity of the cytokeratin marker CAM 5.2 for epithelial tumours. Results of a study of 203 sarcomas, 50 carcinomas and 28 malignant melanomas. Histopathology 10 (12): 1315–24. PMID 2434403. DOI: 10.1111/j.1365-2559.1986.tb02574.x.
- ↑ Jørgensen, Jan Trøst, Kirsten Vang Nielsen, Bent Ejlertsen (April 2007). Pharmacodiagnostics and targeted therapies - a rational approach for individualizing medical anticancer therapy in breast cancer. The Oncologist 12 (4): 397–405 (AlphaMed Press: United States). ISSN: 1083-7159. PMID 17470682. DOI: 10.1634/theoncologist.12-4-397. Geraadpleegd op 14 maart 2008.
- ↑ Gold JS, Dematteo RP (August 2006). Combined surgical and molecular therapy: the gastrointestinal stromal tumor model. Ann. Surg. 244 (2): 176–84. PMID 16858179. PMC 1602162. DOI: 10.1097/01.sla.0000218080.94145.cf.