Zuurvaste staaf

Zuurvaste staven zijn staafvormige bacteriën die bij een ontkleuringsbehandeling met zuur de kleuring behouden.
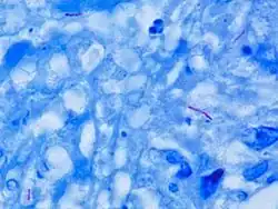
Het verschijnsel is bekend in het kader van de Ziehl-Neelsen-kleuring die vaak bij de diagnostiek van tuberculose wordt gebruikt. Tijdens deze kleuringsmethode worden bacteriën in een met carbol-fuchsine gekleurd preparaat ontkleurd met zoutzure alcohol. Staafvormige bacteriën die ondanks deze behandeling de kleurstof vasthouden in de celwand, heten daarom zuurvaste staven.
Een voorbeeld is Mycobacterium tuberculosis.
In Engelstalige literatuur is de afkorting AFB bekend: Acid-Fast Bacilli.