Longhilum
| Longhilum | ||||
|---|---|---|---|---|
| Hilum pulmonis | ||||
| ||||
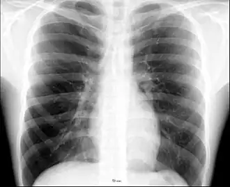
Thoraxfoto, het witte web rondom het hart bestaat uit de vaten uit de longhila
| ||||
| Synoniemen | ||||
| Latijn | porta pulmonis[1] | |||
| Nederlands | longpoort[2] | |||
| ||||
Het longhilum[2] (mv. hila) of hilum pulmonis[3] is de "opening" (hilum) in het longvlies, waar de bronchus en de slagaders en aders door het longvlies heen gaan. Een mens heeft twee longen, dus ook twee longhila. Een hilum bevat de longslagaders, de bovenste en onderste longader en een aftakking van de luchtwegen (met bloedvaten eromheen). In de hilumstreek (het mediastinum) liggen ook diverse lymfeklieren.
Thoraxfoto
Op een thoraxfoto zijn de longhila altijd goed zichtbaar omdat de bloedvaten er zich sterk aftekenen tegen het omliggende longweefsel. Opgezwollen lymfeklieren rond de longhila (zoals bij sarcoïdose) zijn dan ook altijd goed te zien op thoraxfoto's.
Literatuurverwijzingen
- ↑ Triepel, H. (1910). Die anatomischen Namen. Ihre Ableitung und Aussprache. Mit einem Anhang: Biographische Notizen.(Dritte Auflage). Wiesbaden: Verlag J.F. Bergmann.
- ↑ a b Everdingen, J.J.E. van, Eerenbeemt, A.M.M. van den (2012). Pinkhof Geneeskundig woordenboek (12de druk). Houten: Bohn Stafleu Van Loghum.
- ↑ Federative Committee on Anatomical Terminology (1998). Terminologia Anatomica. Stuttgart: Thieme
