Differentiële telling van bloedcellen

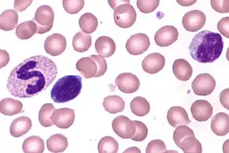
Neutrofiel (links) en lymfocyt (rechts) in een bloeduitstrijk onder de microscoop

De differentiële telling van bloedcellen is een medische laboratoriumtest die informatie geeft over de hoeveelheid en welk type witte bloedcellen aanwezig zijn in iemands bloed. Tijdens de meting wordt gekeken hoeveel er van de vijf normale witte bloedceltypen – neutrofielen, lymfocyten, monocyten, eosinofielen en basofielen – in een bepaald volume bloed zitten, maar ook of er abnormale celtypen in het bloed voorkomen. De resultaten van de telling worden uitgezet als percentages en absolute waarden, en vergeleken met referentiewaarden om te bepalen of de waarden normaal, laag of hoog zijn. Veranderingen in de hoeveelheden witte bloedcellen zijn van belang bij de diagnose van diverse gezondheidsproblemen, zoals virale of bacteriële infecties en bloedziekten zoals leukemie.

Een differentiële telling wordt meestal op geautomatiseerde wijze uitgevoerd met behulp van een hematologische analyzer of flow-cytometer. De telling kan echter ook handmatig plaatsvinden door bloeduitstrijkjes onder een microscoop te bestuderen. Handmatige analyse is aangewezen als de geautomatiseerde telling afwijkende resultaten geeft, of op verzoek van de behandelend arts.

Het tellen van witte bloedcellen wordt meestal uitgevoerd bij de aanvraag van een zogenaamd volledig bloedbeeld. Dit is een routinematige, brede test om verschillende onderdelen van het bloed te onderzoeken. Meestal wordt dit aangevraagd om een beeld te krijgen van de algemene gezondheid of om specifiek te screenen op de aanwezigheid van hematologische afwijkingen, zoals bloedarmoede, een infectie, bloedstollingsproblemen of bepaalde vormen van kanker.

Achtergrond

Normaalwaarden voor witte bloedcellen[1]
Celtype Volwassen
referentiebereik
(× 109/L)
Volwassen
referentiebereik
(percentage)
Neutrofielen 1.7–7.5 50–70
Lymfocyten 1.0–3.2 18–42
Monocyten 0.1–1.3 2–11
Eosinofielen 0.0–0.3 1–3
Basofielen 0.0–0.2 0–2

Telling van bloedcellen vond van oudsher plaats door een druppel bloed uit te strijken op een glaasje en dit dunne filmpje bloed na eventuele kleuring te bekijken onder de microscoop. Omdat deze methode nogal arbeidsintensief is en variatie in de beoordeling met zich meebrengt, zijn apparaten ontwikkeld die cellen kunnen classificeren en tellen op basis van hun grootte en structuur. Aangezien deze apparaten heel veel cellen in een korte tijd kunnen analyseren, is de variatie veel kleiner dan bij een microscopische beoordeling.

De eerste elektronische bloedcelteller werd in 1953 gepatenteerd door de Amerikaan Coulter. Dit apparaat, dat later bekend kwam te staan als de Coulter-counter, kon bloedcellen tellen op basis van impedantie. In het kort komt het erop neer dat de weerstand die over een elektrolytoplossing staat verandert wanneer er zich cellen in deze oplossing bevinden. Bloedcellen kunnen de stroom die over deze oplossing staat minder goed geleiden dan de elektrolytoplossing.

In de decennia die volgden werden Coulter-counters (correcter: hematologische analyzers) steeds verder verfijd en doorontwikkeld. Cellen kon preciezer worden gemeten door ze te bestralen met licht en de verstrooiing van het licht te meten.[1] De verstrooiing is afhankelijk van de grootte en inhoud van de cel. Ook kunnen er kleurstoffen aan de oplossing met cellen worden toegevoegd waardoor specifiek bepaalde cellen worden aangekleurd. Sommige apparaten maken gebruik van zowel de impedantie als de kleuringsmethode om zo meer verschillende cellen te kunnen onderscheiden. Verder kan er een stof worden toegevoegd die een bepaald deel van de cellen een beetje laat krimpen. Zo hanteert elke fabrikant een eigen techniek om een groot aantal cellen van elkaar te onderscheiden.

Het maken van een bloeduitstrijk

Een bloeduitstrijk wordt gemaakt uit 1 druppel bloed. Deze druppel kan direct afkomstig zijn van een vingerprik, de eerste druppel moet dan worden weggeveegd, of van een venapunctie. De druppel wordt op een objectglas gebracht en met een tweede objectglas uitgestreken. Na kleuren met een May-Grünwald-Giemsa-kleuring kan de uitstrijk onder de microscoop bekeken en beoordeeld worden.

Principe van de kleuring

De May-Grünwald-Giemsa-kleuring bevat een basische (azure-B of methyleenblauw) en een zure (eosine) component. Het principe van de MGG-kleuring is gebaseerd op de binding van basische of zure kleurstof aan onderdelen in de cel (kern of cytoplasma). De basische component bindt aan de zure negatief geladen fosfaatgroepen in het RNA en DNA of aan de negatief geladen korrels zoals heparine in het cytoplasma van granulocyten. Deze kleuren blauw tot paars. De zure component (eosine) bindt aan de basische, positief geladen groepen in hemoglobine of positief geladen eiwitten die zich in de korrels van de granulocyten bevinden en kleuren roze.

Soorten bloedcellen

Er bestaan verschillende soorten bloedcellen waarvan de gedifferentieerde vormen zich in de circulatie en de onrijpe vormen zich in het beenmerg bevinden.

Een leukocytendifferentiatie of diffje; is een eenvoudig bloedonderzoek dat informatie geeft over welke witte bloedcellen actief zijn. Samen met de leukocytentelling in het algemeen geeft het onderzoek globale informatie over of en hoelang de patiënt ziek is, en wat voor soort ziekte hij zou kunnen hebben.

Methode

In grote laboratoria levert een computer tegenwoordig de cijfers van de diff, maar het is nog niet lang geleden dat er met de hand gedift werd. Er werd een dun laagje bloed uitgestreken op een glaasje, dit werd gekleurd met hematoxyline en eosine en vervolgens werden er onder de microscoop 100 leukocyten bekeken, waarbij men met een soort telraam bij hield hoeveel er van elke soort aanwezig waren.

zie ook Leukocyt

neutrofiele granulocyt De meest voorkomende witte bloedcel; bij gezonde mensen ongeveer 70% van het totaal; 4000 tot 7000 per mm3 Bij acute infecties daalt het aantal eerst en stijgt dan fors. De lobben van de kern geven aan hoe oud de cel is. Cellen met één lob worden staven genoemd en zijn een argument voor een infectie. Zijn er weinig cellen met meer dan 2 lobben, dan noemen we dat linksverschuiving. Toename of afname in aantal is een argument om te denken aan een acute bacteriële infectie, evenals toename van jonge vormen.

eosinofiele granulocyt Hiervan worden er bij een gezonde patiënt maar een paar gevonden. Ze spelen een rol bij de afweer van parasieten (wormen en dergelijke) en bij allergie. Ook basofielen (0-2) spelen een rol bij allergie.

Maken zo'n 30% van alle witte bloedcellen uit. De verschillende vormen zijn met een gewone diff niet van elkaar te onderscheiden. Gewoonlijk actief bij virusinfecties. Bij sommige virusziekten, zoals mononucleosis infectiosa, de ziekte van Pfeiffer, komen bijzondere lymfocyten in de diff voor, de atypische lymfocyten.

monocyt Monocyten buiten de bloedbaan heten monocyten macrofaag. Monocyten vormen 2-5% van de leukocyten.

Bij een leukocytendifferentiatie wordt meestal ook het rode bloedbeeld beoordeeld. Jongere rode bloed cellen (Reticulocyten) schieten omhoog wanneer iemand de juiste behandeling, bijvoorbeeld ijzer of vitamine krijgt. Zijn de rode cellen onregelmatig van grote dan steunt dat het vermoeden op infectie.

Bij ziekten als leukemie kunnen voorstadia van bloedcellen, de zogenaamde blasten, in het bloed verschijnen. Er ontstaan dan zeer afwijkende diffjes.

Granulocyten worden ingedeeld op basis van de kleur van hun korrels in het cytoplasma in neutrofiel, basofiel (blauwe korrels) en eosinofiel (roze korrels). Lymfocyten kunnen slechts ten dele worden ingedeeld op morfologie (plasma cel, LGL-T-cel (LGL=Large Granular Lymphocytic=Groot Korrelig Lymfocytisch). De belangrijkste indeling is op basis van de antigenen op hun oppervlak die alleen onderscheiden kunnen worden met behulp van immunofenotypering of flowcytometrie. Trombocyten ontstaan uit megakaryocyten, dit zijn reuze cellen die alleen in het beenmerg voorkomen. Aanwezigheid van overige onrijpe vormen in het perifeer bloed (bijvoorbeeld blasten) kan veroorzaakt worden door een maligniteit en het is dus van belang om deze op te merken.

Beoordeling van de diff

In een diff moeten op een aantal punten gelet worden omdat dit richting gevend kan zijn voor de achterliggende aandoening.

  • kleur van de cellen (bijvoorbeeld kleur rode bloedcellen afwijkend bij Fe-gebrek)
  • aantal cellen (verhoogd / verlaagd)
  • grootte van de cellen (afwijkend bij Fe-gebrek/ vitamine B12 gebrek)
  • vorm van de cellen (afwijkend bij sikkelcel, sferocytose, myelofibrose)
  • vorm van de kern (hypersegmentatie segmenten bij vitamine B12 gebrek of hyposegmentatie bij myelodysplastisch syndroom (MDS)
  • aanwezigheid van insluitsels (lichaampje van Döhle (rond of ovaal blauw-grijs lichaampje), Howell-Jolly-lichaampjes (celkern stukjes))
  • aanwezigheid van parasieten (bijvoorbeeld malariaparasieten in erytrocyten)
  • rijpheid van de cellen (bijvoorbeeld linksverschuiving, onrijpe cellen in circulerend bloed bij maligniteit)
  • rijpheid van de kern in vergelijking met cytoplasma (met name in beenmerg bij vitamine B12 gebrek)
  • dysplasie (met name in beenmerg bijvoorbeeld bij myelodysplastisch syndroom).

In het diffboekje uitgegeven door de Vereniging Hematologisch Laboratoriumonderzoek (VHL) staat beschreven hoe in Nederland de diff beoordeeld moet worden door de analist in het klinisch chemisch laboratorium.

Overige bloeduitstrijkjes

  • Beenmerg-aspiraat (opgezogen beenmerg). Ook een aspiraat verkregen bij een beenmergpunctie kan op eenzelfde manier worden uitgestreken, gefixeerd en gekleurd.
  • Dikkedruppelpreparaat. Hierbij wordt de druppel niet uitgestreken maar met een puntje van het dekglas over een minder groot oppervlak verdeeld. De concentratie van de cellen wordt hierdoor verhoogd. Dit wordt met name toegepast bij onderzoek naar malaria.

Zie ook