IJzergebreksanemie
Raadpleeg bij gezondheidsklachten een arts.
| IJzergebreksanemie | ||||
|---|---|---|---|---|
| Ferriprieve anemie | ||||
| ||||
IJzer in hemoglobine
| ||||
| Synoniemen | ||||
| Latijn | anaemia oligosideraemica | |||
| Nederlands | hypochrome microcytaire anemie | |||
| Coderingen | ||||
| ICD-11 | ||||
| DiseasesDB | 6947 | |||
| DOID | 11758 | |||
| MedlinePlus | 000584 | |||
| eMedicine | med/1188 | |||
| MeSH | D018798 | |||
| ||||
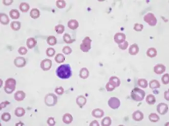
IJzergebreksanemie of ferriprieve anemie is bloedarmoede door ijzertekort in het lichaam. Het is bij de mens de meest voorkomende oorzaak van bloedarmoede, ijzer is een onontbeerlijke bouwsteen van hemoglobine en bij een tekort kan dit niet voldoende aangemaakt worden. Bij een ijzertekort zal de in het bloed te meten hoeveelheid ferritine laag zijn. Bloedarmoede door een tekort aan ijzer wordt gekenmerkt door kleinere (microplanie/microcytose) en bleker dan normaal rode bloedcellen (hypochromasie), die wisselend van grootte zijn (anisocytose).

Menstruatie
Door bloedverlies bij menstruatie gaat ijzer verloren. IJzergebreksanemie komt dan ook vaker dan gemiddeld voor bij vrouwen in de vruchtbare leeftijd. Dit is te beïnvloeden door meer ijzerhoudend voedsel te nuttigen zoals vlees (met name lever), eigeel, vis (met name zalm), donkergroene bladgroenten, peulvruchten, noten, volkorenbrood, tomaten en wortels. Door extra vitamine C te gebruiken wordt opname van ijzer in het bloed bevorderd. Bij langdurige sterke menstruatie zal ijzer in tabletvorm (staalpillen) worden geadviseerd.
Andere oorzaken
Als de oorzaak van een ijzergebreksanemie niet op voorhand duidelijk is dient nader onderzoek gedaan te worden om bijvoorbeeld een darmtumor waarbij de patiënt dagelijks ongemerkt een paar ml bloed verliest uit te sluiten. Een andere, nog meer voorkomende, diagnose bij een onbegrepen anemie is malabsorptie door coeliakie. Bij mensen afkomstig uit het Middellandse Zeegebied en Afrika komen hemoglobinopathieën veel meer voor dan bij mensen uit bijvoorbeeld West-Europa. Dit is waarschijnlijk een gevolg van selectiedruk door malaria: die verloopt vaak minder ernstig bij een hemoglobinopathie.
Andere oorzaken voor het ontstaan van ijzergebreksanemie zijn bloedingen uit het maag-darmkanaal (maagbloeding, worminfecties in de darm), bloedverlies uit de vagina door een vleesboom, gebruik van bepaalde geneesmiddelen (protonpompremmers, NSAID's, stollingsremmers) en zeldzame stofwisselingsziekten (bijvoorbeeld hemosiderose en hypotransferrinemie).[1]
Zie ook
- Hemochromatose, dat tot ijzeropstapeling leidt.
Externe link
- ↑ IJzergebreksanemie op de website simpto.nl. Gearchiveerd op 26 maart 2023.
