Witte bloedcel


Witte bloedcellen of leukocyten, (Oudgrieks: λευκός, leukos = wit[1]) zijn bloedcellen met een celkern. Ze maken slechts een heel klein deel uit van de cellen in het bloed; op iedere witte bloedcel zijn er vele honderden rode bloedcellen, bloedcellen zonder celkern. Witte bloedcellen zijn, mede door hun celkern, een stuk groter dan rode bloedcellen. Ze vormen een belangrijk onderdeel van het immuunsysteem dat het lichaam tegen ziektes beschermt. Witte bloedcellen spelen ook een rol bij sommige allergische reacties, zoals een type I-allergie. Ze hebben gemiddeld een langere levensduur dan rode bloedcellen.
Soorten
Witte bloedcellen zijn onder te verdelen in twee hoofdgroepen: een groep mét, en een groep zonder granulen in het cytoplasma van de cel:
- granulocyten: witte bloedcellen met granulen, die verder worden onderverdeeld in basofiele granulocyten, neutrofiele granulocyten en eosinofiele granulocyten.
- agranulocyten: witte bloedcellen zonder granulen, die verder worden onderverdeeld in lymfocyten, monocyten en macrofagen.
De verschillende soorten witte bloedcellen hebben elk een specifieke functie, zoals celvraat (fagocytose), het lozen van pakketjes met actieve stoffen (degranulatie) of het presenteren van antigenen aan andere cellen, die op hun beurt cellen aanzetten tot het produceren van antilichamen.
| Soort | Afbeelding | Diagram | Percentage | Diameter (μm) | Beschrijving |
|---|---|---|---|---|---|
| Neutrofielen | ![]() |
50-70% | 12-15 | Neutrofiele granulocyten zijn verantwoordelijk voor de eerste afweer tegen bacteriële infectie en andere ontstekingsreacties. Zowel de activiteit van neutrofiele granulocyten als hun afsterven veroorzaken pusvorming. | |
| Eosinofielen | ![]() |
2-5% | 13-17 | Eosinofiele granulocyten bestrijden parasitaire infecties. Een toename van het aantal eosinofielen in het bloed is dan ook een indicatie van een infectie met een parasiet of van een IgE gemedieerde immuunreactie. | |
| Basofielen | ![]() |
<1% | 10-15 | Basofiele granulocyten zijn de hoofdverantwoordelijken voor antigeen- en allergische respons, doordat ze histaminen vrijmaken die ontsteking veroorzaken. | |
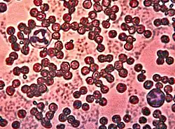
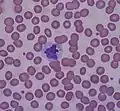
| Lymfocyten | ![]() |
20-40% | 6-15 | Lymfocyten zijn onder andere de T-lymfocyten (waaronder T-helpercellen en de cytotoxische T-cellen), de B-lymfocyten, de naturalkillercellen en de plasmacellen (die in feite geactiveerde B-lymfocyten zijn). Ze spelen een rol bij de specifieke immuunrespons. | |
| Monocyten | 3-6% | 12-20 | Monocyten hebben een vergelijkbare stofzuigerfunctie (fagocytose) als neutrofielen, maar ze leven veel langer, waardoor ze een geheugenfunctie kunnen vervullen: ze presenteren pathogenen aan de T-cellen, zodat deze opnieuw herkend en vernietigd kunnen worden. Ook in de reactie op antilichamen spelen monocyten een rol. | ||
| Macrofagen | ![]() |
|
Monocyten worden ook wel macrofagen genoemd als ze zich vanuit het bloed naar andere weefsels hebben verplaatst. | ||
| Dendritische cel |
|
De dendritische cellen zijn afgeleid van de monocyten. Ze functioneren vooral als antigeen-presenterende cellen. |
Deficiëntie
Een tekort aan witte bloedcellen kan mild, matig of ernstig zijn. Het kan acuut (binnen enkele uren tot dagen) of chronisch (binnen maanden tot jaren) ontstaan. Een tekort wordt vaak geassocieerd met infecties, maar kan ook voorkomen bij het tekortschieten van het afweersysteem. Een stijging daarentegen van de concentratie witte bloedcellen in het bloed komt heel vaak voor. De meeste mensen maken dit een aantal keer per jaar door. Witte bloedcellen spelen een belangrijke rol in het afweersysteem. Als het lichaam zich moet verdedigen tegen virussen, bacteriën of parasieten, worden er witte bloedcellen bijgemaakt. Een toename van het totaal aantal witte bloedcellen heet leukocytose.
Zie ook
Externe link
- ↑ Liddell, H.G. & Scott, R. (1940). A Greek-English Lexicon. revised and augmented throughout by Sir Henry Stuart Jones. with the assistance of Roderick McKenzie. Oxford: Clarendon Press.






