Dysplasie
Neem het voorbehoud bij medische informatie in acht.
Raadpleeg bij gezondheidsklachten een arts.
Raadpleeg bij gezondheidsklachten een arts.
Dysplasie (Oudgrieks: dys = slecht [hier = mis-], plassein = vormen, [hier = -vorming]) betekent in de humane geneeskunde en diergeneeskunde een afwijking van de vorm; het kan gaan om een al dan niet erfelijke aangeboren maar ook om een verworven afwijking.
Dysplasie bij een orgaan of weefsel is een afwijking van de weefselstructuur. Sommige vormen van dysplasie kunnen overgaan in of duiden op een vroeg stadium van kanker.
Voorbeelden

Algemene afwijkingen
- Bronchopulmonale dysplasie
- Dysplasie van het netvlies, (Reese-Syndroom)
- Fibromusculaire dysplasie van vaten
- Dysplasia polyostotica fibrosa (Jaffé-Lichtenstein-syndroom)
- Ectodermale dysplasie
Dysplasieën van het skelet en bindweefsel


Dysplasieën van het skelet en bindweefsel zijn geen defecten van organen maar van weefsels.
- Achondroplasie
- Campomele-dysplasie
- Dysplasia oculo-auricularis
- Enchondromatose
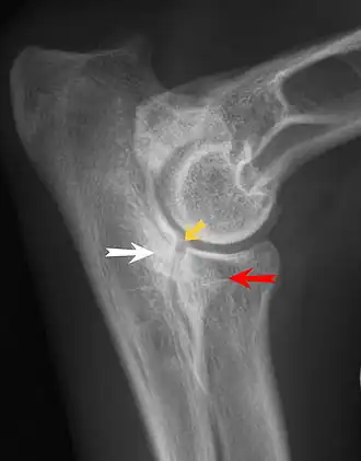
- Fibreuze dysplasie
- Heupdysplasie
- Cleidocraniale dysplasie
- Multipele epiphysaire dysplasie
- Multipele cartilaginaire exostosen
- Neurofibromatose (Ziekte van Von Recklinghausen)
- Osteogenesis imperfecta
- Osteopetrose
- Pseudoachondroplasie
- Spondylo-epifysaire dysplasie
- Thanatofore dysplasie
Speciale dysplasie van het fijne weefsel als voorstadium van kanker
- Epitheeldysplasie van de huid
- Dysplasie van pigmentcellen van de huid (dysplastische naevus)
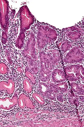
- Epitheeldysplasie van de slijmhuid van de maag- en slokdarm
- Epitheeldysplasie van de slijmhuid van de bronchiën
- Epitheeldysplasie van de baarmoederhals (cervix uteri)
- Epitheeldysplasie van de anus
- Dysplasie van schildkliercellen