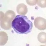
Lymfocyt


Een lymfocyt is een type witte bloedcel die in het rode beenmerg wordt gevormd uit een lymfoïde voorlopercel en rijpt in de lymfoïde organen. Met een lichtmicroscoop zijn grote en kleine lymfocyten te onderscheiden. Lymfocyten spelen een belangrijke rol in het verworven immuunsysteem. Het falen van dit systeem kan ernstige consequenties tot gevolg hebben (bijvoorbeeld hiv en leukemie).
Het menselijk lichaam bevat gemiddeld ongeveer 1012 lymfoïde cellen. Al dit lymfoïde weefsel bij elkaar staat gelijk aan ongeveer 2% van het lichaamsgewicht.
Ontwikkeling van lymfocyten
Lymfocyten ontstaan uit stamcellen in het beenmerg van de platte beenderen. Een deel ontwikkelt zich via een aantal stappen in het beenmerg en rijpt uit tot B-Lymfocyten, terwijl de voorlopercel van de T-lymfocyt zich in de thymus verder ontwikkelt tot T-lymfocyt.
Verschillende typen lymfocyten
Er bestaan drie groepen lymfocyten:
- T-lymfocyten (ook wel T-cellen),
- B-lymfocyten (ook wel B-cellen) en
- natural killer cells (ook wel NK-cellen)
De details over hun functie zijn in de betreffende artikelen te vinden, in het kort:
T- en B-lymfocyten vormen een belangrijk onderdeel van het specifieke immuunsysteem. T-lymfocyten zijn betrokken bij de cellulaire immuunrespons, B-lymfocyten zijn voornamelijk verantwoordelijk voor de humorale immuunrespons. Hun functie is het herkennen van niet-lichaamseigen antigenen.
NK-cellen spelen een rol bij celdoding en uitscheiding van cytokinen die worden gebruikt tegen pathogenen. Ze worden tot het niet-specifieke immuunsysteem gerekend.
Subtypering van lymfocyten
Onder de microscoop zijn een aantal verschillende lymfocyten te onderscheiden variërend van kleine tot grote lymfocyten met korreling. Daarnaast hebben de rijpe B-lymfocyten, de plasmacellen een uitgesproken vorm. Om beter na te kunnen gaan welk type lymfocyten in een bloedmonster aanwezig zijn kan gebruik worden gemaakt van structuren op het oppervlak van de lymfocyt, de zogenaamde CD-markers. Door gebruik te maken van antilichamen die specifiek gericht zijn tegen een bepaalde CD-merker kan nagegaan worden of het T-cellen of B-cellen betreft. T-cellen hebben CD3 op het oppervlak van de cel en binden antistoffen gericht tegen CD3, terwijl B-cellen CD19 en CD20 op het oppervlak hebben. Deze subtypering wordt met name gebruikt in de diagnostiek van hiv maar ook bij maligniteiten.
Lymfoïde ziekten
Bij een bloedonderzoek is een van de vaste onderdelen een differentiële telling van bloedcellen. Hierbij wordt het aantal rode en witte bloedcellen geteld en vindt bovendien ook een specifieke telling van de verschillende witte bloedcellen plaats. Als resultaat wordt het aantal neutrofielen, basofielen, monocyten en lymfocyten in het bloed weergegeven. Een verouderde manier om het aantal lymfocyten te bepalen is om in een celuitstrijkje het percentage lymfocyten t.o.v. het totaal aantal witte bloedcellen te tellen. Een verhoging van het aantal lymfocyten is meestal een teken van een virale infectie (soms kan dit beeld ook door een leukemie veroorzaakt worden).
Een daling in het aantal lymfocyten kan onder andere het gevolg zijn van een besmetting met het Human Immunodeficiency Virus. Dat virus doodt onder meer T-lymfocyten die gewoonlijk juist tegen virussen beschermen. Zonder T-lymfocyten valt een belangrijk deel van het immuunsysteem uit, en is het lichaam vatbaar voor opportunistische infecties.
Overzicht hematopoëtische stamcel rode beenmerg
Referenties
Marieb, Elaine Nicpon; (2004). Human Anatomy & Physiology / Elaine M. Marieb. 6th Edition. Pearson Education, Inc.. ISBN 0-8053-5462-X.—hoofdstuk 21 "The Immune System: Innate and Adaptive Body Defenses"