Voet (anatomie)

De voet is het lichaamsdeel waarop men staat en dat gebruikt wordt voor de voortbeweging. De voet is het naar voren gerichte uiteinde (onder de enkel) van het been (bij mensen) of de achterpoot (bij sommige dieren).
Mens
De menselijke voet bestaat uit 26 afzonderlijke beenderen, 33 gewrichten, 107 ligamenten en 19 spieren en pezen waarmee de bijzonder ingewikkelde bewegingen gemaakt worden om te kunnen lopen. De menselijke voet valt te verdelen in drie gebieden:
- de voorvoet bestaat uit 5 middenvoetsbeenderen en de tenen;
- de middenvoet bestaat uit vijf (of meer) voetwortelbeenderen;
- de achtervoet is draaipunt van de enkel en bestaat uit de twee grootste voetwortelbeenderen: het sprongbeen en het hielbeen.
Wanneer de grote teen de langste teen is wordt gesproken van Egyptische voet. Dit komt voor bij ongeveer 60% van de mensen. Bij 10% van de mensen is de tweede teen de langste teen, de zogenoemde Griekse voet. En als de grote en de tweede teen gelijkmatig zijn spreekt men van een vierkante voet. Al naargelang de rechter- of linkervoet (en -been) bij voorkeur wordt gebruikt, spreekt men van rechts- of linksvoetigheid
De mens is het enige zoogdier dat permanent op twee voeten staat. Dit maakt de handen vrij voor andere functies dan voortbeweging. Schoeisel beschermt en ondersteunt de voet. Voeten zijn echter geëvolueerd en geschikt om op harde en ruwe grond te lopen.[1] In de westerse wereld zijn de mensen gewend aan het lopen met schoeisel. Sommige hardlopers lopen bij voorkeur op blote voeten (zie hardlopen op blote voeten). De looptechniek is dan anders en moet getraind worden.[2] Er worden tegenwoordig teenschoenen verkocht die alleen bescherming voor de huid, maar geen voetondersteuning bieden. Er zijn anatomische aanwijzingen dat de moderne mens in de laatpaleolithicum schoenen droegen. De kleine tenen werden minder robuust door het gebruik van schoenen.[3] De voeten zijn al geëvolueerd aan het dragen van schoenen.
Als bij lichaamstaal gekeken wordt naar de betekenis van lichaamshouding, hebben de voeten ook een grote rol. De voeten zorgen voor stabiliteit en bepalen letterlijk hoe stevig we in onze schoenen staan.
Voetbehandeling
Het medische specialisme dat zich bezighoudt met het bewegingsapparaat waaronder de voet, is de orthopedie.
Daarnaast worden voetklachten in Nederland behandeld door geregistreerde podotherapeuten. In België noemt men dit podologen. De naamgeving is dus verschillend en daardoor ook verwarrend. Iemand die zich in Nederland podoloog noemt is niet erkend geregistreerd en heeft daarvoor ook geen specialistische podotherapeutische opleiding gevolgd. De kosten voor een bezoek aan een podotherapeut worden veelal vergoed door de verzekering. De kosten voor een podoloog (in Nederland) zijn voor eigen rekening.
Bij neurologisch onderzoek van de voet wordt gebruikgemaakt van de reflex van de voetzool.
Lijst van voetafwijkingen
|
| |
De botten van een voet
|
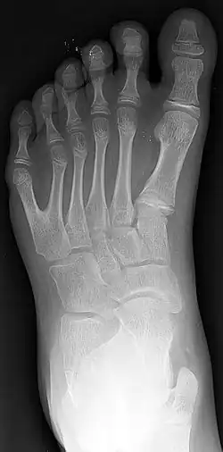
Röntgenfoto van een voet met 6 tenen (polydactylie)
|
- Hallux valgus
- Hallux varus
- Hallux rigidus
- Hielvoet
- Holvoet
- Klapvoet
- Klompvoet
- Knikvoet
- Marsfractuur
- Mortons neuralgie
- Paardenvoet
- Platvoeten
- Polydactylie
- Reuzenvoet
- Spitsvoet
- Spreidvoet
Lotusvoetjes zijn een bewust gecreëerde voetafwijking.
Zie ook
- Reflexologie, een pseudowetenschappelijke alternatieve geneeswijze.
- Voetfetisjisme, de seksuele aanleg waarbij lustgevoelens worden opgewekt door voeten.

