Hallux valgus
Raadpleeg bij gezondheidsklachten een arts.



Hallux valgus of knobbelteen is een meestal verworven standsafwijking van de grote teen. De benaming is afgeleid van de Latijnse woorden (h)allus "grote teen" en valgus "krom".
Het middenvoetsbeen van de grote teen staat naar mediaal maar de teen zelf wijst naar lateraal (staat in valgus). Hierdoor ontstaat een knobbel aan de zijkant van de voet bij het begin van de teen. Deze knobbel kan leiden tot bursitis, een ontsteking. Hallux kan het gevolg zijn van een spreidvoet, aangeboren aanleg of het dragen van hoge hakken en schoenen met smalle punten. Bij natuurvolkeren die op blote voeten lopen is het heel zeldzaam maar komt wel voor.
Diagnose
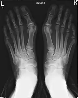
Een hallux valgus kan worden gediagnosticeerd en geanalyseerd met een eenvoudige röntgenfoto, die moet worden genomen met het gewicht op de voet. De hallux valgus hoek (HVA) is de hoek tussen de lange assen van de proximale falanx en het eerste middenvoetsbeen van de grote teen. Het wordt als abnormaal beschouwd als het groter is dan 15-18°. De volgende HV hoeken kunnen ook worden gebruikt om de ernst van de hallux valgus te bepalen[1]:
- Licht: 15–20°
- Matig: 21–39°
- Ernstig: ≥ 40°
De intermetatarsale hoek (IMA) is de hoek tussen de lengteassen van het eerste en tweede middenvoetsbeen en is normaal gesproken minder dan 9°. De IM hoek kan ook de ernst van de hallux valgus aangeven als:
- Licht: 9–11°
- Matig: 12–17°
- Ernstig: ≥ 18°
Behandeling
Conservatieve behandeling voor hallux valgus omvat veranderingen in schoeisel, het gebruik van orthese (accommodatieve padding en afscherming), rust, ijs, en pijnmedicatie zoals paracetamol of niet-steroïde anti-inflammatoire geneesmiddelen. Deze behandelingen richten zich op symptomen, maar corrigeren niet de feitelijke misvorming. Als het ongemak aanhoudt en ernstig is, of wanneer esthetische correctie van de misvorming gewenst is, kan een operatieve correctie door een orthopedisch chirurg of een podiatrisch chirurg nodig zijn.
Behandeling is niet altijd noodzakelijk maar bij pijnklachten of last kan dit wel wenselijk zijn. De belangrijkste behandeling bestaat uit goed schoeisel eventueel aangevuld met steunzolen. Er kan 's nachts ook een corrigerende spalk gedragen worden. In ernstige gevallen is chirurgie (een osteotomie) ook een optie.[2][3]
Orthesen
Orthesen zijn spalken of regulators, terwijl conservatieve maatregelen verschillende soorten schoeisel omvatten, zoals teenspreiders, valgusspalken en bunion schilden. Teenspreiders lijken effectief in het verminderen van pijn, maar er is geen bewijs dat een van deze technieken de fysieke misvorming vermindert. Er zijn verschillende soorten orthesen beschikbaar, waaronder kant-en-klare commerciële producten en op maat gemaakte orthesen, die voorgeschreven medische hulpmiddelen kunnen zijn.
Chirurgie
Alleen door middel van een operatieve behandeling kan de teen weer worden rechtgezet. Zo’n osteotomie houdt in dat een beentje wordt doorgezaagd, verschoven en vastgezet. Er zijn verschillende manieren waarop dit wordt gedaan:
- Chevron: de hals van het kopje van het middenvoetsbeentje onder de grote teen wordt in V-vorm doorgezaagd. Het kopje wordt vervolgens naar de tweede teen opgeschoven en vastgezet.
- Scarf: het middenvoetsbeentje wordt over de gehele lengte doorgezaagd waarna de botdelen worden verschoven en vastgezet.
- Basis-osteotomie: de basis van het middenvoetsbeentje wordt doorgezaagd waarna het hele stuk vanaf het begin van het middenvoetsbeentje rechtgezet wordt.
Na zo’n operatie kan er ook nog een andere osteotomie of een artrodese worden gedaan:
- Akin: er wordt een driehoekje uit het basisgewricht van de grote teen gesneden, waarna de botten weer aan elkaar worden gezet en de teen weer recht staat.
- Lapidus (ook TMT-I artrodese genoemd): het middenvoetsbeentje wordt gecorrigeerd door het aan het begin vast te zetten aan het voetwortelbeentje.
- MTP-I artrodese: het gewricht tussen de grote teen en het middenvoetsbeentje kan door artrose dusdanig versleten zijn dat het na een standsverandering moet worden vastgezet.[4][5]
Oefenen
Naast bestaande therapieën zoals opereren of het gebruik van steunzolen is sinds de late jaren 2010 een behandeling op basis van oefeningen in opkomst.[6] Dit herstellen door te trainen wordt ook wel voetentraining genoemd en kan een alternatief zijn voor meer ingrijpende behandelmethoden. Door gericht de spieren in de voeten en tenen te versterken, kan de stabiliteit van de voetboog worden verbeterd en de afwijking worden gecorrigeerd of verminderd. Deze aanpak vereist consistentie en geduld, maar kan binnen vier tot zes maanden leiden tot minder pijn en een betere voetfunctie. De trainingen kunnen online worden gevolgd of onder begeleiding van een gespecialiseerde oefentherapeut.
- ↑ A geometric analysis of hallux valgus: correlation with clinical assessment of severity (PMC2694774). Gearchiveerd op 12 februari 2023.
- ↑ Standscorrectie grote teen (hallux valgus)[dode link]
- ↑ Standscorrectie grote teen (hallux valgus) en voorvoetcorrectie[dode link]
- ↑ https://www.isala.nl/patienten/folders/5746-voetoperatie
- ↑ https://voetenenkelklacht.nl/voetklachten/hallux-valgus/behandelmogelijkheden/operatief. Gearchiveerd op 31 maart 2023.
- ↑ Gearchiveerde kopie. Gearchiveerd op 20 augustus 2024. Geraadpleegd op 20 augustus 2024.