Teen


In de anatomie van gewervelden is de teen een uitstekend en onafhankelijk beweegbaar onderdeel van de voet of poot.
De teen bevindt zich meestal aan de voorzijde van de voet, maar er zijn dieren waar een deel van de tenen zich aan de zij- of achterkant van de voet bevindt. Zo zit er bij de kip en hond één teen aan de achterkant. In andere gevallen zitten de tenen zo ver van elkaar af dat ze tot aan de zijkant zitten, bijvoorbeeld bij de beer.
De mens heeft vijf tenen aan elke voet. De binnenste teen wordt de grote teen genoemd en de buitenste teen de kleine teen. Vaak worden de andere drie tenen van binnen naar buiten de tweede, derde en vierde teen genoemd.
Functie
De tenen spelen bij de mens een belangrijke rol bij het lopen. Vlak voordat een mens zijn voet optilt bij het lopen, steunt hij op zijn tenen. Tenen corrigeren tevens het evenwicht bij het lopen.
Bij sommigen dieren hebben de tenen meer functies of een andere functie:
- Bij bijvoorbeeld paarden heeft de middelste teen volledig de functie van de voet overgenomen. Een paard loopt op zijn middelste teen. Katten en honden lopen op al hun tenen.
- Bij andere dieren zijn tenen, net als vingers, een grijpmiddel, zoals bij de apen. Zij houden zich met behulp van hun tenen aan takken vast. De voeten van apen lijken op de menselijke handen, en de grote teen werkt net als de menselijke duim.
- Eekhoorns gebruiken hun tenen (met scherpe nagels) bij het klimmen. Ze houden zich dan niet aan een tak vast, maar klemmen hun scherpe nagels in de bast van een boom.

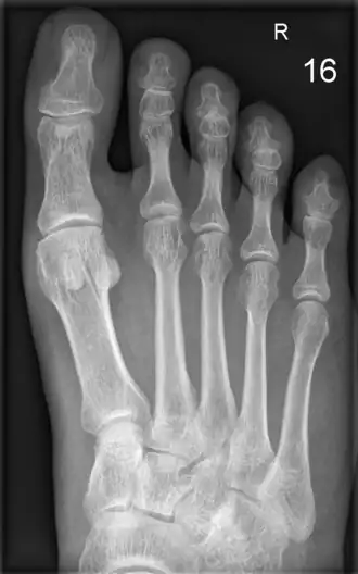
Anatomie van de menselijke teen
De mens heeft 14 teenkootjes in elke voet; de grote teen heeft twee teenkootjes, de andere tenen drie.
De teen bevat een nagel van hoornstof.
Benaming
Medisch
In de medische terminologie[1] wordt de Latijnse naam gebruikt en heet zowel een teen als een vinger "digitus" (meervoud "digiti"), vaak afgekort tot "digit". Beginnend bij de grote teen worden ze genummerd: digit 1, digit 2 enzovoorts t/m digit 5 voor de kleine teen. In de schrijftaal worden soms de Romeinse cijfers gebruikt (I, II, III, IV, V). Aleen de grote teen heeft een aparte naam: "Hallux". Meestal wordt er in de spreektaal gewoon aangegeven of het om de hand of voet gaat en aan welke zijde bijvoorbeeld: digit 2 van de rechtervoet. Ook in de Latijnse benaming gebeurt dit: "digit II pedes". Voor 'digits' van de hand wordt het achtervoegsel "manem" gebruikt. Om de zijde aan te geven gebruikt men "dextra" voor rechts en "sinistra" voor links. De volledige benaming van de linkerteen is dus "digit V pedes sinistra".
Nederlands
In het Nederlands hebben alleen de grote teen en kleine teen hun eigen naam. De drie tussenliggende tenen worden vaak naar analogie van de vingers van de hand 'lange teen', 'middelste teen' en 'ringteen' genoemd.
Zie ook
- ↑ Medische terminologie anatomie en fysiologie. mijn-bsl. Geraadpleegd op 3 november 2024.