Polydactylie
Raadpleeg bij gezondheidsklachten een arts.
| Polydactylie | ||||
|---|---|---|---|---|
| ||||
| Coderingen | ||||
| ICD-11 | ||||
| OMIM | 603598 | |||
| DiseasesDB | 24853 | |||
| DOID | 1148 | |||
| MedlinePlus | 003176 | |||
| eMedicine | derm/692 | |||
| MeSH | D017689 | |||
| ||||
Polydactylie (van oud Grieks: veel vingers) is (bij mensen) het hebben van meer dan vijf vingers of tenen aan een hand of voet.
Polydactylie is een relatief vaak voorkomende aangeboren afwijking (enkele per duizend, aanzienlijk meer als ook heel lichte graden worden meegeteld). Dergelijke extra vingers zijn zelden geheel functioneel; het gaat meestal om een klein aanhangend stukje weefsel waar soms wel, soms geen botjes in zitten. Ook een gespleten nagel op de kleine teen kan worden beschouwd als een zeer lichte vorm van dit verschijnsel. Om cosmetische redenen kiezen de meeste mensen met een dergelijke vinger in het algemeen voor verwijdering, zelfs als hij volledig functioneel is.
Polydactylie komt meestal zonder andere aangeboren afwijkingen voor maar is ook een onderdeel van een vrij groot aantal syndromen. Het komt vrij vaak ook familiair voor.
Op 13 mei 2005 werd in de Amerikaanse staat Oregon een jongetje geboren met veertien tenen en twaalf vingers. Opmerkelijk was dat al de overtollige tenen en vingers volwaardig en volledig functioneel waren. In 2010 was in China een jongetje van 6 jaar met 15 vingers (een van de vingers is niet compleet) en 16 tenen.[1]
-
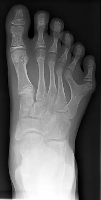
Röntgenfoto van hand met 6 vingers -
Röntgenfoto van voet met 6 tenen
Trivia
Polydactylie wordt in de Bijbel genoemd in 2 Samuel 21:20: "Tijdens weer een andere veldslag, ditmaal bij Gat, was er een vechtjas die aan elke hand zes vingers had en aan elke voet zes tenen: vierentwintig in totaal. Ook hij was een Refaïet." (NBV)
Zie ook
- ↑ Operatie voor jongen met 31 vingers en tenen op Waarmaarraar.
