Ziekte van Hodgkin
Raadpleeg bij gezondheidsklachten een arts.
| Ziekte van Hodgkin | ||||
|---|---|---|---|---|
| ||||
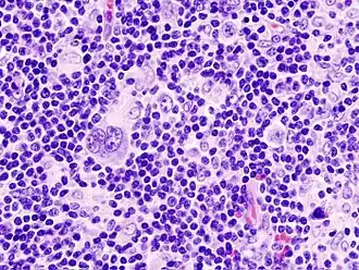
Biopt van lymfeknoop met hodgkinlymfoom (gemengdcellig type, H&E-kleuring)
| ||||
| Synoniemen | ||||
| Latijn | lymphogranulomatosis maligna[1][2] | |||
| Nederlands | hodgkinlymfoom (HL)[4] ziekte van Hodgkin-Paltauf-Sternberg[2] | |||
| Classificatie | ||||
| Specialisme | hematologie | |||
| Lichaamsdeel | lymfeklier, milt, beenmerg | |||
| Gerelateerde aandoeningen | Diffuus grootcellig B-cellymfoom, Primair mediastinaal B-cellymfoom | |||
| Beschrijving | ||||
| Symptomen | bloedarmoede, koorts, lymfadenopathie | |||
| Oorzaken | Epstein-barrvirus | |||
| Diagnose | lymfeklierextirpatie | |||
| Behandeling | radiotherapie, chemotherapie, stamceltransplantatie | |||
| Medicatie | ABVD, BEACOPP, DHAP, BEAM | |||
| Coderingen | ||||
| ICD-11 | ||||
| ICD-O | 9650/3-9667/3 | |||
| OMIM | [1] | |||
| DiseasesDB | 5973 | |||
| DOID | 8567 | |||
| MedlinePlus | 000580 | |||
| eMedicine | med/1022 | |||
| MeSH | D006689 | |||
| ||||
De ziekte van Hodgkin of het hodgkinlymfoom (HL) is een kanker van de lymfeklier die wordt gekenmerkt door de aanwezigheid van reed-sternbergcellen in de aangetaste klieren. De ziekte is vernoemd naar de Engelse arts Thomas Hodgkin (1798-1866), die het kwaadaardige lymfoom in 1832 als eerste beschreef. Het hodgkinlymfoom moet worden onderscheiden van de non-hodgkinlymfomen (NHL) die een ander verloop kennen.
Het hodgkinlymfoom ontstaat meestal in een lymfeklier boven in het lichaam, bijvoorbeeld in de hals of de oksel. De ziekte verspreidt zich via nabij gelegen lymfeklieren geleidelijk over het stelsel van lymfevaten. Vervolgens zal de ziekte ook weefsels buiten het lymfatisch stelsel bereiken, waardoor andere organen kunnen worden aangetast. Het duurt soms enkele maanden voordat de ziekte voldoende lymfeklieren heeft aangedaan om duidelijke klachten te veroorzaken.
De ziekte van Hodgkin komt vooral voor bij mensen in de leeftijdsgroep van 15 tot 40 jaar, met een piek rond de leeftijd van 25 jaar. In België wordt de diagnose zo'n 300 tot 350 keer per jaar gesteld, in Nederland ongeveer 450 keer. Mannen worden vaker getroffen dan vrouwen.
Symptomen & verschijnselen
De eerste uitingen van de ziekte zijn vaak enkele pijnloze gezwollen lymfeklieren en klachten die veelal doen denken aan een stevige verkoudheid of griep, daarom kan de ziekte enige tijd onopgemerkt blijven. Bovendien kunnen klachten vaag blijven en denkt men bij jonge patiënten met een blanco medische historie meestal niet snel aan een vorm van kanker.
De ziekte veroorzaakt meestal een algeheel gevoel van zwakte, aanhoudende vermoeidheid, terugkerende episoden van koorts en nachtzweten: heftig transpireren tijdens de slaap, zodanig dat het beddengoed (soms meerdere malen per nacht) verschoond moet worden. Verder vermagert de patiënt onvrijwillig en in toenemende mate. De ziekte veroorzaakt uiteindelijk altijd een bloedarmoede en klachten die daarbij horen.
Soms veroorzaakt de ziekte verschijnselen zoals:
- splenomegalie: vergroting van de milt (soms pijnlijk)
- jeuk, meestal zonder zichtbare huidproblemen
- (pijnloze) gezwollen lymfeklieren, pijn kan echter wel ontstaan wanneer andere weefsels worden verdrongen
- kortademigheid en hoesten (doordat lymfeklieren druk uitoefenen op de longen)
- anemische slijmvliezen: een grauwe of bleke mondholte
- een bleke en/of grauwe huid (onder meer ten gevolge van bloedarmoede)
Na het drinken van alcohol kan pijn in de aangedane klieren ontstaan (vooral in de buik), dit symptoom komt echter weinig voor.
Verschijnselen die nader onderzoek noodzaken:
- lymfadenopathie (gezwollen lymfeklieren)
- petechiën op de onderbenen
- bloedarmoede
- onvrijwillig gewichtsverlies
- een verhoogde CRP-waarde en (na enige tijd) verhoogde bezinking in het bloedbeeld
Oorzaak
De oorzaak van de ziekte is onbekend. De ziekte komt anderhalfmaal zo vaak voor bij mannen als bij vrouwen; de hoogste frequentie wordt gevonden rond het 25e en na het 55e jaar. Er zijn geen aanwijzingen dat de ziekte van Hodgkin erfelijk is. Er zijn echter wel aanwijzingen dat het Epstein-barr virus in combinatie met een genetische vatbaarheid de ziekte kan veroorzaken.
Diagnose
Na het uitvragen van klachten bij de patiënt, enkele bloedonderzoeken en een lichamelijk onderzoek moet een definitieve diagnose worden gesteld.

De diagnose wordt gesteld met behulp van microscopisch onderzoek (meestal door meerdere, ervaren pathologen) van een door een chirurg verwijderde lymfeklier (lymfeklierextirpatie). Onder de microscoop wordt bij de ziekte van Hodgkin de typische reed-sternbergcel (RS-cel) gevonden. Hiermee onderscheidt de ziekte zich van alle andere soorten lymfeklierkanker die de verzamelnaam non-hodgkinlymfoom hebben gekregen. De prognose van de ziekte wordt vooral bepaald door het stadium en het subtype van de ziekte. Op grond van een stadiëringsonderzoek worden vier stadia (I t/m IV) onderscheiden naarmate de ziekte zich verder door het lichaam heeft verspreid. Dit onderzoek omvat o.a. een computertomografie, waarbij alle lymfeklieren in de buik- en de borstholte worden afgebeeld, en een beenmergonderzoek.
Subtypen
Het klassieke hodgkinlymfoom kent vier verschillende subtypen. Allen vereisen een aparte diagnose en hebben ieder een ietwat verschillend beloop.
- nodulair scleroserend (NS: nodular sclerosing): komt het meest voor, maar iets vaker bij vrouwen dan bij mannen. Dit subtype kent een zeer goede tot uitstekende prognose. Kenmerkt zich door afwijkende RS-cellen en collageenbanden die de lymfeklier opdelen in 'eilandjes'
- lymfocytenrijk (LP: lymphocyte predominant): kent een uitstekende prognose. Kenmerkt zich door veel lymfocyten en weinig RS-cellen
- gemengdcellig (MC: mixed cellularity): komt vaker voor bij oudere patiënten en kent een matig tot goede prognose. Kent een gelijkmatige verdeling tussen lymfocyten en RS-cellen
- lymfocytenarm (LD: lymphocyte depleted): komt het minst voor, is het meest agressief en kent de slechtste prognose. Kenmerkt zich door weinig lymfocyten en veel RS-cellen
De nodulair lymfocytenrijke vorm (ook wel nodulair paragranuloom) wordt niet beschouwd als een klassieke vorm van het hodgkinlyfoom omdat deze zich anders presenteert en een geheel ander beloop heeft dan de klassieke subtypen. Deze (zeldzame) vorm bestaat slechts uit lymfocyten en blijft na behandelingen terugkomen (soms vele jaren later), maar kan steeds goed behandeld worden. De nodulair lymfocytenrijke vorm verandert soms in het diffuus grootcellig B-cellymfoom en heeft dan een matige prognose.
Stadiëring
Nadat een patiënt is gediagnosticeerd met de ziekte moet het stadium worden bepaald. Ann Arbor-stadiëring is het stadiëringssysteem dat wordt gebruikt bij het bepalen van het stadium voor de ziekte.
| Stadium | Omschrijving |
|---|---|
| I | De ziekte beperkt zich tot één gebied van het lymfatisch stelsel. Dit kan ook alleen de milt zijn. |
| II | Meerdere gebieden van het lymfatisch stelsel zijn aangedaan door de ziekte, maar is nog steeds beperkt tot één zijde van het middenrif. |
| III | De ziekte heeft zich verspreid naar beide zijden van het middenrif. |
| IV | De ziekte heeft zich verspreid naar organen of weefsels die niet tot het lymfatisch stelsel behoren (zoals de lever of longen). |
De volgende letters kunnen worden toegevoegd aan het stadium (de Cotswolds-criteria):
- A of B: wanneer geen sprake is van symptomen (zoals onvrijwillig gewichtsverlies van meer dan 10% binnen 6 maanden, profuus nachtzweten of cyclische koorts) gebruikt men de letter A, wanneer wel sprake is van deze symptomen gebruikt men de letter B (deze symptomen worden ook wel de B-symptomen genoemd)
- X: er is sprake van bulky disease (hoge tumorlast) of een verbreding van het mediastinum van meer dan 10 centimeter
- S: de milt is aangedaan door de ziekte (de letter S staat voor het Engelse woord voor milt: spleen), wordt alleen gebruikt bij stadium III
- E: de ziekte heeft zich verspreid naar weefsel buiten het lymfatisch stelsel (extranodaal), wordt niet gebruikt bij stadium IV
Behandeling
De ziekte wordt meestal behandeld met radiotherapie (ook wel bestraling genoemd) en/of chemotherapie. In slechts een enkel geval is het mogelijk de ziekte in zijn geheel operatief te verwijderen.
Patiënten in stadium I en II worden vaak behandeld middels radiotherapie. Bij gevorderde stadia (III en IV) behoeft chemotherapie de voorkeur. Na de chemotherapie volgt soms bestraling op de plaatsen waar de ziekte (nog) aanwezig is. Het stadium alleen is niet bepalend voor de behandeling.
Naast het stadium zijn de volgende factoren bepalend voor het behandelplan:
- betrokkenheid van het beenmerg
- de grootte van de aangedane lymfeklieren
- de leeftijd en conditie van de patiënt.
Chemotherapie
In Nederland en België zijn ABVD en BEACOPP de enige chemotherapieschema's die als eerstelijnsbehandeling worden gebruikt. Andere schema's (zoals MOPP of eventueel CHOP) worden slechts in uitzonderlijke gevallen toegepast.
Bij een refractaire ziekte (de ziekte reageert onvoldoende op de behandeling) of recidief (de ziekte keert terug na de behandeling) zijn DHAP gevolgd door BEAM, VIM of ICE de therapieschema's die gebruikt worden, in combinatie met een autologe stamceltransplantatie, om de ziekte alsnog in remissie te brengen.
Complicaties
Zowel tijdens als na de behandeling (zelfs vele jaren later) kunnen complicaties optreden. Sommige patiënten worden na de behandeling voor hodgkinlymfoom getroffen door een tweede vorm van kanker, zoals non-hodgkinlymfomen (na bestraling) of acute myeloïde leukemie (na chemotherapie).
Prognose
Hodgkinlymfoom was een van de eerste kankers die genezen werden door bestraling en later bij de eerste die genezen werden door combinatiechemotherapie. Zelfs in gevorderde stadia is de kans op genezing groter dan 80%, waarmee het een van de best behandelbare vormen van kanker is.
De kans dat de ziekte terugkeert na de behandeling (recidief) is in het eerste jaar het grootst, naarmate de tijd vordert wordt de kans op een recidief kleiner: een recidief na vijf jaren komt zeer zelden voor.
Als de ziekte in volledige remissie blijkt na de behandeling worden het bloedbeeld en lichaamsgewicht intensief gecontroleerd door de behandelend arts (deze fase noemt men ook wel de follow-up) op een interval van drie, zes en vervolgens twaalf maanden.
Omdat patiënten levenslang een verhoogd risico houden op late bijwerkingen van de behandeling, een recidief en op een nieuwe vorm van kanker, dienen zij levenslang onder controle te blijven van een arts.
Onderzoek
Onderzoek naar behandelingen voor de ziekte wordt in Nederland en België gecoördineerd door de stichting HOVON. In samenwerking met EORTC en GHSG worden patiënten behandeld in studieverband om behandelingen te verbeteren en bijwerkingen te verminderen.
Middelen als brentuximab (sinds 2018) en nivolumab worden soms ingezet als andere behandelingen niet succesvol blijken.
Behandeling buiten studieverband vindt in Nederland en België altijd plaats volgens de richtlijnen van HOVON.
Externe links
- Beter na Hodgkin Website met informatie over de late effecten na de behandeling van Hodgkinlymfoom
- Hodgkin Lymfoom / Ziekte van Hodgkin op Hematologie Groningen (UMCG)
- Hodgkin Lymfoom - Nederlandse Vereniging voor Hematologie (gearchiveerd)
- Hodgkin Lymfoom op Vademecum Hematologie (Erasmus MC) richtlijnen behandeling
- ↑ Pschyrembel, W. (Red.) (1972). Pschyrembel Klinisches Wörterbuch. (251. Auflage). Berlin/New York: Walter de Gruyter.
- ↑ a b Leflot-Soetemans, C. & Leflot, G. (1975). Standaard Geneeskundig woordboek Frans-Nederlands. Antwerpen-Amsterdam: Standaard Uitgeverij.
- ↑ a b Jochems, A.A.F. & Joosten, F.W.M.G. (2003). Coëlho Zakwoordenboek der geneeskunde (27ste druk). Doetinchem: ElsevierGezondheidszorg.
- ↑ a b Everdingen, J.J.E. van, Eerenbeemt, A.M.M. van den (2012). Pinkhof Geneeskundig woordenboek (12de druk). Bohn Stafleu Van Loghum, Houten.
- ↑ Hildebrandt, H. (Red.) (1998). Pschyrembel Klinisches Wörterbuch. (258. Auflage). Berlin/New York: Walter de Gruyter.
- ↑ Reuter, P. (2007). Springer Klinisches Wörterbuch. Heidelberg: Springer Medizin Verlag.
_mixed_cellulary_type.jpg)