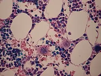
Megakaryocyt



Een megakaryocyt is een onvolgroeide trombocyt (bloedplaatje) en ontstaat uit een megakaryoblast. De voorloper van de megakaryocyt is de promegakaryocyt. Megakaryocyten zijn de grootste cellen in het rode beenmerg met een doorsnede van 35 – 160 μm. Het zijn polyploïde reuzencellen. Deze cellen hebben een goed ontwikkeld golgiapparaat, vele mitochondriën, een goed ontwikkeld ruw endoplasmatisch reticulum en veel ribosomen. Daarnaast bevat de cel granula, die ook in de trombocyt voorkomen. Er wordt onderscheid gemaakt in α-granula, elektronendichte granula en lysosomen. Ze bevatten proteïne en stoffen die belangrijk zijn voor het functioneren van de trombocyt, waaronder ADP, ATP, calcium, groeifactoren en stollingsfactoren.
In het rode beenmerg zijn 1 op de 10.000 cellen megakaryocyten, maar bij sommige ziekten kan een tienvoudige toename van megakaryocyten optreden.[1]
De megakaryocyt gaat door met het verdubbelen van het DNA zonder kern- en celdeling totdat er maximaal 128 chromosomenparen gevormd zijn. Vanaf het stadium met 8 chromosomenparen snoeren er delen van de cel af. De afgesnoerde cytoplasmadelen worden proplaatjes genoemd. Een megakaryocyt vormt 6-8 proplaatjes, die elk op hun beurt ongeveer 1.000 trombocyten vormen, zodat uiteindelijk uit één megakaryocyt ongeveer 4.000 – 8.000 trombocyten gevormd worden.
De proplaatjes blijven in eerste instantie in de interne celmembranen van het cytoplasma van de megakaryocyten zitten, totdat het mechanisme van afstoting begint te werken. Er zijn op dit moment twee voorgestelde mechanismen. Bij het ene mechanisme wordt het proplaatje explosief uitgestoten.[2] Bij het andere mechanisme vormen de cellen buisjes tot in het bloedvat. De buisjes worden via pseudopodia (schijnvoetjes) gevormd, waarna continu de plaatjes in het bloedvat gebracht worden.
Twee derde van de nieuwe bloedplaatjes blijven in het bloed circuleren, terwijl een derde opgenomen wordt in de milt.
Van de megakaryocyt blijft na de vorming van de bloedplaatjes praktisch alleen de celkern over. Deze restanten gaan vanuit het beenmerg naar de bloedbaan en worden in de longen afgebroken door de alveolaire macrofagen.
Overzicht hematopoëtische stamcel rode beenmerg
- ↑ Branehog I, Ridell B, Swolin B, Weinfeld A (1975). Megakaryocyte quantifications in relation to thrombokinetics in primary thrombocythaemia and allied diseases. Scand. J. Haematol. 15: 321–332.
- ↑ Choi ES, Nichol JL, Hokom MM, et al (1995). Platelets generated in vitro from proplatelet-displaying human megakaryocytes are functional. Blood 85 (2): 402–13.