Heupfractuur
Raadpleeg bij gezondheidsklachten een arts.
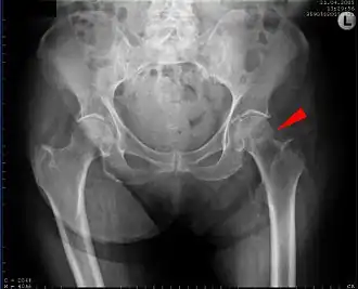
| Heupfractuur | ||||
|---|---|---|---|---|
| ||||
Paars = mediale collumfractuur, rood = mediale transversale collumfractuur, groen = laterale collumfractuur
| ||||
| Coderingen | ||||
| ICD-10 ICD-9 |
S72.0 820 | |||
| eMedicine | emerg/198 sports/48 | |||
| MeSH | D006620 | |||
| ||||
Een collumfractuur, dijbeenhalsfractuur, gebroken heup of heupfractuur is een proximale femurfractuur, een botbreuk ofwel fractuur in het bovenste gedeelte van het dijbeen. Zo'n botbreuk bevindt zich op kleine afstand van of zelfs in het heupgewricht. Een botbreuk in het heupbeen heet een bekkenfractuur.
Klachten en verschijnselen
Een heupfractuur komt meestal voor na een val. Na deze val is er sprake van pijn in de heup, bovenbeen, knie of in de liesstreek. Het lukt niet meer om te staan of te lopen. Bij lichamelijk onderzoek valt soms op dat het been korter is en dat het been en de voet naar buiten zijn gedraaid.[1]

Risicofactoren
De meest voorkomende risicofactor van een heupfractuur is botontkalking, ook wel osteoporose genoemd. Andere risicofactoren zijn botziekten zoals de ziekte van Paget. Een andere risicofactor is kanker. Botkanker kan een risicofactor zijn voor een heupfractuur. Vaker voorkomend zijn echter uitzaaiingen van een andere kanker naar bot waardoor er een zwakke plek in het bot ontstaat. Hierdoor kan zelfs zonder een val of trauma een breuk ontstaan.[2]
Diagnose
Vrijwel altijd wordt de diagnose duidelijk door een röntgenfoto. Omdat de patiëntes (of patiënten) ouder zijn en vrijwel altijd geopereerd moeten worden, zal preoperatief onderzoek gedaan worden. Er wordt bloed afgenomen, een longfoto gemaakt en een elektrocardiogram. Soms worden ook andere artsen van andere specialisaties in consult gevraagd voor medebehandeling.[1]
Epidemiologie
De meeste heupfracturen ontstaan door een gering trauma op door botontkalking verzwakt bot. Ouderen hebben hier meer kans op en vrouwen meer dan mannen. Een gebroken heup in gezond bot is meestal het gevolg van een auto-ongeval. 97% van de gebroken heupen wordt echter veroorzaakt door een val. Gemiddeld worden er jaarlijks 17.000 mensen met een gebroken heup opgenomen in het ziekenhuis. Daarvan zijn er 15.000 ouder dan 55 jaar. Vanaf deze leeftijd neemt de frequentie sterk toe met de leeftijd. Zo hebben 85-jarigen 1,5 keer zo vaak een gebroken heup als 80-jarigen. Bij mannen treedt deze stijging vijf jaar later op dan bij vrouwen. Ongeveer 1000 mensen overlijden jaarlijks aan de gevolgen van een gebroken heup. Vrouwen vaker dan mannen en ook deze kans is groter bij het stijgen van de leeftijd.[3]
Indeling
De indeling van proximale femurfracturen gebeurt op basis van de plaats van de fractuur. Deze indeling is belangrijk bij de keuze voor de behandeling en de risico's op specifieke complicaties.
-
Heupkapsel -
Anatomie proximaal femur Neck = femurhals/collum femoris. Greater trochanter = grote trochanter/ trochanter major. Lesser trochanter = kleine trochanter/trochanter minor. Head = kop van het dijbeen/ femurkop -
Fractuurindeling Indeling heupfracturen per anatomische regio. 1. Heupkom 2. Femurhals/Collum femoris (Intracapsulair) 3. Intertrochantair 4. Subtrochantaire fracturen 5. Extracapsulair
Als eerst kan er onderscheid gemaakt worden tussen een fractuur in het heupkapsel (intracapsulair) of buiten dit heupkapsel (extracapsulair) Het heupkapsel loopt van het bekken tot net boven de trochanters.
Vervolgens kan de fractuur specifieker worden ingedeeld op locatie:
- fracturen van de femurhals/collum femoris
- per- en intertrochantaire fracturen; fracturen tussen de groter en kleine uitstulping genaamd trochanter (trochanter major en trochanter minor)
- subtrochantaire fracturen; fracturen onder de grote en kleine trochanter
- geïsoleerde fracturen van de grote en/of kleine trochanter
Per locatie van de fractuur is er een classificatie om de breuk verder te classificeren.[4]
Types
| Locatie | Classificatie | ||
|---|---|---|---|
| Intracapsulair | |||
| Femurhals/Collum femoris | AO 31-B1 - 31-B3 | Garden-classificatie, Pauwel's classificatie | |
| Extracapsulair | Per- en intertrochantair | AO 31-A1 - 31-A3 | Evans' classificatie (1949), Ramadier's classificatie (1956), Boyd and Griffin's classificatie (1949), Decoulx & Lavarde's classificatie (1969), Ender's classificatie (1970), Tronzo's classificatie (1973), Evans-Jensen classificatie (1975), Deburge's classificatie (1976), Briot's classificatie (1980) |
| Subtrochantair | AO 32 | Seinsheimer classificatie | |
Beleid
Een gebroken heup wordt operatief behandeld door een traumachirurg of een orthopedisch chirurg. Afhankelijk van het type fractuur zal deze proberen het gewricht te herstellen door middel van osteosynthese of het gewricht wordt in zijn geheel of gedeeltelijk vervangen door een endoprothese.[1]
Collumfractuur


De collumfractuur kan volgens de Garden-classificatie worden onderverdeeld in: niet-gedislokeerd (Garden type 1 en 2) en gedislokeerd (Garden type 3 en 4).
In de meeste gevallen zal er bij een niet-gedislokeerde collumfractuur, gekozen worden voor osteosynthese. Hierbij worden de botdelen aan elkeer gezet door middel van osteosynthesemateriaal zoals de glijdende heupschroef (GHS) of gacannuleerde schroeven.
De gedislokeerde collumfractuur (Garden type 3 en 4) kan zowel worden behandeld door middel van een osteosynthese of door middel van een endoprothese. Deze keuze is afhankelijk van de leeftijd van de patiënt en de lichamelijke en geestelijke conditie. Wanneer er gekozen wordt voor een osteosynthese zal eerst de heupkop weer recht op het dijbeen gezet moeten worden, dit heet repositie. Als deze stand gelijk is aan de normale stand kan er gebruik worden gemaak van osteosynthesemateriaal. Als repositie niet of onvoldoende lukt wordt er alsnog gekozen voor een endoprothese.[1]
Pertrochantere fractuur


De kans dat een pertrochantere fractuur goed geneest, is groot. Behandeling vindt meestal plaats met een dynamische heupschroef: een lange schroef gaat dwars door de fractuur de heupkop in, en wordt op zijn plaats gehouden met een plaatje dat langs het bot van het dijbeen zit geschroefd met enkele schroeven. Meestal is deze botbreuk binnen de 3 tot 6 maanden genezen. Het is, zeker bij ouderen, niet gebruikelijk de dynamische heupschroef weer te verwijderen; de risico’s van een tweede operatie en eventueel van een nieuwe fractuur zijn groter dan de kans op klachten. Wanneer er sprake is van osteoporose kan de kans op een nieuwe fractuur kleiner gemaakt worden door de osteoporose te behandelen. Bij jonge mensen wordt soms wel overwogen de plaat en de schroeven te verwijderen; bij hen kan het materiaal de spanning op het bot vergroten, waardoor de kans op een nieuwe botbreuk bij een ongeluk juist groter wordt.
De fractuur brengt veel pijn en stress met zich mee voor deze oude mensen. Langdurige bedrust brengt grotere risico’s met zich mee (decubitus, trombose, infecties, delier). Daarom wordt meestal een operatie verricht die snelle mobilisatie mogelijk maakt en wordt tevens een fysiotherapeut ingeschakeld. Eventueel wordt na een korte ziekenhuisopname tijdelijk gerevalideerd in een verpleegtehuis.
Wanneer een operatie geweigerd wordt of niet mogelijk is, ligt het accent op pijnbestrijding. Tractie noemen we het via een katrol aanbrengen van een gewicht aan de knie dat het been naar beneden trekt. Tractie kan aangebracht worden om de wachttijd op een operatie te overbruggen, maar kan eventueel ook langer toegepast worden, soms zelfs meerdere maanden. Juist vanwege de hierboven genoemde risico’s is dit eigenlijk altijd ongewenst. Tractie heeft een ongunstige invloed op de doorbloeding van de heupkop.
Complicaties
In 20% van de fracturen door de dijbeenhals, groeien de botstukken niet meer aan elkaar. De kans hierop is groter als de botstukken niet operatief worden gefixeerd. Vaak geneest de botbreuk wel, maar is de stand niet optimaal. Door de werking van de spieren worden de botstukken naar elkaar toegetrokken, waarbij ze soms over elkaar heen schuiven en het been korter wordt, in een andere hoek komt te staan of enigszins gedraaid.
Kopnecrose door slechte doorbloeding van de heupkop treedt in 20% van de fracturen van de dijbeenhals op maar is zeldzaam in pertrochantere fracturen. Een gebroken heup kan in zeldzame gevallen bloedvaten en zenuwen beschadigen.
Chirurgische complicaties
Ongeveer 2% van de patiënten loopt een diepe of een oppervlakkige wondinfectie op. Beide zijn een ernstig probleem, een oppervlakkige infectie kan zich uitbreiden tot een diepe infectie, waardoor een infectie van het bot de botgenezing belemmert of de prothese besmet. Bacteriën in een prothese zijn onbereikbaar voor het immuunsysteem en voor antibiotica. Men zal proberen de infectie te onderdrukken met behulp van een drain en antibiotica, tot het bot is geheeld. Daarna moet al het vreemde materiaal verwijderd worden.
Er kunnen allerlei problemen ontstaan met het materiaal: schroeven en plaat kunnen breken, er uitgewerkt worden of aan de andere kant naar buiten komen en in het gewricht steken. Dit kan veroorzaakt worden door verkeerde plaatsing van het materiaal, maar ook door slechte kwaliteit van het bot. Een nieuwe operatie en eventueel vervanging van het heupgewricht door een total-hipprothese kan nodig zijn.
Medisch
Dikwijls hebben patiënten met een heupfractuur reeds vele chronische aandoeningen. De lichamelijke en geestelijke belasting door het ongeval, het letsel en de operatie verhogen de kans op bijkomende problemen, zoals psychische onrust (delier); (33% van alle gevallen), verergering van beginnende dementie, hartinfarct, beroerte, longontsteking, decubitus, trombose, longembolie, urineweginfectie.
Prognose
Een gebroken heup is voor de oude en kwetsbare mensen die erdoor getroffen worden een fors risico. Ruim een kwart van de 55-plussers die een heup breekt, overlijdt binnen het jaar, een risico dat toeneemt met de leeftijd. Nog eens een kwart is blijvend geïnvalideerd.[3] De prognose voor mensen die niet behandeld worden is bijzonder slecht.
Revalidatie
Veelal revalideren ouderen met een geopereerde heup in een verpleeghuis. Niet alleen is dit veel goedkoper wanneer ziekenhuisopname technisch niet nodig is, de kans op complicaties zoals infecties met voor antibiotica ongevoelige bacteriën is er ook kleiner.
Preventie
Valpreventie verdient een grote prioriteit in de zorg voor ouderen. Hierbij dient men te letten op schuivende kleedjes, gladde badkamervloeren, afstapjes en drempels, voldoende houvast, goede verlichting, obstakels en kabels op de grond enzovoorts.
Ouderen komen vaak vitamine D te kort. Zonlicht is belangrijk, maar veel ouderen hebben daar niet genoeg aan en officieel wordt nu aanbevolen om boven de 50 (vrouwen) dan wel 70 (mannen) jaar extra vitamine D te nemen. Ook calcium, dat bijvoorbeeld in melkproducten zit, is belangrijk voor een goede botkwaliteit.
Beweging (belast bewegen) houdt botten en spieren sterk. Bij aangetoonde osteoporose kan deze stopgezet worden door een aantal jaren te behandelen met bifosfonaat.
Zie ook
- Dit artikel of een eerdere versie ervan is een (gedeeltelijke) vertaling van het artikel Hip fracture op de Engelstalige Wikipedia, dat onder de licentie Creative Commons Naamsvermelding/Gelijk delen valt. Zie de bewerkingsgeschiedenis aldaar.
- ↑ a b c d CBO Behandeling van de proximale femurfractuur bij de oudere mens 2008, Geraadpleegd op 23-04-2015.
- ↑ UpToDate, Geraadpleegd op 23-04-2015. Gearchiveerd op 5 oktober 2015.
- ↑ a b Hoe vaak komen heupfracturen voor en hoeveel mensen sterven eraan?. Nationaal Kompas Volksgezondheid (15 december 2011). Geraadpleegd op 11 januari 2012.
- ↑ Verhaar JAN, van Mourik JBA. Orthopedie. 2e, herz dr ed. Houten: Bohn Stafleu Van Loghum; 2008. Orthopedie, Geraadpleegd op 24-04-2015. Gearchiveerd op 18 mei 2015.
