Osteosynthese
Neem het voorbehoud bij medische informatie in acht.
Raadpleeg bij gezondheidsklachten een arts.
Raadpleeg bij gezondheidsklachten een arts.
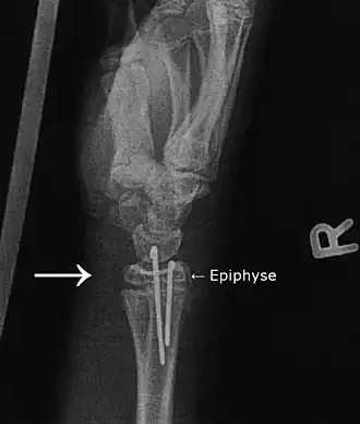
Osteosynthese is een techniek waarbij twee of meer botdelen aan elkaar worden vastgezet. Dit kan met behulp van pennen, schroeven en platen. Hiermee wordt getracht om de botdelen in de juiste positie ten opzichte van elkaar te plaatsen en met een zo klein mogelijke ruimte ertussen. De uiteindelijke genezing van de fractuur wordt niet versneld.[1]


Bronnen, noten en/of referenties
- ↑ Verhaar JAN, van Mourik JBA. Orthopedie. 2e, herz dr ed. Houten: Bohn Stafleu Van Loghum; 2008. Orthopedie, Geraadpleegd op 14-05-2015.