Geslachtsdifferentiatie bij mensen
Geslachtsdifferentiatie bij mensen is het proces waarbij zich van embryo tot volwassene in toenemende mate verschillen in de geslachtskenmerken vormen, via een pad van masculinisatie of feminisatie in meer of mindere mate. Hoewel voor de geslachtelijke voortplanting van de mens een vrouwelijke eicel en een mannelijke zaadcel nodig zijn, is de daaropvolgende differentiatie weliswaar dominant mannelijk of vrouwelijk, maar niet beperkt tot deze tweedeling.[1]:197[2] Problematisch is dat de aanname dat geslacht binair is, geen hypothese is waarvan de voorwaarden onderworpen kunnen worden aan proeven. Het paradigma gaat daarentegen al vooraf aan onderzoeken en theorieën.[3]
Geslachtsverschillen zijn die kenmerken die gemiddeld anders zijn bij vrouwen en mannen. Deze verschillen zijn niet van aard, maar in gradatie met overlappende distributies.[4]:3-4 Problematisch bij onderzoek naar deze verschillen is dat, anders dan bij veel andere onderwerpen, vrijwel iedereen er bepaalde opvattingen en stereotypes over heeft.[5]:7
Er wordt naar Frank Rattray Lillie wel onderscheid gemaakt tussen geslachtsbepaling en geslachtsdifferentiatie. De geslachtsbepaling beperkte Lillie tot het moment van bevruchting en wees hij toe aan de geslachtschromosomen. De geslachtsdifferentiatie wees hij in 1917 toe aan de geslachtshormonen. Beiden speelden dus een gedeeltelijke rol in de geslachtsontwikkeling.[6] De metabolische theorie van Patrick Geddes en Arthur Thomson domineerde tot dan het onderzoek naar geslachtsbepaling. Met de ontdekking van de geslachtshormonen verschoof vanaf de jaren 1910 de aandacht in de seksuologie naar het hormonale model. De chromosomale erfelijkheidstheorie viel hier buiten en was slechts een restproduct uit de cytologie en de erfelijkheidsleer. Het hormonale model kende echter enkele tekortkomingen en met het werk van Lillie leek dit op te lossen met een nieuw paradigma van het tweetrapsmodel van geslachtsbepaling door chromosomen en geslachtsdifferentiatie door hormonen.[1]:63-67
Chromosomaal geslacht

De embryogenese begint met de bevruchting. De zaadcel doorboort daarbij het celmembraan van de eicel. Na deze plasmogamie van de twee gameten of geslachtscellen vindt vrijwel onmiddellijk de karyogamie of versmelting van de kernen van beide gameten plaats.
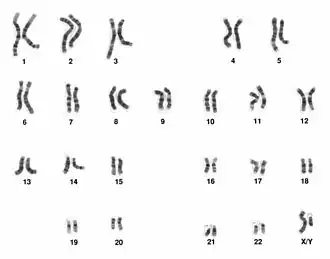
Elke gameet heeft meestal 23 chromosomen (n), waarvan een geslachtschromosoom. De twee haploïde gameten versmelten tot een diploïde zygote met meestal 23 chromosomenparen (2n). De geslachtsbepaling is bij de mens, net als bij de meeste zoogdieren, de XY-geslachtsbepaling. Mannen zijn heterogameet, met een paar van verschillende geslachtschromosomen, naast een X-chromosoom ook een Y-chromosoom, wat genoteerd wordt als het karyotype 46,XY. Vrouwen zijn homogameet en hebben een paar gelijke geslachtschromosomen beide X-chromosomen, wat genoteerd wordt als 46,XX. Door X-inactivatie wordt ongeveer de helft van de genen op de X-chromosomen uitgeschakeld die overblijven als barrlichaampje.

Terwijl autosomen, de 22 chromosomenparen buiten de geslachtschromosomen, een volledig homologe nucleotidesequentie hebben, delen het X- en Y-chromosoom in de pseudoautosomale regio's (PAR's) deels ook een sequentie. Deze PAR1 en PAR2 bevinden zich aan de uiteinden.
Het X-chromosoom werd in 1890 ontdekt door Hermann Henking, terwijl het Y-geslachtschromosoom in 1905 werd ontdekt door Nettie Stevens en Edmund Beecher Wilson, onafhankelijk van elkaar.[7] Het zou echter nog tot de jaren 1920 duren voordat de metabolische theorie van Patrick Geddes en Arthur Thomson verlaten werd en de invloed van de geslachtschromosomen breed werd geaccepteerd, al werd deze pas in de jaren 1950-60 beter begrepen. En hoewel Thomas Hunt Morgan, die samenwerkte met Stevens, het bestaan van de geslachtschromosomen uiteindelijk accepteerde, bleef hij bij zijn kritiek dat deze een binair geslachtsmodel impliceerden, wat afbreuk deed aan de rijke variatie in de natuur.[1]:26, 40, 49-50 In het vroege onderzoek werd de X-chromosoom vooral onderzocht in sperma, waarin de helft van de zaadcellen een X-chromosoom heeft en de andere helft een Y-chromosoom, respectievelijk een vrouw en een man voortbrengend. Doordat er geen onderscheid werd gemaakt tussen de gameet en de daaruit voortkomende mens, leidde dit tot een hyperbinair beeld van beide chromosomen. Daarbij kwam dat vooral de Drosophila werd gebruikt, waarbij het X-chromosoom geslachtsbepalend is. Het werk van Morgan met deze fruitvliegjes bevestigde de chromosomale erfelijkheidstheorie en daarmee de theorie van Mendeliaanse overerving.[8] Pas in 1959 werd ontdekt dat bij de mens het Y-chromosoom geslachtsbepalend is.[1]:104-105 Het was echter vooral het hormonale model dat vanaf de jaren 1920 domineerde.
Chromosomale variaties
Er zijn de nodige variaties op dit binaire geslachtsmodel, ook op chromosomaal niveau. Dit kan op verschillende momenten plaatsvinden. Zo kan een van de twee gameten meer of minder geslachtschromosomen hebben of functioneert een chromosoom niet volledig.
Na de bevruchting kan door genoommutaties (ploïdiemutaties) aneuploïdie optreden, waarbij tijdens de meiotische of mitotische deling cellen worden gevormd met meer of minder dan het aantal gebruikelijke 2n chromosomen. Bij mitotische deling treedt mozaïcisme op met verschillende karyotypes.
Zo kent het syndroom van Klinefelter meer dan 30 karyotypes, waarvan zo'n 80% uit 47,XXY bestaat. Deze klassieke vorm van Klinefelter is het gevolg van variaties tijdens de meiotische deling. Mitotische deling is verantwoordelijk voor het mozaïek 46,XY/47,XXY dat zo'n 10% vertegenwoordigt. De belangrijkste overige types zijn:[9]
- 46,XY/48,XXXY
- 46,XX/47,XXY
- 47,XXY/46,XX/46,XY
- 46,XY/45,XO/47,XXY
- 46,XX/47,XXY/48,XXXY
- 48,XXXY/49,XXXXY
- 47,X,Xi(Xq)Y,46,XX
Het syndroom van Turner is een vorm van aneuploïdie na variaties tijdens de meiotische deling met een X minder, monosomie X. Naast deze 45,XO zijn er ook mozaïeken na variaties tijdens de mitotische deling zoals 45,XO/46,XX of 45,XO/47,XXX.
Belangrijke variaties zijn:
- Monosomie:
- monosomie X (Turner)
- Trisomie:
- XXY-syndroom (Klinefelter)
- triple X-syndroom
- XYY-syndroom
- Tetrasomie:
- tetrasomie X
- XXYY-syndroom
- XXXY-syndroom
- XYYY-syndroom
- Pentasomie:
- pentasomie X
- XXXXY-syndroom
- XYYYY-syndroom
- Mozaïeken:
- 45,X/46,XY-syndroom
- Chimaera:
- 46,XX/46,XY-syndroom
Variaties zonder X-chromosoom overleven de zwangerschap niet.
Gonadaal geslacht

Tot een week of zes zijn de gonaden ongedifferentieerd, pas daarna begint het eerste zichtbare verschil te ontstaan. Hieraan ligt een complex genennetwerk ten grondslag waarbij vanuit de gonadale lijst zich de teelballen ontwikkelen, terwijl vorming van eierstokken twee weken later juist onderdrukt wordt, of andersom.
Aanvankelijk werd echter gedacht dat de aanwezigheid van het Y-chromosoom voldoende was. In 1990 werd ontdekt dat niet het gehele Y-chromosoom daarvoor verantwoordelijk was, maar dat dit een specifiek gen op dit chromosoom is, het SRY-gen.[10] Nadat de ontwikkeling van de teelballen in gang is gezet, induceert dit gen daarna het antimüllerseganghormoon dat de vorming van vrouwelijk geslachtsorganen uit de gang van Müller onderdrukt. Er zou dus sprake zijn van een actieve geslachtsbepaling om man te worden, terwijl vrouw-worden passief zou zijn, aangezien dit juist in gang zou worden gezet door de afwezigheid van deze stimuli. John Money noemde deze vermeende actieve geslachtsbepaling dan ook het adamprincipe.[11]
Dit leek de bevestiging van de zoektocht naar het geslachtsbepalende hoofd-regulatorgen die vanaf 1986 serieus in gang was gezet. Dit gen op het kleine en daarmee relatief makkelijk te onderzoeken Y-chromosoom zou de differentiatie van de gonadale lijst in gang zetten, waarna de verdere ontwikkeling gestuurd zou worden door de geslachtshormonen. In 1992 werd een SRY-gen-test zelfs onderdeel van de geslachtstest van het Internationaal Olympisch Comité om het geslacht van vrouwelijke atleten te bepalen. De rol van het gen paste binnen het in die tijd in de ontwikkelingsbiologie gangbare idee van hoofd-regulatorgenen die secundaire genen aansturen die vervolgens de genexpressie van weer andere genen in gang zetten.[1]:127-133
De allesbepalende rol van dit gen werd al direct in twijfel getrokken, aangezien dit model belangrijke zaken niet kon verklaren. Jenniffer Graves en Roger Short stelden dat door de grote nadruk op het vinden van een geslachtsbepalend hoofd-regulatorgen op het Y-chromosoom de invloed van genen op andere chromosomen onderbelicht was gebleven. Zij dachten dat dosiscompensatie op het X-chromosoom samenwerkt met het SRY-gen bij de geslachtsbepaling. Doordat het onduidelijk was welke genen geactiveerd werden door het SRY-gen, leek het ook aannemelijker dat er meerdere genen bij betrokken waren en dat er niet een enkel hoofd-regulatorgen is. Ook leek het SRY-gen niet zozeer activerend, maar eerder andere genen te onderdrukken.[12] Het SRY-gen bleek ook slecht geconserveerd te zijn tussen verschillende soorten zoogdieren, iets wat niet verwacht werd bij zo'n schijnbaar belangrijk gen. Halverwege de jaren 1990 werd dan ook het idee verlaten van een enkel hoofd-regulatorgen met een eenvoudige genenhiërarchie. Twee soorten woelmuizen bleken ook niet over een SRY-gen te beschikken en daarnaast werd ontdekt dat de genen DAX1, SOX9, DMRT1 en WNT4 het SRY-gen kunnen onderdrukken met geslachtsomkering tot gevolg, terwijl deze genen zich niet op het Y-chromosoom bevinden.[1]:133-136
SRY bleek ook een transcriptiesignaal te hebben en een variërende functie in verschillende soorten. Graves stelde dan ook dat door de nadruk op onderzoek van het Y-chromosoom – wat zij het dominante-Y-model noemde – mogelijk over het hoofd was gezien welke aanvankelijk homologe genen daarop gereduceerde versies waren van genen op het X-chromosoom. Ook werd gesteld dat de ontwikkeling van eierstokken de standaardinstelling was bij het ontbreken van SRY, maar ontbrak een onderbouwing hoe dit in gang wordt gezet en welke genen hierbij betrokken zijn.[13]
Het blijkt vooral de activatie van SOX9 door SRY te zijn wat de ontwikkeling tot teelballen in gang zet, waarmee het belang van SRY en daarmee de status belangrijk verminderd is.[14][15]
Zoals bij veel fenotypische kenmerken is er dan ook sprake van niet-Mendeliaanse overerving. Er is niet slechts een enkel gen betrokken bij de geslachtsontwikkeling, maar is er sprake van polygenie – meerdere genen die een enkel fenotypisch kenmerk vormen – en pleiotropie – een enkel gen dat meerdere fenotypische kenmerken beïnvloedt. Mutaties van deze genen kunnen in veel gevallen leiden tot gdeeltelijke of gehele geslachtsomkering. Tegelijkertijd betekent het grote aantal betrokken genen dat de effecten van een mutatie soms door een ander reactiepad kunnen worden gecompenseerd. Zo kan SOX8 de rol overnemen van SOX9 bij de vorming van de teelballen. Genen die betrokken zijn bij de vroege gonadale geslachtsontwikkeling zijn onder meer:[16]:96[15]
Gonadale variaties
Er zijn diverse gonadale variaties waardoor de geslachtsontwikkeling atypisch verloopt. Zo kan een mutatie van AMH en van AMHR2 het persisterende-gang-van-Müller-syndroom (PMDS) tot gevolg hebben waarbij bij een 46,XY karyotype wel masculinisatie optreedt, maar waarbij de gangen van Müller niet degenereren.
Het Sertoli-cell-only-syndroom (SCOS) kan het gevolg zijn van het syndroom van Klinefelter of 45,X/46,XY gemengde gonadale dysgenesie, maar de meerderheid heeft een gebruikelijk karyotype. Er zijn dan ook de nodige mutaties van genen die deze vorm van azoöspermie tot gevolg kunnen hebben.[19]
Gezien het complexe samenspel van chromosomen, genen en hormonen, zijn er verschillende variaties die meerdere oorzaken kunnen hebben. Genetische variaties kunnen resulteren in een ovotestis, waarbij zowel een eierstok als een teelbal wordt gevormd. Onder invloed van testosteron en AMH kan er bij een ovotesticulaire geslachtsontwikkelingsstoornis een verschil zijn in de inwendige geslachtsdelen aan de linkerzijde en die aan de rechterzijde. Ook de uitwendige geslachtsdelen kunnen zich dan anders ontwikkelen.
Een samenspel tussen genetische variatie en hormonen is onder meer te zien bij het androgeenongevoeligheidssyndroom, waarbij een mutatie van AR op locus Xq12 maakt dat mensen met 46,XY ongevoelig zijn voor androgenen. Ze ontwikkelen wel teelballen, maar verder geen mannelijke kenmerken en ook geen eierstokken. Bij vrouwen heeft de mutatie nauwelijks effecten. Het estrogeenongevoeligheidssyndroom is het gevolg van een mutatie van ESR1 op 6q25.1-25.2 en heeft effect op zowel mannen als vrouwen.
Hormonaal geslacht
Bij de hormonale effecten is onderscheid te maken tussen activationeel effect en organisationeel effect. Activationeel effect volgt uit circulerende hormonen en kan op enig moment optreden. Dit effect is omkeerbaar, zoals bij de vorming van spieren en vet. Organisationeel effect is onomkeerbaar en treedt alleen op tijdens zeer specifieke kritische periodes. Dit onderscheid omvat niet alle effecten, aangezien sommige circulerende hormonen ook onomkeerbare effecten kunnen hebben.[20]:69-70
Foetaal hormonaal geslacht

B. Bij aanwezigheid van een SRY-gen activeert deze SOX9 en differentiëren de gonaden van de teelballen die zowel het antimüllerseganghormoon (AMH) produceren om de gangen van Müller uit te schakelen als testosteron om de differentiatie van de gangen van Wolff te stimuleren
C. In afwezigheid van SRY differentiëren in de regel de eierstokken zich, degenereren de gangen van Wolff en ontwikkelen de gangen van Müller zich tot een eenvoudige zuilvormige epitheelbuis die zich differentieert tot de eileiders, baarmoeder, baarmoederhals en het bovenste deel van de vagina
De aanzet tot de ontwikkeling van de primaire geslachtskenmerken begint na 6 tot 8 weken. Alfred Jost ontdekte in 1947 dat het verwijderen van de gonaden tot gevolg had dat zich vrouwelijke geslachtsorganen vormden. Het daarna toedienen van testosteron leidde tot een gedeeltelijk mannelijk reactiepad.[21] Dat leidde tot de conclusie dat ongeacht de chromosomale samenstelling, de in- en uitwendige geslachtsorganen mannelijk vormen als zich eerder de testosteron producerende teelballen hebben gevormd en vrouwelijk bij afwezigheid daarvan.
De expressie van AMH wordt door SOX9 in de sertolicellen in gang gezet, terwijl ook genen als SF 1, WT1 en DAX1 en het follikelstimulerend hormoon een rol spelen bij de regulatie. Het antimüllerseganghormoon is de eerste stap in de mannelijke geslachtsdifferentiatie, maar speelt in een later stadium ook een rol bij de vrouwelijke folliculogenese.[15]
Puberaal hormonaal geslacht
Tijdens de puberteit voltrekken zich vele processen die moeten leiden tot geslachtsrijpheid. De puberteit wordt ingezet door het gonadotropine-vrijzettend hormoon (GnRH) dat de gonadotrope hormonen follikelstimulerend hormoon (FSH) en luteïniserend hormoon (LH) vrijmaakt. Deze maken dat de seksuele dimorfie toeneemt met de vorming van de secundaire geslachtskenmerken, waarbij de Tannerstadia onderscheiden worden.
Hormonale variaties
Het hormoonstelsel kent een continue variatie waarmee het lichaam reageert op wisselende omstandigheden. Daarnaast is de menstruatiecyclus een belangrijke hormonale variatie bij geslachtsrijpe vrouwen. Naast die momentele variaties zijn er enkele grote hormonale overgangen, waaronder naast de puberteit de menopauze en de penopauze. De menopause treedt vooral in door de afname van de eicelvoorraad, de penopauze door een dalend testosteronniveau.
Buiten deze gangbare wisselingen in de hormoonniveaus, zijn er ook minder vaak voorkomende variaties. Bij hypogonadisme is er een lage spiegel van geslachtshormonen. Bij hypoandrogenisme zijn er weinig androgenen, bij hypoestrogenisme weinig oestrogenen. Er zijn verschillende oorzaken en ook meerdere gevolgen, waaronder een effect op de productie van andere hormonen, maar ook op de geslachtsontwikkeling, zoals een micropenis, spermatogenese en ovulatie.
Het tegenovergestelde is hypergonadisme, waardoor de puberteit eerder in kan treden en mannelijke kenmerken versterkt kunnen worden, ook bij vrouwen.
Hersengeslacht
Een deel van de vele genen betrokken bij de vorming van de geslachtsvorming is ook van invloed bij de vorming van de hersenen, terwijl ook de hormoonspiegel daarbij van belang is. Deze verschillen kunnen resulteren in verschillen in gedrag en voorkeuren tussen mannen en vrouwen, maar gezien de complexiteit van de vele mogelijke genexpressies en hormonale niveaus en combinaties daarvan, kan via verschillende paden ook een vrijwel gelijk resultaat worden bereikt.[22] Zo lijkt empathie, een complex geheel van verschillende vermogens, bij mannen en vrouwen op andere manieren tot vergelijkbare resultaten te leiden.[23] Het is dan ook niet mogelijk om van een vrouwenbrein en een mannenbrein te spreken, of een continuüm daartussen, maar eerder van een mozaïek.[2]
Het best onderzochte organisationele effect is dat van de de perinatale hormonen op de seksueel-dimorfe kern van de area praeoptica medialis (SDN-POA) in de hypothalamus van zoogdieren. Deze is bij mannelijke dieren ongeveer twee keer zo groot en het testosteronniveau rond de geboorte is van grote invloed op de mannelijkheid of vrouwelijkheid van de SDN-POA.
Bij de mens werden in 1989 twee seksueel-dimorfe kernen gevonden, INAH-2 en INAH-3. De eerste is bij mannen tweemaal zo groot, de tweede 2,8 maal.[24] Naast dit volumetrische verschil, heeft een mannelijke INAH-3 ook meer neuronen.[25]
Er is weinig direct bewijs voor seksuele verschillen. De wijsvinger-ringvinger-index is een mogelijke kandidaat, waarbij de lengte van de wijsvinger (2D) ten opzichte van de ringvinger (4D) bij vrouwen gemiddeld langer is dan bij mannen. Dit zou het gevolg zijn van verschillen in blootstelling aan androgenen rond de geboorte, waarbij meer androgenen een kleinere 2D:4D-ratio tot gevolg zouden hebben. Dit lijkt door enkele aandoeningen bevestigd te worden. Bij het adrenogenitaal syndroom (congenital adrenal hyperplasia, CAH) is er een prenatale verhoogde blootstelling aan testosteron en vrouwen met CAH hebben een kleinere ratio, terwijl bij het androgeenongevoeligheidssyndroom mensen met 46,XY juist een grotere index hebben. Problematisch is echter dat het verschil maar klein is en een grote variatie kent, zodat het maar een matige indicator is.[20]:69-71
Variaties in hersengeslacht
Seksuele geaardheid
Seksuele geaardheid is een belangrijk onderdeel van de geslachtontwikkeling en onder druk van seksuele selectie is een groot deel van de mensen heteroseksueel. Ondanks de seksuele selectie is zo'n 2-6% van de mensen niet heteroseksueel. Daarbij is tussen mannen en vrouwen een verschil waar te nemen, waarbij niet-heteroseksuele vrouwen vaker biseksueel lijken te zijn en mannen eerder homoseksueel.[26] Er zijn verschillende evolutionaire hypotheses, zoals seksueel antagonistische selectie (sexually antagonistic gene hypothesis, SAGH) en familieselectie (kin selection hypothesis, KSH).[20]:78-79
Dit verklaart echter niet het achterliggende mechanisme, maar ook hier wordt een combinatie van genen, hormonen en in geringe mate sociale omgeving verwacht. Tweeling- en familieonderzoek wijst op een genetisch verband voor seksuele geaardheid en in de zoektocht hiernaar werd in 1993 Xq28 gevonden als locatie waar het kandidaatgen voor homoseksualiteit bij mannen zich zou kunnen bevinden.[27] Onderzoeken daarna hadden wisselend succes met het reproduceren van deze resultaten. Deze replicatiecrisis bleek zich daarna ook buiten de genetica af te spelen.[28] In 2005 werd het verband met Xq28 niet gevonden, maar leken 7q36, 8p12 en 10q26 kandidaten.[29] Een groot onderzoek in 2014 vond weer verband met Xq28 en chromosoom 8.[30] Een zeer grote genoombrede associatiestudie uit 2019 onder 477.522 individuen wees echter uit dat er niet een enkel gen is aan te wijzen, maar dat er vele van invloed zijn. Bij deze polygenie vonden zij wel op vijf loci SNP's die van grotere invloed leken, 12q21.31 en 7q31.2 voor homoseksualiteit bij beide geslachten, 15q21.3 en 11q12.1 alleen voor homoseksualiteit bij mannen en 4p14 alleen voor homoseksualiteit bij vrouwen.[31]
Afgezien van het wel of niet aanwezig zijn van een Y-chromosoom, meer specifiek het SRY- of SOX9-gen, kan een hormonale verklaring voor seksuele geaardheid volledig losstaan van de genetische invloed. Hormonale variaties kunnen een aantal zaken mogelijk verklaren, maar enkele belangrijke punten juist niet. De moeilijkheid daarbij is dat direct bewijs grotendeels ontbreekt en gezien de ethische bezwaren ook moeilijk te verkrijgen is.
Onderzoek naar testosteron en oestrogeen laat geen verschil zien in niveaus van circulerende hormonen tussen hetero- en homoseksuele mannen. Bij homoseksuele vrouwen lijkt een verhoogd testosteroniveau te zijn, maar onduidelijk is of dit een oorzaak of gevolg is en of het zelfs een rol speelt.
Anders lijkt het voor het organisationeel effect. Bij gedomesticeerde rammen heeft zo'n 7% alleen seksueel contact met andere rammen en hun SDN-POA is net zo groot als dat van de ooien, ongeveer de helft van dat van de andere rammen.[32]
Het mogelijke menselijke equivalent voor SDN-POA is INAH-3 en hierbij werd in 1991 gevonden dat het volume hiervan bij homoseksuele mannen meer overeenkwam met dat van heteroseksuele vrouwen dan met dat van heteroseksuele mannen.[33] Het aantal neuronen bleek in 2001 bij hetero- en homoseksuele mannen echter gelijk te zijn, bij homoseksuele mannen zou INAH-3 dus een grotere neuronendichtheid hebben.[25] Beide onderzoeken betroffen een kleine steekproef, maar belangrijker nog was dat er te veel uitzonderingen waren, zoals homoseksuele mannen met een grote INAH-3 en heteroseksuele mannen met een kleine INAH-3. Daarmee lijkt INAH-3 geen geaardheidbepalende factor.
Bij CAH zijn er relatief meer homoseksuele vrouwen. Voor de grote meerderheid geldt dit echter niet, zodat verhoogde prenatale androgene niveaus niet bepalend lijken te zijn voor de seksuele geaardheid.[34] Bij homoseksuele vrouwen lijkt de 2D:4D-ratio meer richting die van mannen te gaan, maar bij homoseksuele mannen geldt dit andersom niet. Ook hiervoor geldt echter dat de wijsvinger-ringvinger-index een slechte indicator is.[20]:63, 69-71
Bij jongere broers is er een geboortevolgorde-effect waardoor zij een grotere kans hebben homoseksueel te zijn als zij een oudere broer hebben. Elke bijkomende oudere broer verhoogt de kans op homoseksualiteit met ongeveer 33%.[35] Het effect betreft zo'n 15% tot mogelijk 29% van de homoseksuele mannen.[36][37] Er lijkt hierbij sprake van een immuunreactie waarbij de moeder antilichamen aanmaakt tegen NLGN4Y.[38] De kans blijft echter beperkt. Uitgaande van een kans van 2% om als eerste jongen homoseksueel te zijn, zou de volgende broer een kans hebben van 2,6%, de derde broer 3,5%, de vierde broer 4,6% en de vijfde broer 6%.[20]:79-80
Genderidentiteit
Ook de genderidentiteit wordt beïnvloed door een complex samenspel van chromosomen, genen en hormonen waar nog veel van onbekend is. In ieder geval lijkt een ontwikkelingspad van oestrogeenreceptoren op te treden doordat het testosteron dat door de teelballen wordt geproduceerd via aromatisering wordt omgezet in oestradiol, een oestrogeen. Tijdens een kritische periode, de perinatale periode rond de geboorte, heeft dit een organisationeel effect, het is blijvend. In deze periode waarin de testosteronproductie sterk toeneemt, zet dit oestradiol een masculinisatie van de neuro-ontwikkeling in gang. Het hierbijhorende gedrag komt vooral tot uiting na de activering van de voortplantingsas (hypothalamus-hypofyse-gonade-as, HPG-as) in de puberteit. De hormonale activiteit van de eierstokken in deze periode is in de regel rustig, wat een feminisatie tot gevolg heeft. Bij zo'n 0,5-1,4% van de natale mannen en 0,2-0,3% van de natale vrouwen verloopt dit proces dusdanig dat er sprake is van genderdysforie. Kandidaatgenen voor de geslachtsdifferentiatie in de hersenen zijn:[39]
| Relatie | Gen | Locus |
|---|---|---|
| Oestrogeen en oestrogeenreceptoren | AKR1C3 | 10p15.1 |
| CDK12 | 17q12 | |
| PIK3CA | 3q26.32 | |
| PPARGC1B | 5q32 | |
| Mediaal preoptisch gebied (mPOA) | SPHK1 | 17q25.1 |
| DNER | 2q36.3 | |
| CDH8 | 16q21 | |
| CTNNA2 | 2p12 | |
| DSCAML1 | 11q23.3 | |
| EGF | 4q25 | |
| EFHD2 | 1p36.21 | |
| SYNPO | 5q33.1 | |
| TNN | 1q25.1 | |
| Ventromediale kern (VMN) | RIMS3 | 1p34.2 |
| RIMS4 | 20q13.12 | |
| GRIN1 | 9q34.3 | |
| MAP4K3 | 2p22.1 | |
| Anteroventrale periventriculaire kern (AVPV) | BOK | 2q37.3 |
| Arcuate kern | KCNK3 | 2p23.3 |
Zie ook
Literatuur
- Richardson, S.S. (2013): Sex Itself. The Search for Male and Female in the Human Genome, The University of Chicago Press
Noten
- ↑ a b c d e f g Richardson (2013)
- ↑ a b Joel, D. (2020): 'Beyond the binary: Rethinking sex and the brain' in Neuroscience & Biobehavioral Reviews, Volume 122, p. 165-175
- ↑ The problem with the sex binary is that there has never been a hypothesis or a theory to test— it is an epistemological framework that runs behind, above, and beyond particular theories and research projects. Sanz, V. (2017): 'No Way Out of the Binary: a critical history of the scientific production of sex' in Signs, Volume 43, No. 1, p. 1-27
- ↑ Hines, M. (2005): Brain Gender, Oxford University Press
- ↑ Maccoby, E.E.; Jacklin, C.N. (1978): The Psychology of Sex Differences, Stanford University Press
- ↑ Lillie, F.R. (1917): 'Sex-Determination and Sex-Differentiation in Mammals' in Proceedings of the National Academy of Sciences of the United States of America, Volume 3, No. 7, p. 464-470
- ↑ Brush, S.G. (1978): 'Nettie M. Stevens and the Discovery of Sex Determination by Chromosomes' in Isis, Volume 69, No. 2, p. 163-172
- ↑ Morgan, T.H.; Sturtevant, A.H.; Muller, H.J.; Bridges, C.B. (1915): The Mechanism of Mendelian Heredity, Henry Holt
- ↑ Nistal, M. González-Peramato, P. (2013): 'Klinefelter's Syndrome' in Ježek, D. Atlas on the Human Testis. Normal Morphology and Pathology, Springer
- ↑ Sinclair, A.H.; Berta, P.; Palmer, M.S. et al. (1990): 'A gene from the human sex-determining region encodes a protein with homology to a conserved DNA-binding motif' in Nature, Volume 346, p. 240-244
- ↑ Fausto-Sterling, A. (1997): 'How to Build a Man' in Lancaster, R.N.; Leonardo, M. di The Gender/sexuality Reader. Culture, History, Political Economy, Psychology Press, p. 244-248
- ↑ Graves, J.A.M.; Short, R.V. (1990): 'Y or X—Which Determines Sex?' in Reproduction, Fertility, and Development, Volume 2, No. 6, p. 731
- ↑ Graves, J.A.M. (2000): 'Human Y Chromosome, Sex Determination, and Spermatogenesis—A Feminist View' in Biology of Reproduction, Volume 63, Issue 3, p. 667-676
- ↑ Hiramatsu, R.; Matoba, S.; Kanai-Azuma, M.; Tsunekawa, N.; Katoh-Fukui, Y.; Kurohmaru, M.; Morohashi, K.I.; Wilhelm, D.; Koopman, P.; Kanai, Y. (2009): 'A critical time window of Sry action in gonadal sex determination in mice' in Development, Volume 136, Issue 1, p. 129-138
- ↑ a b c Rey, R.; Josso, N.; Racine, C. (2020): 'Sexual Differentiation' in Endotext
- ↑ Skinner, M.K. (2018): Encyclopedia of Reproduction, Elsevier
- ↑ a b c d e f Hanley, N.A.; Hagan, D.M.; Clement-Jones, M.; Ball, S.G.; Strachan, T.; Salas-Cortés, L.; McElreavey, K.; Lindsay, S.; Robson, S.; Bullen, P.; Ostrer, H.; Wilson, D.I. (2000): 'SRY, SOX9, and DAX1 expression patterns during human sex determination and gonadal development' in Mechanisms of Development, Volume 91, Issue 1-2, p. 403-407
- ↑ Mamsen, L.S.; Ernst, E.H.; Borup, R.; Larsen, A.; Olesen, R.H.; Ernst, E.; Anderson, R.A.; Kristensen, S.G.; Andersen, C.Y. (2017): 'Temporal expression pattern of genes during the period of sex differentiation in human embryonic gonads' in Scientific Reports, Volume 7
- ↑ Gashti, N.G.; Gilani, M.A.S.; Abbasi, M. (2021): 'Sertoli cell-only syndrome: etiology and clinical management' in Journal of Assisted Reproduction and Genetics, №o. 3, p. 559-572
- ↑ a b c d e Bailey, J.M.; Vasey, P.L.; Diamond, L.M.; Breedlove, S.M.; Vilain, E.; Epprecht, M. (2016): 'Sexual Orientation, Controversy, and Science' in Psychological Science in the Public Interest, Volume 17, Issue 2, p. 45-101
- ↑ Jost, A. (1947): 'Recherches sur la différenciation sexuelle de l'embryon de lapin. III. Rôle des gonades foetales dans la différenciation sexuelle somatique' in Archives d'anatomie microscopique et de morphologie expérimentale, Volume 36, p. 271-315
- ↑ Marrocco, J.; McEwen, B.S. (2016): 'Sex in the brain: hormones and sex differences' in Dialogues in Clinical Neuroscience, Volume 18, Issue 4, p. 373-383
- ↑ Derntl, B.; Finkelmeyer, A.; Eickhoff, S.; Kellermann, T.; Falkenberg, D.I.; Schneider , F.; Habel, U. (2010): 'Multidimensional assessment of empathic abilities: Neural correlates and gender differences' in Psychoneuroendocrinology, Volume 35, Issue 1, p. 67-82
- ↑ Allen, L.S.; Hines, M.; Shryne, J.E.; Gorski, R.A. (1989): 'Two Sexually Dimorphic Cell Groups in the Human Brain' in The Journal of Neuroscience, Volume 9, Issue 2, p. 497-506
- ↑ a b Byne, W.; Tobet, S.; Mattiace, L.A.; Lasco, M.S.; Kemether, E.; Edgar, M.A.; Morgello, S.; Buchsbaum, M.S.; Jones, L.B. (2001): 'The Interstitial Nuclei of the Human Anterior Hypothalamus: An Investigation of Variation with Sex, Sexual Orientation, and HIV Status' in Hormones and Behavior, Volume 40, Issue 2, p. 86-92
- ↑ Ngun, T.C.; Ghahramani, N.; Sánchez, F.J.; Bocklandt, S. Vilain, E. (2011): 'The genetics of sex differences in brain and behavior' in Frontiers in Neuroendocrinology, Volume 32, Issue 2, p. 227-246
- ↑ Hamer, D.H.; Hu, S.; Magnuson, V.L.; Hu, N.; Pattatucci, A.M.L. (1993): 'A Linkage Between DNA Markers on the X Chromosome and Male Sexual Orientation' in Science, Volume 261, No. 5119, p. 321-327
- ↑ Ioannidis, J.P.A. (2005) 'Why Most Published Research Findings Are False' in PLoS Medicine, Volume 2, Issue 8, e124
- ↑ Mustanski, B.S.; DuPree, M.G.; Nievergelt, C.M.; Bocklandt, S.; Schork, N.J.; Hamer, D.H. (2005): 'A genomewide scan of male sexual orientation' in Human Genetics, Volume 116, p. 272-278
- ↑ Sanders, A.R.; Beecham, G.W.; Guo, S.; Dawood, K.; Rieger, G.; Badner, J.A.; Gershon, E.S.; Krishnappa, R.S.; Kolundzija, A.B.; Duan, J.; MGS Collaboration; Gejman, P.V.; Bailey, J.M.; Martin, E.R. (2017): 'Genome-Wide Association Study of Male Sexual Orientation' in Scientific Reports, Volume 7
- ↑ Ganna, A.; Verweij, K.J.H.; Nivard, M.G.; Maier, R.; Wedow, R.; Busch, A.S.; Abdellaoui, A.; Guo, S.; Sathirapongsasuti, J.F.; 23andMe Research Team; Lichtenstein, P.; Lundström, S.; Långström, N.; Auton, A.; Harris, K.M.; Beecham, G.W.; Martin, E.R.; Sanders, A.R.; Perry, J.R.B.; Neale, B.M.; Zietsch, B.P. (2019): 'Large-scale GWAS reveals insights into the genetic architecture of same-sex sexual behavior' in Science, Volume 365, No. 6456
- ↑ Roselli, C.E.; Larkin, K.; Resko, J.A.; Stellflug, J.N.; Stormshak, F. (2004): 'The Volume of a Sexually Dimorphic Nucleus in the Ovine Medial Preoptic Area/Anterior Hypothalamus Varies with Sexual Partner Preference' in Endocrinology, Volume 145, Issue 2, p. 478-483
- ↑ LeVay, S. (1991): 'A Difference in Hypothalamic Structure Between Heterosexual and Homosexual Men' in Science, Volume 253, Issue 5023, p. 1034-1037
- ↑ Meyer-Bahlburg, H.F.L.; Dolezal, C.; Baker, S.W.; New, M.I. (2008): 'Sexual Orientation in Women with Classical or Non-classical Congenital Adrenal Hyperplasia as a Function of Degree of Prenatal Androgen Excess' in Archives of Sexual Behavior, Volume 37, p. 85-99
- ↑ Blanchard, R.; Bogaert, A.F. (1996): 'Homosexuality in men and number of older brothers' in American Journal of Psychiatry, Volume 153, Issue 1, p. 27-31
- ↑ Cantor, J.M.; Blanchard, R.; Paterson, A.D.; Bogaert, A.F. (2002): 'How Many Gay Men Owe Their Sexual Orientation to Fraternal Birth Order?' in Archives of Sexual Behavior, Volume 31, Issue 1, p. 63-71
- ↑ Blanchard, R. (2004): 'Quantitative and theoretical analyses of the relation between older brothers and homosexuality in men' in Journal of Theoretical Biology, Volume 230, Issue 2, p. 173-187
- ↑ Bogaert, A.F.; Skorska, M.N.; Wang, C.; Blanchard, R. (2017): 'Male homosexuality and maternal immune responsivity to the Y-linked protein NLGN4Y' in Proceedings of the National Academy of Sciences, Volume 115, Issue 2, p. 302-306
- ↑ Theisen, J.G.; Sundaram, V.; Filchak, M.S.; Chorich, L.P.; Sullivan, M.E.; Knight, J.; Kim, H.G.; Layman, L.C. (2019): 'The Use of Whole Exome Sequencing in a Cohort of Transgender Individuals to Identify Rare Genetic Variants' in Scientific Reports, Volume 9