Chorionvilli


De chorionvilli (chorionvlokken, enkelvoud: chorionvillus) groeien uit het chorion en dringen het endometrium of baarmoederslijmvlies binnen, waardoor voedingsstoffen uit het bloed van de moeder overgedragen worden naar het bloed van het embryo en later naar de foetus. De chorionvilli bestaan in het begin alleen uit de trofoblast, zijn dan nog klein en hebben geen bloedvaten. Bij het groter worden gaan ze zich vertakken en groeit het mesoderm met de navelstrengaders in de chorionvilli.
Het bloed stroomt naar de villi door de twee navelstrengslagaders (arteriae umbilicales), die zich vertakken in chorionslagaders en de chorionvilli ingaan als cotyledonslagaders. Deze twee slagaders vervoeren de afvalstoffen van het embryo naar de placenta. Na circulering door de capillairen van de villi, stroomt het bloed terug naar het embryo door de navelstrengader (vena umbilicalis). De navelstrengader voorziet het embryo van voedsel en zuurstof. Tot ongeveer het einde van de tweede maand van de zwangerschap bedekken de villi het gehele chorion en hebben ze bijna dezelfde vorm. Daarna ontwikkelen ze zich ongelijk.
Structuur
De chorionvilli kunnen ook worden geclassificeerd op basis van hun relaties:
- Drijvende villi zweven vrij in de tussenliggende ruimte. Ze vertonen een dubbellaags epitheel bestaande uit cytotrofoblasten met een overlappend syncytium (syncytiotrofoblast). De syncytiotrofoblast staat in direct contact met het moederlijk bloed dat het placenta-oppervlak bereikt.
- Verankerende (stam)chorionvilli stabiliseren de mechanische integriteit van het grensvlak tussen placenta en moeder.
Ontwikkeling
Het chorion ondergaat een snelle proliferatie en vormt talloze chorionvilli, die de baarmoederdecidua binnendringen en afbreken en tegelijkertijd daaruit voedingsstoffen opnemen voor de groei van het embryo. Ze ondergaan verschillende fasen, afhankelijk van hun samenstelling.
| Stadium | Beschrijving | Draagperiode zwangerschap | Inhoud |
|---|---|---|---|
| Primair | De chorionvilli zijn aanvankelijk klein en hebben geen bloedvaten | 13–15 dagen | alleen trofoblast[2] |
| Secondair | De chorionvilli worden groter en vertakken zich, terwijl het mesoderm erin groeit. | 16–21 dagen | trofoblast en mesoderm[2] |
| Tertiair | Takken van de navelstrengslagader en navelstrengader groeien in het mesoderm en vormen in de chorionvilli zo de bloedvaten | 17–22 dagen | trofoblast, mesoderm en bloedvaten[2] |
Tot ongeveer het einde van de tweede maand van de zwangerschap bedekken de chorionvilli het hele chorion en zijn ze bijna uniform van grootte, maar daarna ontwikkelen ze zich ongelijkmatig.
Anatomie
Het grootste deel van de chorionvilli bestaat uit bindweefsel waarin bloedvaten zitten. De meeste cellen in de bindweefselkern van de chorionvilli zijn fibroblasten. Macrofagen die bekend staan als Hofbauer-cellen zijn ook aanwezig. (Hofbauer-cellen zijn eosinofiele histiocyten[3] met granulen en vacuolen.)
Klinische betekenis
Chorionvilli zijn een rijke bron van stamcellen. Biocell Center, een biotechbedrijf geleid door Giuseppe Simoni, bestudeert en test dit soort stamcellen. Chorionstamcellen zijn, net als vruchtwaterstamcellen, onomstreden multipotente stamcellen.[4][5][6]
-
Chorionvilli met vruchtzak bij een 3 - 4 weken oud (na de bevruchting) embryo -
Chorionvilli en decidua -
Chorionvilli -
Primaire chorionvilli -
Tertiaire chorionvilli -
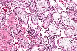
Chorionvilli (H&E-kleuring) -
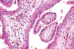
Chorionvilli zeer sterke vergroting. (H&E-kleuring) -
Doorsnede van de foetus -
Dwarsdoorsnede van een chorionvillus -
Menselijk embryo van ongeveer 28 dagen oud met een dooierzak
Zie ook
- ↑ Robertson, W. B. (1976). Uteroplacental vasculature. Journal of Clinical Pathology 29: 9–17. PMID 1085779. PMC 1347148. DOI: 10.1136/jcp.29.Suppl_10.9.
- ↑ a b c Larsen, William J. : Human embryology. Sherman, Lawrence S.; Potter, S. Steven; Scott, William J. 3. ed.
- ↑ Venes, Donald (2006). Taber's cyclopedic medical dictionary, Ed. 20, illustrated in full color.. Davis Co., Philadelphia [Pa.]. ISBN 0-8036-1208-7.
- ↑ "European Biotech Company Biocell Center Opens First U.S. Facility for Preservation of Amniotic Stem Cells in Medford, Massachusetts | Reuters", 22 oktober 2009. Geraadpleegd op 11 januari 2010.[dode link]
- ↑ "Europe's Biocell Center opens Medford office – Daily Business Update – The Boston Globe", 22 oktober 2009. Geraadpleegd op 11 januari 2010.
- ↑ The Ticker - BostonHerald.com. Gearchiveerd op 21 september 2012. Geraadpleegd op 11 januari 2010.