Thecacel
De thecacel is een buitenste cel van de ovariële follikels die voortkomen uit het stroma van de eierstok en een omhulsel vormen rond het folliculaire epitheel dat bestaat uit granulosacellen. Deze schede, genaamd theca folliculi, wordt gescheiden van het folliculaire epitheel door een dun basaal membraan.
Thecacellen zijn een groep endocriene cellen in de eierstokken rond het ovariële follikel. Ze hebben veel verschillende functies, waaronder het bevorderen van folliculogenese en het rekruteren van een enkel follikel tijdens de ovulatie.[1] Thecacellen en granulosacellen vormen samen de stroma van de eierstok.
Androgeensynthese
Thecacellen zijn verantwoordelijk voor de synthese van androgenen, zorgen voor signaaltransductie tussen granulosacellen en oöcyten tijdens de ontwikkeling door de vorming van een vasculair systeem, zorgen voor voedingsstoffen en bieden structuur en ondersteuning aan het follikel bij het ouder worden.[1] Thecacellen zijn verantwoordelijk voor de productie van androsteendion en indirect voor de productie van 17β-estradiol, door de naburige granulosacellen te voorzien van androsteendion dat met behulp van het enzym aromatase kan worden gebruikt als substraat voor dit type estradiol.[2] FSH zet de granulosacellen aan om aromatase te synthetiseren, een enzym dat de androgenen, gemaakt door de theca interna, omzet in estradiol.[3]
Signaleringscascade
Het gonadotropine-vrijzettend hormoon (GnRH) is een hormoon dat wordt gemaakt in de nucleus praeopticus, een regio in de hypothalamus. Het is verantwoordelijk voor het vrijmaken van de gonadotrope hormonen follikelstimulerend hormoon (FSH) en luteïniserend hormoon (LH) door de hypofysevoorkwab. Als het GnRH in een lage frequentie wordt uitgescheiden dan stimuleert het vooral de FSH-productie en als het GnRH in een hoge frequentie wordt uitgescheiden stimuleert het vooral de LH-productie. Het luteïniserend hormoon dient om thecacellen direct te stimuleren.
In de eierstokken binden transmembraan G-proteïnegekoppelde receptoren (GPCR's) zich aan LH in de bloedbaan. Vervolgens wordt het signaal door transductie van cAMP en proteïnekinase A (PKA) naar het binnenste van de thecacellen overgebracht. De thecacellen worden vervolgens gestimuleerd om testosteron te produceren, dat op een paracriene manier naar naburige granulosacellen wordt gestuurd voor omzetting in estradiol.[4]

Folliculogenese
Bij geslachtsrijpe vrouwen bestaat de primordiale follikel uit een oöcyt omgeven door een laag nauw verbonden granulosacellen. In de vroege stadia van de ovariële cyclus vormt de zich ontwikkelende follikel een laag bindweefsel en bijbehorende bloedvaten. Deze bedekking wordt de theca genoemd.
Naarmate de ontwikkeling van de secundaire follikel vordert, prolifereren de granulosacellen en vormen het meerlaagse stratum granulosum. Gedurende een periode van maanden scheiden de granulosacellen en de thecacellen van de tertiaire follikel antralvloeistof af (een mengsel van hormonen, enzymen en anticoagulantia) voor het voeden van de rijpende eicel.
In tertiaire follikels differentieert de enkellaagse theca in een theca internamet theca interstitia en theca externa.
Theca interna
De theca interna is een laag met kleine bloedvaten (arteriole) en produceert geslachtshormonen. Door de ontwikkeling van bloedcapillairen in de theca kunnen gonadotrope hormonen (FSH en LH) de groei van het centrum van de pre-tertiaire follikel beïnvloeden. Gonadotrofinen gaan van de theca, via de gap junctions, naar de granulosacellen, een laag die geen bloedvaten heeft en de enige is die receptoren voor FSH heeft.
De theca interna-cellen krijgen een veelhoekige vorm en heeft een cytoplasma met vacuolen en een laag met bloedvaten.[5] De ultrastructuur vertoont de typische steroïdogene kenmerken: mitochondria met plooivormige cristae, glad endoplasmatisch reticulum en overvloedige lipideblaasjes.[6]
De theca interna, die receptoren voor LH bevat, reageert op de stimulus door androgenen te synthetiseren die naar de granulosalaag gaan en daar worden gearomatiseerd tot oestrogenen.[7]
Er wordt een met vloeistof gevulde ruimte gevormd in de granulosalaag, het folliculaire antrum, die het midden van de follikel in beslag neemt en de eicel naar de rand verplaatst, die de tertiaire follikel wordt genoemd.
Theca interstitia
Theca-interstitiële cellen (TIC's) en granulosacellen zijn belangrijke componenten van ovariële follikels die de follikelontwikkeling en hormoonsecretie ondersteunen. Theca-interstitiële cellen behoren tot de theca interna en scheiden grote hoeveelheden testosteron en minimale hoeveelheden estradiol uit, terwijl het omgekeerde werd gevonden bij granulosacellen.[8]
Theca externa
De theca externa is samengesteld uit myofibroblasten, dicht bindweefsel, grote vacuolen, lymfevaten, zenuwvezels en grotere bloedvaten.[9] Myofibroblasten zijn contractiele webachtige spoelvormige cellen die herkenbaar zijn aan hun expressie van ACTA2 (actin alpha 2) in hun cytoplasmatische stressvezel.[10] Stressvezels zijn contractiele bundels van actinefilamenten die worden aangetroffen in cellen geen spiercellen zijnde.
Stoornissen
Hyperactiviteit van thecacellen veroorzaakt hyperandrogenisme en hypoactiviteit wat leidt tot een tekort aan oestrogeen.[11] Granulosaceltumoren, hoewel zeldzaam (minder dan 5% van de eierstokkankers), kunnen zowel bestaan uit granulosacellen als thecacellen.[12] Thecoma's zijn goedaardige proliferaties van thecacellen die zich kunnen uiten in hormonale disfunctie.[13] Thecacellen vormen (samen met granulosacellen) het corpus luteum tijdens de rijping van de eicellen. Thecacellen gaan alleen samen met zich ontwikkelende ovariële follikels.[11] Ze zijn de belangrijkste oorzaak van endocriene onvruchtbaarheid, omdat hyperactiviteit of hypoactiviteit van de thecacellen tot vruchtbaarheidsproblemen kan leiden.
Fotogalerij
-
Schema van de rijping van een follikel
-
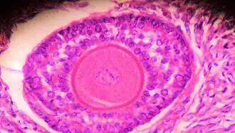
Een menselijke primair follikel. De ronde oöcyt die in het midden rood gekleurd is, is omgeven door een laag granulosacellen, die worden omhuld door het basaal membraan en thecacellen. De vergroting bedraagt ongeveer 1000 keer. (H&E-kleuring) -
a: primaire follikel, b: pre-secundaire follikel, c: vroeg-secundaire follikel, d: secundaire follikel, e: rijpe (tertiaire) follikel. TC: thecacellen, GC: granulosacellen, Oo: eicel, CO: cumulus oophorus. -
Secundair follikel -
Follikel -
Tertiaire follikel in de eierstok van de buidelrat. -
Steroïdogenese in theca- en granulosacellen -
witte pijlpunten: theca-interstitiële cellen
- ↑ a b Young, J. M., McNeilly, A. S. (2010). Theca: the forgotten cell of the ovarian follicle. Reproduction 140 (4): 489–504. PMID 20628033. DOI: 10.1530/REP-10-0094.
- ↑ Hall, John E. (John Edward), 1946- (20 mei 2015). Guyton and Hall textbook of medical physiology, 13th, Philadelphia, PA, pp. 1042. ISBN 9781455770052.
- ↑ Hall, John E. (John Edward), 1946- (20 mei 2015). Guyton and Hall textbook of medical physiology, 13th, Philadelphia, PA, pp. 1044. ISBN 9781455770052.
- ↑ Medical physiology, Boron, Walter F., Boulpaep, Emile L., Third, Philadelphia, PA (29 maart 2016). ISBN 978-1-4557-3328-6.
- ↑ Barrios DeTomasi J.; Aguirre Crespo A.; Aguirre Crespo F. (2012). «Desarrollo folicular en el ovario». Rev Sal Quintana Roo 5. Universidad de Quintana Roo. pp. 12-18. Consultado el 5 de enero de 2022.
- ↑ Melmed; Ronald Koenig; Clifford Rosen; Richard Auchus; Allison Goldfine (2020). «17:Physiology and Pathology of the female reproductive axis». Williams Textbook of Endocrinology (en inglés). 1: Section V:Sexual Development and Function (14a. edición). Elsevier Health Sciences. pp. 586-587.
- ↑ «Tecas foliculares». Universidad de Chile. Consultado el 5 de enero de 2022. fechaacceso= 5 de enero de 2022
- ↑ Yong Tian, Wei Shen, Zhiwen Lai, Liangyan Shi, Shuhong Yang, Ting Ding, Shixuan Wang, Aiyue Luo. Isolation and identification of ovarian theca-interstitial cells and granulose cells of immature female mice, 09 January 2015, https://doi.org/10.1002/cbin.10426
- ↑ Melmed, Shlomo, Koenig, Ronald, Rosen, Clifford, Auchus, Richard, Goldfine, Allison (2020). Williams Textbook of Endocrinology, 14th.. Elsevier Health Sciences, "17:Physiology and Pathology of the female reproductive axis", 586–587. ISBN 978-8131262160.
- ↑ (en) Tai, Yifan, Woods, Emma L., Dally, Jordanna, Kong, Deling, Steadman, Robert (Augustus 2021). Myofibroblasten: functie, vorming en reikwijdte van moleculaire therapieën voor huidfibrose. Biomoleculen 11 (8): 1095. PMID 34439762. PMC 8391320. DOI: 10.3390/biom11081095.
- ↑ a b Magoffin, Denis A. (2005). Ovarian theca cell. The International Journal of Biochemistry & Cell Biology 37 (7): 1344–9. PMID 15833266. DOI: 10.1016/j.biocel.2005.01.016.
- ↑ Kottarathil, Vijaykumar Dehannathparambil, Antony, Michelle Aline, Nair, Indu R., Pavithran, Keechilat (2013). Recent Advances in Granulosa Cell Tumor Ovary: A Review. Indian Journal of Surgical Oncology 4 (1): 37–47. PMID 24426698. PMC 3578540. DOI: 10.1007/s13193-012-0201-z.
- ↑ Burandt, Eike, Young, Robert H. (August 2014). Thecoma of the ovary: a report of 70 cases emphasizing aspects of its histopathology different from those often portrayed and its differential diagnosis. The American Journal of Surgical Pathology 38 (8): 1023–1032. ISSN: 1532-0979. PMID 25025365. DOI: 10.1097/PAS.0000000000000252.