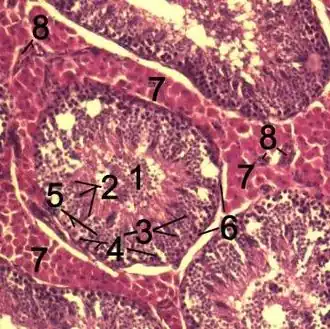
Sertolicel

1. basaal membraan
2. spermatogonia
3. primaire (1e orde) spermatocyte
4. secundaire (2e orde) spermatocyte
5. ontwikkeling van spermatide
6. rijpe spermatide
7. Sertolicel
8. zonula occludens (bloed-testisbarrière)


1. lumen van tubuli semeniferis
2.spermatiden
3. spermatocyten
4. spermatogonia
5. Sertolicel
6. myofibroblasten
7. Leydigcellen
8. haarvaten
Een sertolicel[1] of voedstercel is een cel in de teelbal die de rijping van zaadcellen begeleidt. Deze cellen worden gestimuleerd door testosteron afkomstig van de cellen van Leydig en follikelstimulerend hormoon (FSH) dat door de hypofyse wordt gevormd. De cellen van Sertoli produceren ook het hormoon inhibine, dat zorgt voor de afremming van de testosteronproductie door de cellen van Leydig. Zo creëren beide cellen een systeem van homeostase.
De sertolicellen vormen de binnenlaag van de rechte zaadbuisjes ( tubuli seminiferi recti) in de teelballen. De cellen van Leydig bevinden zich in het bindweefsel tussen de lobuli (lobben) in de teelbal.
De sertolicellen ontstaan nadat het SRY-gen de upregulatie in gang zet van SOX9. De genexpressie hiervan leidt tot celdifferentiatie in de tot dan ongedifferentieerde gonadale richel. Hieruit vormen zich de zaadbuisjes. De gonade vormt zich zo tot de testis.
Bij de mens en vele andere dieren delen de sertolicellen niet meer tijdens de vruchtbare periode. Ze zijn buitengewoon resistent tegen veel schadelijke invloeden als infectie, ondervoeding en röntgenstraling en overleven deze invloeden veel beter dan de cellen van de spermatogenetische reeks. Ze vormen de bloed-testisbarrière.
Functies
Antimüllerseganghormoon
De productie van antimüllerseganghormoon (AMH) door de sertolicellen speelt een belangrijke rol tijdens de embryonale ontwikkeling van een jongen door de vorming van vrouwelijk geslachtsorganen, de baarmoeder in het bijzonder, uit de gang van Müller te onderdrukken.
Steun, bescherming en voeding
De sertolicellen zorgen voor steun, bescherming en voeding van de zich ontwikkelende zaadcellen. De spermatogenetische cellen (cellen betrokken bij de productie van zaadcellen) liggen ingebed in het cytoplasma van sertolicellen. De zich ontwikkelende zaadcellen komen hierdoor niet meer in contact met het interstitium (ruimte met vloeistof tussen cellen) en kunnen alleen voedingsstoffen uit het cytoplasma van de sertolicellen krijgen en er afvalstoffen aan afgeven.
Afbraak van restlichaampjes
Tijdens de spermiogenese fagocyteren de sertolicellen de cytoplasmadelen van zich differentiërende spermatiden. Ze worden vervolgens in hun lysosomaal apparaat verteerd.
Secretie
De sertolicellen scheiden een vloeistof af naar de zaadkanaaltjes. Deze vloeistof speelt een rol bij het verdere transport van zaadcellen. Daarnaast scheiden cellen van Sertoli onder invloed van FSH en/of testosteron bepaalde eiwitten uit die een rol spelen bij de spermatogenese. Een voorbeeld is het androgeenbindend proteïne (ABP).
Bloed-testisbarrière
De sertolicellen zijn ook verantwoordelijk voor het in stand houden van de bloed-testisbarrière. Er is namelijk een groot verschil in samenstelling van het bloed en dat van de vloeistof in de zaadkanaaltjes. De laag cellen van Sertoli, de onderlinge zonula occludensbarrière in het bijzonder, zorgt ervoor dat dit verschil in stand wordt gehouden. Het doel hiervan is om eventuele toxische stoffen en cellen betrokken bij de immunologische afweer bij de zaadcellen in de latere stadia van hun ontwikkeling vandaan te houden en eventuele beschadigingen voorkomen.
Productie van inhibine
De laatste functie van sertolicellen is de productie van inhibine en activine. Het hormoon inhibine onderdrukt de vorming en uitscheiding van FSH. Activine remt de werking van inhibine.
![]() |
![]() |
- ↑ Everdingen, J.J.E. van, Eerenbeemt, A.M.M. van den (2012). Pinkhof Geneeskundig woordenboek (12de druk). Houten: Bohn Stafleu Van Loghum

._Diagram_illustrating_classical_protein_complexes_at_the_typical_junction_of_the_blood-testis_barrier_in_the_seminiferous_epithelium.jpg)