Cerebrovasculair accident
Raadpleeg bij gezondheidsklachten een arts.
| Cerebrovasculair accident | ||||
|---|---|---|---|---|
| ||||
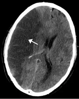
Hersendeel met infarct in het ACM-stroomgebied
| ||||
| Synoniemen | ||||
| Nederlands | Beroerte | |||
| Coderingen | ||||
| ICD-11 | ||||
| OMIM | 601367 | |||
| DiseasesDB | 2247 | |||
| MedlinePlus | 000726 | |||
| eMedicine | neuro/9 emerg/558 emerg/557 pmr/187 | |||
| MeSH | D020521 | |||
| ||||
Een cerebrovasculair accident of cerebrovasculaire aandoening (CVA), in het Nederlands beroerte, attaque en apoplexie, is een acute medische aandoening waarbij er een plotselinge verstoring van de doorbloeding van de hersenen plaatsvindt. Er zijn twee hoofdtypen CVA: herseninfarct en hersenbloeding. Bij het herseninfarct wordt een bloedvat afgesloten en stopt de doorbloeding. Bij een hersenbloeding gaat een bloedvat kapot. Het uiteindelijke resultaat van beide typen is dat de hersenen niet goed meer werken.[1]
Een CVA kan worden gekenmerkt door verschillende symptomen, waaronder gevoelsverlies en/of verlamming in één lichaamshelft, moeite met het begrijpen of spraak, een draaierig gevoel en halfzijdig zichtverlies.[2][3] De symptomen treden vaak kort na de beroerte op. Als deze korter dan één à twee uur duren, spreekt men van een transient ischemic attack (TIA) of mini-beroerte.[3]
De belangrijkste risicofactor voor CVA is hoge bloeddruk.[4] Andere factoren die de kans op een CVA vergroten, zijn roken, obesitas, een te hoog cholesterolgehalte, diabetes mellitus, eerdere TIA's en boezemfibrilleren.[2][4]
Naar schatting zijn er in Nederland 174.000 mensen die leven met de gevolgen van een CVA.[5] CVA is een belangrijke doodsoorzaak en tevens een belangrijke oorzaak van invaliditeit.
Indeling

CVA's kunnen worden ingedeeld in twee categorieën: herseninfarct en hersenbloeding.[6] Een herseninfarct ontstaat als de bloedtoevoer naar de hersenen wordt onderbroken. Een hersenbloeding kan ontstaan doordat een bloedvat scheurt of door een misvorming. Zo'n 87 procent van de beroertes zijn herseninfarcten en de rest zijn hersenbloedingen. Bij een herseninfarct kunnen er in het aangedane gebied bloedingen ontstaan. Dit wordt "hemorragische transformatie" genoemd. Het is niet bekend hoeveel hersenbloedingen beginnen als herseninfarct.[2]
Definitie
In de jaren 1970 werd beroerte door de Wereldgezondheidsorganisatie gedefinieerd als een "neurologisch beperking door een cerebrovasculaire oorzaak die langer dan 24 uur duurt, of binnen 24 uur door overlijden wordt onderbroken".[7] De tijdspanne van 24 uur is willekeurig gekozen. Deze wordt nog gebruikt om een beroerte te onderscheiden van een TIA.
CVA-varianten
Een TIA is een minder ernstige vorm van beroerte, waarbij de symptomen binnen 24 uur volledig verdwijnen.[2]
De term RIND (Reversible Ischemic Neurological Deficit) wordt gebruikt voor een aandoeningen die tussen een TIA en een CVA inzit. De symptomen van een RIND zouden volledig verdwijnen, maar hier langer dan 24 uur over doen. De term is echter nooit veelvuldig gebruikt geweest. Dat komt omdat onderzoek aangetoond heeft dat er wel degelijk blijvende neurologische schade is na een RIND. Elke RIND dient dus als een CVA beschouwd te worden.[8]
Herseninfarcten
Bij een herseninfarct neemt de bloedtoevoer naar een deel van de hersenen af. Hierdoor raken de hersenfuncties in het getroffen gebied verstoord. Er zijn vier redenen waarom een ischemische beroerte kan plaatsvinden:
- Trombose: Een blokkade van een bloedvat door een plaatselijk gevormde bloedprop;
- Embolie: Een blokkade door een bloedprop uit een ander deel van het lichaam;[2]
- Systemische hypoperfusie: Algemene afname van de bloedtoevoer, bijvoorbeeld bij shock)[9] of
- Sinustrombose.[10]
Een beroerte zonder duidelijke oorzaak wordt "cryptogeen" (door onbekende oorzaak) genoemd. Dertig tot veertig procent van alle herseninfarcten zijn cryptogeen.[2][11]
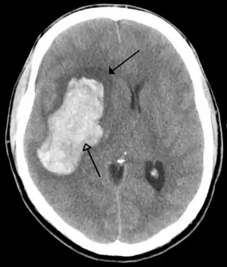
Hersenbloedingen

Hersenbloedingen kennen twee hoofdtypen:[12][13]
- Intracerebrale bloeding, waarbij de bloeding in de hersenen ontstaat, bijvoorbeeld als een ader knapt. Er kan onderscheid gemaakt worden tussen een intraparenchymale bloeding (bloeding in het functionele hersenweefsel) of intraventriculaire bloeding (bloeding in het ventrikelstelsel).
- Subarachnoïdale bloeding, waarbij de bloeding buiten de hersenen, maar wel binnen de schedel ontstaat. Dit vindt plaats tussen het spinnenwebvlies en het zachte hersenvlies. Dit laatste vlies ligt meteen tegen de hersencellen aan en is het zachtste van de drie hersenvliezen.
Deze twee typen hersenbloedingen zijn tevens vormen van intracraniale bloeding. Hierbij vindt de bloeding plaats in het "cranium", het deel van de schedel waar de hersenen in liggen. De andere vormen van intracraniale bloeding, zoals epiduraal hematoom (bloeding tussen de schedel en het harde hersenvlies, het buitenste hersenvlies) en subduraal hematoom (bloeding in de ruimte onder het harde hersenvlies), worden niet ingedeeld onder de hersenbloedingen.[14]
Verschijnselen
De verschijnselen die kunnen optreden en in hoeverre ze zich weer herstellen verschillen sterk. Dit is afhankelijk van het type CVA, het hersengedeelte dat beschadigd is en de grootte van het aangedane gebied. Een aantal van de mogelijke verschijnselen is:
- verlamming van één helft van het lichaam (bij CVA in de linkerhersenhelft → verlamming in rechterlichaamshelft en andersom). Zie ook hemiplegie;
- spasticiteit en spasme van één helft van het lichaam of een been of arm;
- uitval van een van de gezichtsvelden. Ook dubbelzien (diplopie) komt voor;
- geheugenstoornissen, concentratiestoornissen en gebrek aan initiatief/interesse;
- epileptische aanvallen van het gehele lichaam of een gedeelte van het lichaam;
- afasie: spraak- en begripsproblemen door aantasting van het taalgevoel;
- dysartrie: spraakproblemen door uitval van de mond- en keelspieren;
- dysfagie: moeilijkheden met kauwen/slikken;
- gedrag en emotie kunnen veranderen, bijvoorbeeld het optreden van agressie en seksuele ongeremdheid;
- duizeligheid en verstoord evenwicht;
- incontinentie, moeite met het ophouden van urine en feces;
- hoofdpijn die zeer hevig kan zijn;
- migraine: een verhoogde frequentie of ernst van migraineaanvallen kan een voorbode zijn voor een CVA.
Bij een CVA in de taaldominante hersenhelft (bij ) kan afasie optreden. Dit is bij 95% van de bevolking is dat de linkerhersenhelft. Hierbij kan iemand niet meer praten of woorden niet begrijpen. Men kan moeite krijgen met het herkennen van dingen en ook met alledaagse handelingen.
Bij een CVA in de niet-taaldominante hersenhelft kunnen er emotionele veranderingen optreden. Dit is bij 95% de mensen de rechterhersenhelft. Verschijnselen hierbij zijn overschatting van het eigen kunnen, impulsief gedrag en een verstoord inzicht in de eigen emoties. Ook ontstaan er vaak moeilijkheden met het inschatten van ruimte en tijd.
Herkennen van een CVA
Omdat menselijke hersenen slechts een korte tijd zonder zuurstof kunnen is het belangrijk om snel te handelen als iemand een CVA heeft. Daarom is het goed om de waarschuwingstekens zelf te kennen, zodat de hulpdiensten snel gewaarschuwd kunnen worden als een CVA optreedt.
Zelfs als de waarschuwingstekens slechts enkele minuten duren is het zinvol om meteen medische hulp te zoeken. Een zesde van de patiënten met een CVA heeft in de voorafgaande dagen tot weken een 'waarschuwing' gehad in de vorm van een TIA, waarbij de verschijnselen weer weggingen. Als de oorzaak van een TIA tijdig opgespoord wordt kan de kans op een CVA in veel gevallen worden verminderd.
De FAST-test
De FAST-test (Face-Arm-Speech-Time-test) is een snelle test om een CVA bij iemand te herkennen. Hieronder staat aangegeven hoe deze test wordt uitgevoerd:
- Face (gezicht): vraag aan de persoon om te lachen of de tanden te laten zien. Als de mond scheef staat of een mondhoek naar beneden hangt, kan dit duiden op een CVA.
- Arm (arm): vraag aan de persoon om beide armen op te tillen en voor zich uit te strekken met de binnenzijde van de hand naar boven. Als een arm wegzakt of rondzwalkt kan dit duiden op een CVA. Vraag aan de persoon om de ogen te sluiten, dit voorkomt dat men visueel gaat corrigeren als een arm begint weg te zakken.
- Speech (spraak): vraag aan de persoon of aan omstanders of er verandering in het spreken is opgetreden. Als de persoon onduidelijk begon te spreken of niet meer uit de woorden kon komen, kan dit duiden op een CVA. Ook kan de persoon gevraagd worden tot tien te tellen. Als hij of zij getallen herhaalt, verkeerd uitspreekt of bij een bepaald getal blijft steken, kan dit het gevolg zijn van een CVA.
- Time (tijd): Probeer van de persoon zelf - indien deze nog kan spreken - of van omstanders te weten te komen hoelang deze verschijnselen zich al voordoen. Dit is van belang voor de hulpdiensten in verband met de verdere behandeling van het CVA.
Hoe eerder een CVA behandeld wordt, hoe groter de kans is op herstel.
Risicofactoren
Beïnvloedbare risicofactoren
- hypertensie (hoge bloeddruk);
- diabetes mellitus (suikerziekte);
- specifieke hartritmestoornissen: boezemfibrilleren en sick sinus syndrome;
- bepaalde hartaandoeningen zoals hartkleplijden en endocarditis;
- stoornissen in de cholesterolhuishouding: een verhoogd LDL-cholesterol is een risicofactor voor een herseninfarct.[15] Dit lijkt juist risicoverlagend te werken voor een hersenbloeding.[16] Hoge HDL-cholesterolspiegels lijken het risico op een hersenbloeding te vergroten.[16]
- atheromatose ('aderverkalking');
- roken (nog gevaarlijker in combinatie met de anticonceptiepil);
- hyperhomocysteïnemie;
- aandoeningen van de perifere bloedvaten, zoals etalagebenen (indirect beïnvloedbaar door bestrijding risicofactoren);
- eerder doorgemaakt CVA of TIA (indirect beïnvloedbaar door bestrijding risicofactoren);
- een te lage inname van magnesium. Met een verhoging van de magnesiuminname met 100 mg per dag daalt de kans op een beroerte met acht procent.[17]
- in een grootschalig epidemiologisch onderzoek bleek de consumptie van rood vlees ook geassocieerd met een verhoogd risico op CVA bij mannen.[18] Eerder bleek een dergelijk verband ook al bij vrouwen.[19]
Onbeïnvloedbare risicofactoren
- leeftijd: hoe ouder men wordt hoe hoger de kans op een CVA;
- geslacht: mannen hebben meer kans op een CVA dan vrouwen;
- erfelijkheid.
Geslachtsspecifieke risicofactoren[20]
- Hypertensieve ziekten tijdens de zwangerschap verhogen het risico op een herseninfarct;
- Late menopause en zwangerschapshypertensie verhogen het risico op een hersenbloeding;
- Ovariëctomie, hypertensieve ziekten tijdens de zwangerschap, vroeggeboorte en doodgeboorte verhogen het risico op een cerebrovasculair accident;
- Hysterectomie is mogelijk beschermend voor het krijgen van een cerebrovasculair accident;
- Androgeendeprivatietherapie verhoogt het risico op een herseninfarct;
- Androgeendeprivatietherapie en erectiestoornissen verhogen het risico op een cerebrovasculair accident.
Ontstaan van cerebrovasculaire accidenten
Herseninfarcten
Herseninfarcten ontstaan door een plotseling verminderde bloedtoevoer naar een gedeelte van de hersenen. Dit kan op verschillende manieren, onder andere:
- kleine bloedvaatjes in de hersenen zelf kunnen verstopt raken. Dit duidt men aan met de Engelse benaming small vessel disease. Een van de oorzaken hiervan is beschadiging van deze bloedvaatjes door langdurige hoge bloeddruk. Een andere oorzaak is aderverkalking van de kleine vaten (microatheroma).
- in een van de grotere aanvoerende bloedvaten, zoals een halsslagader, kan als gevolg van aderverkalking of dissectie een stolsel ontstaan en de bloedtoevoer afsluiten.
- in het hart kan zich een stolsel vormen. Dit kan als gevolg van boezemfladderen of een ontsteking van het hart. Vervolgens wordt dit door de bloedstroom naar de hersenen wordt vervoerd en daar een afsluiting veroorzaakt.
- door een plotselinge lage bloeddruk of door ernstige vernauwing van een slagader kan zuurstofrijk bloed onvoldoende bij bepaalde hersengebieden komen. Dit gaat over de hersengebieden die aan het verste uiteinde van een bloedvat liggen. Dit veroorzaakt een zogenoemd waterscheidingsinfarct.
- bij sinustrombose kan de bloeddoorstroming van de hersenen zodanig belemmerd raken dat een herseninfarct ontstaat. Dit noemt men veneuze infarcering. Het principe is hetzelfde als bij een trombosebeen.
- door een verhoogde stollingsneiging of een ontsteking van de bloedvaten kunnen bloedvaten verstopt raken.
Hersenbloedingen
Hersenbloedingen ontstaan als een bloedvat in de hersenen openbarst. Als dit gebeurt krijgen de hersencellen die normaal door dit bloedvat van bloed worden voorzien geen voedingsstoffen en zuurstof meer en sterven af. Het bloed dat uit het bloedvat vloeit duwt het normale hersenweefsel weg. Door de samendrukking van hersenweefsel dat hierdoor kan optreden treedt verdere beschadiging op. Belangrijke oorzaken van hersenbloedingen zijn hoge bloeddruk, afwijkingen van de bloedvaten zoals aneurysmata en AVM's en hersentumoren.
Subarachnoïdale bloedingen, subdurale bloedingen en epidurale bloedingen worden doorgaans niet tot de cerebrovasculaire accidenten gerekend.
Depressie na CVA
Ongeveer dertig tot veertig procent van de mensen die een CVA of TIA hebben doorgemaakt wordt in de periode nadien depressief. De belangrijkste beïnvloedende factor is de totale duur en ernst van de impact die de CVA heeft op het dagelijkse leven van de patiënt. De prevalentie van deze depressieve episodes kent een piek tussen drie en zes maanden na de CVA, maar ze kunnen ook jaren later optreden. Het optreden van een depressie na een beroerte heeft een hogere sterfte en een grotere cognitieve achteruitgang tot gevolg.
Er wordt vooruitgang geboekt in de herkenning en behandeling van deze depressies. Verder onderzoek is echter noodzakelijk om het ontstaansmechanisme te identificeren. Verschillende klinische studies hebben aangetoond dat antidepressiva vaak werkzaam zijn in het verbeteren van de depressieve klachten. Er is sneller herstel en minder sterfte mogelijk.
Langdurige suppletie met foliumzuur, vitamine B6 en vitamine B12 blijkt de kans op depressie na een CVA of TIA met de helft te kunnen verlagen.[21]
De verschijnselen van een depressie kunnen ook optreden door overbelasting. Deze overbelasting kan komen doordat de persoon met een doorgemaakt CVA te snel weer terug wil keren op zijn of haar oude niveau van functioneren. Langdurige overbelasting bij een toch al overbelast brein kan klachten/verschijnselen tot gevolg hebben die lijken op depressieklachten.
Externe link
- Wat is een beroerte? Belgian Stroke Council.
Dit artikel of een eerdere versie ervan is een (gedeeltelijke) vertaling van het artikel Stroke op de Engelstalige Wikipedia, dat onder de licentie Creative Commons Naamsvermelding/Gelijk delen valt. Zie de bewerkingsgeschiedenis aldaar.
Voetnoten:
- ↑ What Is a Stroke?. www.nhlbi.nih.gov/ (26 maart 2014).
- ↑ a b c d e f (en) Donnan GA, Fisher M, Macleod M, Davis SM (mei 2008). Stroke. Lancet 371 (9624): 1612–23. PMID 18468545. DOI: 10.1016/S0140-6736(08)60694-7.
- ↑ a b What Are the Signs and Symptoms of a Stroke?. http://www.nhlbi.nih.gov (26 maart 2014).
- ↑ a b Who Is at Risk for a Stroke?. www.nhlbi.nih.gov (26 maart 2014).
- ↑ Hersenstichting, Cijfers over patiënten - Hersenstichting. Gearchiveerd op 13 januari 2017. Geraadpleegd op 1 april 2017.
- ↑ Brain Basics: Preventing Stroke. U.S. National Institute of Neurological Disorders and Stroke.
- ↑ Wereldgezondheidsorganisatie (1978). Cerebrovascular Disorders (Offset Publications). Wereldgezondheidsorganisatie, Genève. ISBN 92-4-170043-2.
- ↑ Mosso M, Baumgartner RW (1994). Transient ischemic attacks and prolonged reversible ischemic neurologic deficit. Diagnosis, differential diagnosis and treatment. PMID 10776056. Gearchiveerd van origineel op 19 augustus 2018.
- ↑ Shuaib A, Hachinski VC (september 1991). Mechanisms and management of stroke in the elderly. CMAJ 145 (5): 433–43. PMID 1878825. PMC 1335826.
- ↑ Stam J (april 2005). Thrombosis of the cerebral veins and sinuses. The New England Journal of Medicine 352 (17): 1791–8. PMID 15858188. DOI: 10.1056/NEJMra042354.
- ↑ Guercini F, Acciarresi M, Agnelli G, Paciaroni M (april 2008). Cryptogenic stroke: time to determine aetiology. Journal of Thrombosis and Haemostasis 6 (4): 549–54. PMID 18208534. DOI: 10.1111/j.1538-7836.2008.02903.x.
- ↑ Auteur onbekend, Hemorrhagic stroke. U.S. National Stroke Association. Gearchiveerd op 3 januari 2023.
- ↑ Auteur onbekend, Types of Stroke. www.cdc.gov. U.S. Centers of Disease Control and Prevention (6 december 2013). Gearchiveerd op 28 maart 2023.
- ↑ Salman RAS, Labovitz DL, Stapf C (24 juli 2009). Spontaneous intracerebral haemorrhage. BMJ 339 (jul24 1): b2586–b2586. PMID 19633038. DOI: 10.1136/bmj.b2586.
- ↑ Law MR, Wald NJ, Rudnicka AR (2003). Quantifying effect of statins on low density lipoprotein cholesterol, ischaemic heart disease, and stroke: systematic review and meta-analysis. British Medical Journal 326 (7404): 1423. PMID 12829554. Gearchiveerd van origineel op 18 februari 2023.
- ↑ a b (en) Wang X, Dong Y, Qi X, Huang C, Hou L. Cholesterol levels and risk of hemorrhagic stroke: a systematic review and meta-analysis. Stroke. 2013 Jul;44(7):1833–9. DOI:10.1161/STROKEAHA.113.001326. PMID 23704101.
- ↑ (en) Larsson SC, Orsini N, Wolk A Dietary magnesium intake and risk of stroke: a meta-analysis of prospective studies. American Journal of Clinical Nutrition. 2012 Feb;95(2):362–6. DOI:10.3945/ajcn.111.022376. PMID 22205313. Dit artikel is door de uitgever gratis toegankelijk gemaakt: ajcn.nutrition.org. Uit deze systematische overzichtsartikel en dosis-respons-meta-analyse van zeven prospectieve studies uit de periode 1998-2011 met ruim 240.000 deelnemende personen blijkt dat een goede magnesiumstatus de kans op een cerebrovasculair accident aanzienlijk verkleint.
- ↑ (en) Larsson SC, Virtamo J, Wolk A. Red meat consumption and risk of stroke in Swedish men. American Journal of Clinical Nutrition. 2011 Aug;94(2):417–21. DOI:10.3945/ajcn.111.015115. PMID 21653800. Dit artikel is door de uitgever gratis toegankelijk gemaakt: ajcn.nutrition.org
- ↑ (en) Larsson SC, Virtamo J, Wolk A. Red meat consumption and risk of stroke in Swedish women. Stroke. 2011 Feb;42(2):324–9. DOI:10.1161/STROKEAHA.110.596510. PMID 21164139. Dit artikel is door de uitgever gratis toegankelijk gemaakt: stroke.ahajournals.org
- ↑ Michiel H. F. Poorthuis, Annemijn M. Algra, Ale Algra, L. Jaap Kappelle, Catharina J. M. Klijn (1 januari 2017). Female- and Male-Specific Risk Factors for Stroke: A Systematic Review and Meta-analysis. JAMA neurology 74 (1): 75–81. ISSN: 2168-6157. PMID 27842176. DOI: 10.1001/jamaneurol.2016.3482. Gearchiveerd van origineel op 26 maart 2017.
- ↑ (en) Almeida OP, Marsh K, Alfonso H, et al. "B-vitamins reduce the long-term risk of depression after stroke: The VITATOPS-DEP trial." (2010) Ann Neurol, jrg. 68, nr. 4, pp. 503-510. PMID 20976769. In dit Australisch onderzoek slikten 270 mensen gedurende gemiddeld zeven jaar dagelijks een supplement met 2000 µg foliumzuur, 25 mg vitamine B6 en 500 µg vitamine B12 of een placebo.
