Intraventriculaire bloeding
| Intraventriculaire bloeding | ||||
|---|---|---|---|---|
| ||||
| Synoniemen | ||||
| Nederlands | Intraventriculair hematoom | |||
| Coderingen | ||||
| ICD-11 | ||||
| DiseasesDB | 6906 | |||
| eMedicine | ped/2595 | |||
| MeSH | D002543 | |||
| ||||
Intraventriculaire bloeding of intraventriculair hematoom (IVH) is een bloeding in het ventrikelstelsel in de hersenen, waar het hersenvocht wordt aangemaakt. Een intraventriculaire bloeding kan ontstaan door trauma of door een beroerte.
Zo'n 30% van alle intraventriculaire bloedingen zijn primair en beperkt tot het ventrikelstelsel. Deze bloedingen worden doorgaans veroorzaakt door beschadiging van het ventrikelstelsel, aneurismen, misvormde bloedvaten of tumoren, met name in het plexus choroideus.[2] Het grootste deel van de intraventriculaire bloedingen – de overige 70% – zijn secundair en ontstaan doordat een intraparenchymale of subarachnoïdale bloeding uitgroeit naar het ventrikelstelsel.[2] Intraventriculaire bloeding vindt plaats in ongeveer een derde van de gevallen van middelzwaar tot ernstig traumatisch hersenletsel.[3] De bloeding komt dus zelden voor zonder dat er daarnaast complicaties zijn. De prognose is hierdoor in de meeste gevallen slecht.[4][5]
Kenmerken
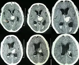
De symptomen van een IVH komen sterk overeen met die van andere hersenbloedingen. Plotselinge hoofdpijn, misselijkheid, braken en een verandering in bewustzijn komen vaak voor.[6] De diagnose kan worden gesteld op basis van CT-scans, door te kijken of er ergens bloed in het ventrikelstelsel zit.
De prognose is doorgaans slecht, vooral wanneer een hersenbloeding ontstaat door hoge bloeddruk. Als hydrocefalus optreedt gaat de prognose verder achteruit.[1] Het kan leiden tot een sterkte toename in de druk binnen de schedel en kan er zelfs voor zorgen dat de hersenen uit de schedel worden gedrukt, door het foramen magnum.[1] Ook wanneer IVH op zichzelf staat, kan het leiden tot ernstige beperkingen of overlijden.
Kinderen
Dit type hersenbloeding komt vooral veel voor bij baby's, met name bij te vroeg geboren baby's of baby's met een zeer laag geboortegewicht.[7] De oorzaak van IVH bij te vroeg geboren baby's is zelden trauma, maar wordt toegeschreven aan de veranderingen in de doorbloeding van kwetsbare celstructuren die aanwezig zijn in het ontwikkelende brein. Aangezien het circulatiesysteem nog niet volledig is ontwikkeld, kan er een gebrek aan bloedtoevoer ontstaan. Door een gebrek aan bloedtoevoer, sterven cellen af en worden de wanden van de bloedvaten kwetsbaar en kunnen deze scheuren. Dit leidt tot bloeding. De meeste intraventriculaire bloedingen vinden plaats in de eerste 72 uur na de geboorte.[7] Het risico wordt groter wanneer er een beademingssysteem moet worden gebruikt bij te vroeg geboren baby's.[8]
Er zijn vier niveaus van IVH bij baby's, gebaseerd op de grootte van de bloeding:
- Graad I: de bloeding is beperkt tot de germinale matrix,
- Graad II: de bloeding zit ook in de ventrikels, maar deze zijn niet vergroot,
- Graad III: de ventrikels zijn uitgezet door het opgehoopte bloed,
- Graad IV: de bloeding verspreidt zich tot het hersenweefsel rondom de ventrikels.
Graad I en II komen het meest voor en hierbij treden meestal geen verdere complicaties op. Graad III en IV zijn het ernstigst en kunnen leiden tot ernstige hersenschade en beperkingen, waar de patiënt de rest van zijn of haar leven last van heeft.
Dit artikel of een eerdere versie ervan is een (gedeeltelijke) vertaling van het artikel Intraventricular hemorrhage op de Engelstalige Wikipedia, dat onder de licentie Creative Commons Naamsvermelding/Gelijk delen valt. Zie de bewerkingsgeschiedenis aldaar.
Voetnoten:
- ↑ a b c (en) Yadav Y, Mukerji G, Shenoy R, Basoor A, Jain G, Nelson A (2007). Endoscopic management of hypertensive intraventricular haemorrhage with obstructive hydrocephalus. BMC Neurology 7: 1. PMID 17204141. PMC 1780056. DOI: 10.1186/1471-2377-7-1.
- ↑ a b (en) Hinson H, Hanley D, Ziai W (maart 2010). Management of Intraventricular Hemorrhage. Current Neurology and Neuroscience Reports 10 (2): 73–82. PMID 20425231. PMC 3138489. DOI: 10.1007/s11910-010-0086-6.
- ↑ (en) Barkley JM, Morales D, Hayman LA, Diaz-Marchan PJ (2006). Brain Injury Medicine: Principles and Practice. Demos Medical Publishing, "Static neuroimaging in the evaluation of TBI", 140–43. ISBN 1-888799-93-5.
- ↑ Dawodu S, Traumatic Brain Injury: Definition, Epidemiology, Pathophysiology (2007).
- ↑ Vinas FC & Pilitsis J, Penetrating Head Trauma (2006).
- ↑ Gates P, Barnett H, Vinters H, Simonsen R, Siu K (1986). Primary Intraventricular Hemorrhage in Adults. Srroke 17 (5): 872–877. DOI: 10.1161/01.STR.17.5.872.
- ↑ a b Annibale DJ & Hill J, Periventricular Hemorrhage-Intraventricular Hemorrhage (2006).
- ↑ (en) Jobe AH (2004). Post-conceptional age and IVH in ECMO patients. The Journal of Pediatrics 145 (2): A2. DOI: 10.1016/j.jpeds.2004.07.010.
![CT-scans waarop een bloeding te zien is in het derde en beide zijventrikels en hydrocefalus[1]](./Intracerebral_hemorrhage.jpg)