Epidurale bloeding
Raadpleeg bij gezondheidsklachten een arts.

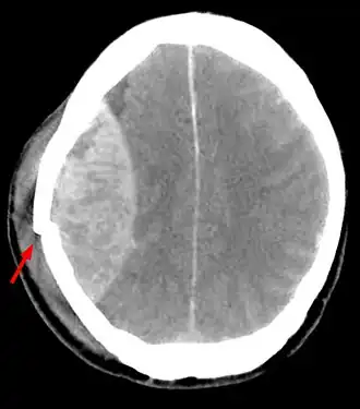
Een epidurale bloeding is een inwendige bloeding uit een hersenslagader, meestal de arteria meningea media (85-95%), die meestal ontstaat na hoofdletsel, soms met een fractuur van het slaap- of wandbeen. Bij deze bloeding hoopt zich bloed op in de ruimte tussen het schedelbot en de dura mater, het buitenste hersenvlies.
Een epidurale bloeding kenmerkt zich doordat na een hoofdtrauma, mogelijk vergezeld gaand van een tijdelijk bewustzijnsverlies, er na een helder interval opnieuw bewustzijnsverlies optreedt. Voorafgaande verschijnselen zijn hoofdpijn, braken, verwardheid, insulten en hemiparese. Onbehandeld kan een epidurale bloeding tot de dood leiden.
Diagnostiek vindt plaats via een CT-scan van het hoofd. Soms kan ook op een gewone röntgenfoto van de schedel een fractuurlijn in het gebied van de arteria meningea media gezien worden. De behandeling is neurochirurgisch, waarbij een luik gezaagd wordt in de schedel op de plaats van de bloeding (craniotomie), waardoor het stolsel verwijderd en de oorzaak van de bloeding verholpen kan worden.
Een verdenking op een epidurale bloeding is een medisch spoedgeval dat zo snel mogelijk door een neuroloog of neurochirurg moet worden beoordeeld.