Sinustrombose
Raadpleeg bij gezondheidsklachten een arts.

Cerebrale veneuze (sinus)trombose (CVT, CVST), ook wel sinustrombose genoemd, is een zeldzame vorm van trombose waarbij bloedstolsels optreden in de aders van de hersenen, waardoor het bloed niet goed kan worden teruggevoerd naar het hart. CVT komt vooral voor bij jonge mensen. In Nederland zijn er jaarlijks ca. 250 nieuwe gevallen.
Symptomen
Hoofdpijn is het meest voorkomende symptoom bij CVT en is aanwezig bij 90% van de patiënten. Een minderheid van de patiënten presenteert zich met plotseling optredende hoofdpijn. Misselijkheid en overgeven kunnen eveneens voorkomen. Neurologische uitvalsverschijnselen, zoals bijvoorbeeld een verlamming van één zijde van het lichaam, onduidelijk spreken, een verlamming in het gezicht (bijvoorbeeld een scheve mond) of verstoringen van het gezichtsvermogen komen bij ongeveer 50% van de patiënten voor. In sommige gevallen kan het gepaard gaan met een verlaging van het bewustzijn. Epileptische aanvallen treden op bij 40% van de patiënten.
Oorzaken
Een directe oorzaak of risicofactor wordt bij ongeveer 85% van de patiënten met CVT vastgesteld. De meest voorkomende oorzaken zijn het gebruik van de anticonceptiepil (waarbij overgewicht een extra risico vormt), zwangerschap, een infectie in de regio van hoofd of hals, een inflammatoire darmziekte, kanker en (erfelijke) afwijkingen in het stollingssysteem.
Corona-vaccins
In maart 2021 werd bekend dat twee COVID-19-vaccins, AZD1222 van Oxford–AstraZeneca en Ad26.COV2.S van Janssen Pharmaceutica/Johnson & Johnson, een mogelijke trigger zijn, vooral bij jonge vrouwen. Er zijn 222 en respectievelijk 6 meldingen op 34 en 7 miljoen vaccinaties. Beide vaccins worden gemaakt op basis van een verzwakt verkoudheidsvirus. Mogelijk zou een interactie van het DNA van het verkoudheidsvirus (negatief geladen) met het plaatjesfactor 4 (PF4) eiwit, een positief geladen Immunoglobuline (antistof), onverwachte bloedstolsels veroorzaken, met verlaagde bloedplaatjes als gevolg. Deze nevenwerkingen werden nog niet vastgesteld bij andere vaccins zoals het Pfizer–BioNTech COVID-19 vaccin en het Moderna COVID-19 vaccin, die worden aangemaakt op basis van Messenger-RNA (mRNA).[1]
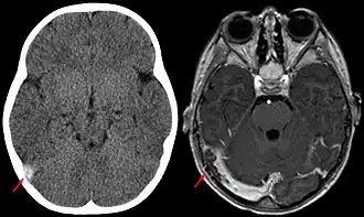
Diagnose
Door de variatie in de klinische presentatie is het soms moeilijk om de diagnose te stellen. De diagnose CVT kan worden vastgesteld met behulp van een scan van het hoofd; een CT-venografie, of MRI hersenen in combinatie met een MR-venografie. Slechts in zeldzame gevallen is een conventionele angiografie noodzakelijk. Bij de helft van de patiënten met CVT is er op de scan een veneus herseninfarct zichtbaar, wat vaak bestaat uit een combinatie van oedeem en kleinere hersenbloedingen.
Behandeling
De standaard behandeling bestaat uit de toediening van heparine, een bloedverdunnend medicijn. In ernstige gevallen kan een endovasculaire behandeling worden overwogen, maar de effectiviteit van deze behandeling is nog niet aangetoond. Bij dreigende inklemming ten gevolge van een veneus (hemorragisch) herseninfarct kan een hemicraniectomie levensreddend zijn, een operatie waarbij een deel van de schedel wordt verwijderd. Meestal wordt er na enkele dagen gestart met een antistollingsmiddel in tabletvorm, meestal acenocoumarol. Bij CVT zonder duidelijke aanleiding is de duur van het gebruik van het antistollingsmiddel doorgaans 6 tot 12 maanden.
Prognose
De prognose van CVT is in de afgelopen decennia verbeterd door onder andere een betere herkenning van de ziekte, verbeterde beeldvormingstechnieken en effectievere behandelingen. Toch is CVT nog steeds een ernstige aandoening, met een sterfte van 5 tot 10%. Op de lange termijn is de prognose van CVT in het algemeen goed, ongeveer 80% van de CVT patiënten herstelt zonder invaliditeit. Desondanks houden veel patiënten wel chronische klachten, zoals hoofdpijn, verminderde concentratie en stemmingsstoornissen, welke een negatieve invloed op de kwaliteit van leven hebben. Het risico op een recidief trombose (CVT of andere vorm van trombose) is ongeveer 4 per 100 persoonsjaren, hoewel het percentage aanzienlijk verschilt tussen diverse studies. Ongeveer ⅓ van het recidief veneuze trombose is een CVT. Van alle recidieven gebeurt de meerderheid binnen het eerste jaar na de diagnose CVT.
- Coutinho JM, Zuurbier SM, Aramideh M, Stam J. The incidence of cerebral venous thrombosis: A cross-sectional study. Stroke. 2012;43:3375-3377
- Stam J. Thrombosis of the cerebral veins and sinuses. N Engl J Med. 2005;352:1791-1798
- Ferro JM, Canhao P, Stam J, Bousser MG, Barinagarrementeria F, Investigators I. Prognosis of cerebral vein and dural sinus thrombosis: Results of the international study on cerebral vein and dural sinus thrombosis (iscvt). Stroke. 2004;35:664-670
- Silvis SM, Middeldorp S, Zuurbier SM, Cannegieter SC, Coutinho JM. Risk factors for cerebral venous thrombosis. Semin Thromb Hemost. 2016
- Saposnik G, Barinagarrementeria F, Brown RD, Jr., Bushnell CD, Cucchiara B, Cushman M, et al. Diagnosis and management of cerebral venous thrombosis: A statement for healthcare professionals from the american heart association/american stroke association. Stroke. 2011;42:1158-1192
- Coutinho JM. Cerebral venous thrombosis. J Thromb Haemost. 2015;13 Suppl 1:S238-244
- Coutinho JM, Zuurbier SM, Stam J. Declining mortality in cerebral venous thrombosis: A systematic review. Stroke. 2014;45:1338-1341
- Koopman K, Uyttenboogaart M, Vroomen PC, van der Meer J, De Keyser J, Luijckx GJ. Long-term sequelae after cerebral venous thrombosis in functionally independent patients. J Stroke Cerebrovasc Dis. 2009;18:198-202
- Miranda B, Ferro JM, Canhao P, Stam J, Bousser MG, Barinagarrementeria F, et al. Venous thromboembolic events after cerebral vein thrombosis. Stroke. 2010;41:1901-1906
Referenties
- ↑ Hilde Van den Eynde, Wat scheelt er met de vaccins van Janssen en AstraZeneca?. De Standaard. Geraadpleegd op 16 april 2021.