Blaaskanker
Raadpleeg bij gezondheidsklachten een arts.
| Blaaskanker | ||||
|---|---|---|---|---|
| Blaascarcinoom | ||||
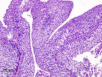
Microscopisch beeld van blaaskanker T1
| ||||
| Coderingen | ||||
| ICD-11 | ||||
| OMIM | [1] | |||
| DOID | 11054 | |||
| MedlinePlus | 000486 | |||
| ||||
Onder blaaskanker[1] of blaascarcinoom[1] wordt een kwaadaardige woekering van de epitheelcellen van het slijmvlies van de urineblaas verstaan. Dat slijmvlies, het overgangsepitheel, bekleedt het nierbekken, de urineleider (ureter), de urineblaas en de urinebuis (urethra) en heet het 'urotheel'.[2]
Voorkomen
In Nederland wordt jaarlijks bij 4800 mensen blaaskanker vastgesteld. De ziekte komt vooral bij mensen die ouder zijn dan 60 jaar voor, en 4 keer zo vaak bij mannen; bij hen is het de vierde, bij vrouwen de achtste in frequentie van voorkomen. De tumor is meestal een urotheelcarcinoom.[3]
Oorzaak
De oorzaak is meestal blootstelling aan bepaalde kankerverwekkende stoffen, de aromatische amines, die voorkomen in de verfindustrie, de rubberindustrie en bij het roken. De kans dat rokers de ziekte krijgen is 2 tot 2,5 keer zo groot als niet-rokers. De kanker treedt ongeveer 25 jaar na de blootstelling aan deze stoffen op. Ook chronische blaasontstekingen en irritatie worden in verband gebracht met blaaskanker.
Klachten en symptomen
Bloed plassen zonder dat er andere klachten zijn, is meestal het eerste teken dat er iets aan de hand is. Een andere bekende klacht is het branderige gevoel tijdens het plassen.[4] Wanneer er kwaadaardige cellen in de urine gevonden worden is daarmee de diagnose gesteld, maar wanneer die niet gevonden worden wil dat nog niet zeggen dat de persoon blaaskankervrij is.
Onderzoek

Het belangrijkste onderzoek is een cystoscopie. Er wordt daarbij via een slappe buis een videocamera en een lichtbron via de plasbuis tot in de blaas geschoven. Eventueel kan men het blaasslijmvlies aankleuren, waardoor verdachte gebieden beter zichtbaar worden. Men zal tijdens de cystoscopie uit alle verdachte gebieden biopten nemen om in het laboratorium te onderzoeken.
Stagering
Hiervoor wordt het TNM systeem gebruikt, versie 2002 en 2004
- T : de lokale tumor.
- Ta of T (CIS[5]): de tumor is beperkt tot de epitheelcellen van het blaasslijmvlies
- T1 : de tumor is ingegroeid in het bindweefsel van het slijmvlies van de blaas.
- T2-T4: de tumor is ingegroeid in het spierweefsel van de blaas.
- N0 of N1 (en hoger): al dan niet metastasen (uitzaaiingen) naar de lymfeklieren
- M0 of M1 (en hoger): al dan niet metastasen (uitzaaiingen) op afstand.
Wanneer de tumor is ingegroeid in de spierlaag is verder onderzoek nodig. Daarvoor wordt meestal een MRI-scan gemaakt. Daarmee is te zien hoe ver de tumor is ingegroeid; en of er uitzaaiing is naar andere organen of structuren.
Behandeling
De behandeling hangt af van het stadium.
Behandeling als er geen ingroei in het spierweefsel is
Er dient altijd een TURT, een Transurethrale resectie van blaastumoren, verricht te worden. Hierbij wordt de tumor weggenomen door middel van een cystoscopie. Het weefsel wordt microscopisch onderzocht. Met name de randen zijn belangrijk. Na de TURT wordt in principe de blaas gespoeld met een oplossing met medicatie die kankercellen doodt. Wanneer er een matige tot forse kans op terugkomen van de tumor of op verergering is, wordt wekelijks de blaas gespoeld met tuberculose-vaccin (BCG). Deze behandeling brengt een immuunreactie tegen kwaadaardige cellen op gang, maar heeft nogal wat bijwerkingen bij 5% van de patiënten. Patiënten met minder kans op terugkomen of verergering zal men 3-6 maanden blaasspoelingen aanbieden met mitomycine, een middel dat kankercellen doodt. Immunocyanine, afkomstig uit de zeeslak, is een derde mogelijkheid.
Behandeling bij ingroei in het spierweefsel
Hierbij vindt een "radicale cystectomie" plaats. Daarbij wordt de blaas met de lymfeklieren, en met de prostaat of de baarmoeder operatief verwijderd. De patiënt kan klachten krijgen die variëren van problemen met plassen, met de darmen tot problemen met seksualiteit. Bij bepaalde vormen wordt in Nederland in plaats van een operatie wel inwendige bestraling toegepast. Er wordt daarbij een radioactief materiaal in de blaas gebracht. Soms wordt voorafgaande aan de operatie bestraald. Na de operatie moet de urine op een andere manier het lichaam verlaten:
- Daartoe wordt een stoma gemaakt met behulp van een stukje dunne darm. Dit heet een Brickerdeviatie. Dit stoma is niet continent, de patiënt draagt een zakje.
- Een andere mogelijkheid is een continent stoma. Er wordt een reservoir van een stukje darm gemaakt. De patiënt moet met een katheter het reservoir legen. Bij deze oplossing treden meer problemen op dan bij de vorige.
- Blaasreconstructie: hierbij wordt het reservoir op de plasbuis aangesloten. Bijna de helft van de patiënten moet zich na verloop van tijd toch katheteriseren.
Palliatieve behandeling
Wanneer er uitzaaiingen op afstand zijn, kan met chemotherapie een verlenging van het leven bereikt worden, van gemiddeld 12 tot 14 maanden.
Vooruitzichten
Bij niet-spierinvasieve tumoren is de kans om te overleven goed. De beschreven nabehandeling is wel nodig. Anders is de kans dat de ziekte terugkomt 33-78%. Na cystectomie wegens een spierinvasieve groei is de overleving afhankelijk van het stadium en de tumorgroei, variërend van 20 tot 80%.[6]
- ↑ a b Everdingen, J.J.E. van, Eerenbeemt, A.M.M. van den (2012). Pinkhof Geneeskundig woordenboek (12de druk). Houten: Bohn Stafleu Van Loghum.
- ↑ Hoge Urineweg Tumoren. Amsterdam UMC. Gearchiveerd op 15 april 2024. Geraadpleegd op 9 augustus 2024. “de urinewegen (plasbuis, blaas, urineleiders en nierbekken) zijn bedekt met een slijmvlieslaag, dit slijmvlies heet urotheel. Als het urotheel een kwaadaardige vergroeiing krijgt is dat urotheelcarcinoom (kanker uitgaande van het urotheel).”
- ↑ In 90% van de gevallen. Andere diagnoses zijn adenocarcinoom; plaveiselcelcarcinoom, sarcomen (voldoen niet aan de gegeven definitie); lymfoom, metastasen van elders.
- ↑ blaaskanker. gezondheidsplein.nl (5 augustus 2019). Gearchiveerd op 10 oktober 2019. Geraadpleegd op 10 oktober 2019.
- ↑ Carcinoma in situ
- ↑ zie tabellen in de bijlage van de oncoline richtlijn
- Ned Tijdschr Geneeskd. 2009;153:A956 ; Richtlijn urotheelcarcinoom van de blaas Rob F.M. Bevers, Jan J. Battermann, Jourik A. Gietema , Christina A. Hulsbergen-Van de Kaa, Theo M. de Reijke, Nicole Feller en J.A. (Fred) Witjes
- Oncoline richtlijn