Overgangsepitheel


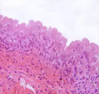
Overgangsepitheel[1] of epithelium transitionale[2][1] is een soort meerlagig epitheelweefsel. Het uiterlijk van de cellen van het overgangsepitheel verandert volgens de functionele toestand van het orgaan. Door spanning vervormen de min of meer kubische cellen zich tot meer afgeplatte epitheelcellen. In rust kunnen 5 tot 6 cellagen ontdekt worden; gestrekt zijn dat er meestal slechts 2 à 3.
Overgangsepitheel komt vooral voor in de urinaire afvoerwegen: de urineleider en de urinebuis en de daartussen gelegen urineblaas; het overgangsepitheel oftewel slijmvlies heet daar en in het nierbekken 'urotheel'.[3]
Bronnen, noten en/of referenties
- ↑ a b Everdingen, J.J.E. van, Eerenbeemt, A.M.M. van den (2012). Pinkhof Geneeskundig woordenboek (12de druk). Houten: Bohn Stafleu Van Loghum.
- ↑ Federative International Committee on Anatomical Terminology (FICAT) (2005). Terminologia Histologica. International terms for human cytology and histology. Philadelphia/Baltimore/New York/London/Buenos Aires/Hong Kong/Sydney/Tokyo: Wolter Kluwers-Lippincott Williams & Wilkins.
- ↑ Hoge Urineweg Tumoren. Amsterdam UMC. Gearchiveerd op 15 april 2024. Geraadpleegd op 9 augustus 2024. “de urinewegen (plasbuis, blaas, urineleiders en nierbekken) zijn bedekt met een slijmvlieslaag, dit slijmvlies heet urotheel. Als het urotheel een kwaadaardige vergroeiing krijgt is dat urotheelcarcinoom (kanker uitgaande van het urotheel).”