Touton-reuscel

Een touton-reuscel is een reuscel die ontstaat uit gefuseerde macrofagen waarvan de celkernen in een ring liggen en omgeven zijn door schuimig cytoplasma. Touton-reuscellen worden doorgaans gekenmerkt door hun zeer unieke histologische verschijning en hun reactie op verschillende stimuli die geassocieerd worden met het immuunsysteem van het lichaam.
Touton-reuscellen worden waargenomen bij een groot aantal pathologische aandoeningen en condities. Meer specifiek worden touton-reuscellen aangetroffen in lipiderijke laesies zoals die van vetnecrose, xanthoom, xanthelasma en xanthogranulomen. Touton-reuscellen worden ook wel xanthelasmatische cellen genoemd vanwege het feit dat ze worden aangetroffen in laesies die geassocieerd worden met xanthomen, wat huidgroeisels zijn met gele, met lipiden gevulde afzettingen. Touton-reuscellen worden vaak frequent waargenomen bij granulomateuze ontsteking, wat een type ontsteking is dat wordt veroorzaakt door de clustering van immuuncellen, of granulomen.[1] Ze worden ook aangetroffen in dermatofibroom.[2]
Uiterlijk
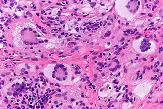
Touton-reuscellen kunnen worden onderscheiden door de aanwezigheid van meerdere celkernen in een ring- of kransvormig patroon in het midden van een cel. De ring van kernen omringen een centraal homogeen cytoplasma, terwijl schuimend cytoplasma dat rijk is aan lipiden de kernen omringt.[3][4] Het cytoplasma is verdeeld in een perifere zone en een centrale zone. De centrale zone is het cytoplasma dat wordt omgeven door de kernen en is zowel amfofiel als eosinofiel. Het cytoplasma nabij de wand van de cel, de perifere zone, is bleek en bevat vacuolen met lipiden.[1][5]
Activering en macrofaagrelatie
Touton-reuscellen worden gevormd door de fusie van macrofaag-afgeleide schuimcellen. Er is gesuggereerd dat cytokines zoals interferon-gamma, interleukine-3, interleukine-6 en M-CSF (macrophage colony-stimulating factor) betrokken kunnen zijn bij de vorming van touton-reuscellen.[6][7] Meer specifiek wordt gezegd dat touton-reuscellen afkomstig zijn van macrofagen die direct helpen bij het verminderen van ontstekingen. Ze hebben een herstellend gedrag en door IL-6 te gebruiken, worden deze cellen geactiveerd en kunnen ze weefselherstel uitvoeren. Hoewel het specifieke fusiemolecuul dat geassocieerd wordt met het fuseren van macrofagen tot touton-reuscellen niet erg goed begrepen wordt, lijkt het erop dat er een verband is met de activering van Toll-like receptoren (TLR's).[6][7] Verder bewijs dat deze touton-reuscellen histiocytisch van oorsprong zijn, wat betekent dat ze voortkomen uit een cel van de macrofaaglijn, is het feit dat ze positief reageren op enzymen die in histiocyten worden aangetroffen, zoals lysozyme, alfa-1-antitrypsinedeficiëntie en alfa-1-anti-chymotrypsine. Touton-reuscellen zijn in staat deze eiwitten tot expressie te brengen die betrokken zijn bij acties zoals onder andere regulering van weefselschade, weefselafbraak en ontsteking.[8]
Rol in het immuunsysteem
Touton-reuscellen worden beschouwd als witte bloedcellen vanwege hun rol in het immuunsysteem en de herkomst ervan. Deze meerkernige reuscellen worden gevormd door de fusie van macrofagen, die veel functies heeft, zoals het verwijderen van dode cellen en het stimuleren van de werking van andere immuuncellen. Macrofagen zijn afgeleid van monocyten, witte bloedcellen die helpen bij het vernietigen van bacteriën en ziektekiemen om infectie te voorkomen. Deze monocyten ontstaan uit de myeloïde stamcellijn. Touton-reuscellen hebben als doel schadelijke stoffen te verwijderen uit het weefsel waar ze vandaan komen. Ze doen dit door grote vreemde materialen zoals lipiden in de laesies waarin ze worden aangetroffen op te nemen en af te breken, meestal in gebieden met vetnecrose.[9]
Geschiedenis
Touton-reuscellen zijn vernoemd naar Karl Touton, een Duitse botanicus en dermatoloog.[10] Karl Touton bekeek deze cellen voor het eerst in 1885 en noemde ze "xanthelasmatische reuscellen", een naam die sindsdien in onbruik is geraakt.[11] Karl Touton bekeek deze reuscellen toen hij een huidweefselmonster van iemand met een laesie onder een microscoop onderzocht. Hij classificeerde en noemde deze cellen vervolgens naar hun opvallend unieke uiterlijk. Touton-reuscellen worden nog steeds waargenomen met behulp van deze methoden, evenals kleuring met histologische kleurstoffen zoals hematoxyline en eosine.[12]
Dit artikel of een eerdere versie ervan is een (gedeeltelijke) vertaling van het artikel Touton giant cell op de Engelstalige Wikipedia, dat onder de licentie Creative Commons Naamsvermelding/Gelijk delen valt. Zie de bewerkingsgeschiedenis aldaar.
Referenties
- ↑ a b Picarsic, Jennifer Lee; Chikwava, Kudakwashe (2018-01-01), Hsi, Eric D., red., "Disorders of Histiocytes*", Hematopathology (Third Edition), Foundations in Diagnostic Pathology, Philadelphia: Elsevier, pp. 567–616.e4, ISBN 978-0-323-47913-4, bezocht 2024-12-03
- ↑ Dermatology: 2-Volume Set. Mosby, St. Louis (2007), 14, 15. ISBN 978-1-4160-2999-1.
- ↑ Grant-Kels, Jane (2007). Color Atlas of Dermatopathology. Informa Healthcare, City, 107, 119. ISBN 978-0-8493-3794-9.
- ↑ Carmen Gómez-Mateo, Maria, Monteagudo, Carlos (2013). Nonepithelial skin tumors with multinucleated giant cells. Seminars in Diagnostic Pathology 30 (1): 58–72. PMID 23327730. DOI: 10.1053/j.semdp.2012.01.004.
- ↑ Sequeira, Fiona, Gandhi, Suneil (2012). Named cells in dermatology. Indian Journal of Dermatology, Venereology and Leprology 78 (2): 207–16. PMID 22421663. DOI: 10.4103/0378-6323.93650.
- ↑ a b Quinn, Mark, Schepetkin, Igor (2009). Role of NADPH Oxidase in Formation and Function of Multinucleated Giant Cells. Journal of Innate Immunology 1 (6): 509–26. PMID 20375608. PMC 2919507. DOI: 10.1159/000228158.
- ↑ a b Reiss, AB, Patel, CA (2004). Interferon-gamma impedes reverse cholesterol transport and promotes foam cell transformation in THP-1 human monocytes/macrophages. Medical Science Monitor 10 (11): 420–5. PMID 15507847.
- ↑
- ↑ Brooks, Patricia J., Glogauer, Michael, McCulloch, Christopher A. (1 juni 2019). An Overview of the Derivation and Function of Multinucleated Giant Cells and Their Role in Pathologic Processes. The American Journal of Pathology 189 (6): 1145–1158. ISSN: 0002-9440. DOI: 10.1016/j.ajpath.2019.02.006.
- ↑ Aterman, K., Remmele, W., Smith, M. (Jun 1988). Karl Touton and his "xanthelasmatic giant cell." A selective review of multinucleated giant cells. The American Journal of Dermatopathology 10 (3): 257–269. ISSN: 0193-1091. PMID 3068999. DOI: 10.1097/00000372-198806000-00012.
- ↑ Olson, James (1989). The History of Cancer: An Annotated Bibliography. ABC-CLIO, 139. ISBN 9780313258893.
- ↑ (en) Aterman, Kurt, Remmele, Wolfgang, Smith, Muriel, Dirckx, John H. (June 1988). Karl Touton and His "Xanthelasmatic Giant Cell": A Selective Review of Multinucleated Giant Cells. The American Journal of Dermatopathology 10 (3): 270. ISSN: 0193-1091.