Histiocyt
.png)

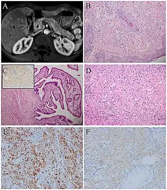
F De histiocyten waren positief voor ALK1 (huid)
Een histiocyt (Macrophagocytus stabilis) is een 15 tot 20 µm grote cel bij gewervelden, die twee tot drie maanden leeft en die deel uitmaakt van het mononucleaire fagocytensysteem, ook bekend als het reticulo-endotheliale systeem of lymforeticulaire systeem. Het mononucleaire fagocytensysteem is onderdeel van het immuunsysteem van het organisme. De histiocyt is een weefselmacrofaag[1] of een dendritische cel[2] en wordt voornamelijk aangetroffen in bindweefsel en in de tunica adventitia van bloedvaten. Tijdens infecties kunnen ze door cytokines geactiveerd worden en omgezet worden in macrofagen. Ze spelen een rol bij chronische ontstekingen en kunnen ook kwaadaardig worden – in dit geval is er bijvoorbeeld sprake van de ziekte van Erdheim-Chester. Een deel van hun taak is om neutrofielen op te ruimen als die het einde van hun levensduur hebben bereikt.
De aanduiding histiocyt is in het verleden voor verschillende doeleinden gebruikt en sommige cellen die histocyten worden genoemd, lijken niet afkomstig te zijn van monocytische-macrofaaglijnen.[3] Histiocyt kan ook alleen naar een cel verwijzen van monocyt-oorsprong buiten het hart en vaatstelsel, zoals in een weefsel, zoals bij reumatoïde artritis, waarbij de histiocyten in een een pallisadevorm zijn gerangschikt en die de fibrinoïde necrose van reumatoïde noduli omringen.
Sommige bronnen beschouwen langerhanscelderivaten als histiocyten.[4] De naam langerhanscelhistiocytose is van deze interpretatie afkomstig.
Histiocyten zijn afkomstig van de stamcellen uit het beenmerg. De cellen migreren uit het beenmerg naar het bloed als monocyten. Ze circuleren door het lichaam en komen in verschillende organen terecht, waar ze tot histiocyten differentiëren, die deel uitmaken van het mononucleaire fagocytische systeem (MPS).
Histiocyten kunnen fuseren tot reuscellen, zoals bij tuberculose.
Structuur
Histiocyten hebben gemeenschappelijke histologische en immunofenotypische kenmerken. Dat is door immunokleuringen aangetoond. Hun cytoplasma is eosinofiel en bevat wisselende hoeveelheden lysosomen. Ze dragen membraanreceptoren voor opsoninen, zoals IgG en het fragment C3b van complement. Ze brengen LCA's (leukocyte common antigens) CD45, CD14, CD33 en CD4 tot expressie, maar die worden ook door T-helpercellen tot expressie gebracht.
Macrofagen en dendritische cellen
Deze histiocyten maken deel uit van het immuunsysteem via twee verschillende functies: fagocytose en antigeenpresentatie. Fagocytose is het belangrijkste proces van macrofagen en antigeenpresentatie de belangrijkste eigenschap van dendritische cellen, zo genoemd vanwege hun sterachtige cytoplasmatische uitsteeksels.

Macrofagen en dendritische cellen zijn afgeleid van gemeenschappelijke beenmergvoorlopercellen die als histiocyten verschillende differentiaties hebben ondergaan onder invloed van verschillende omgevingsfactoren (weefsellocatie) en groeifactoren zoals GM-CSF, TNF en IL-4. De verschillende categorieën histiocyten zijn te onderscheiden door hun morfologie, fenotype en grootte.
- Macrofagen zijn zeer variabel in grootte en morfologie, hun cytoplasma bevat in relatie tot hun gespecialiseerde fagocytische functie veel zure fosfatase bevattende lysosomen. Ze brengen CD68 tot expressie.
- Dendritische cellen hebben een ingedeukte, boonvormige celkern en cytoplasma met dunne uitlopers, dus dendritisch. Hun belangrijkste activiteit is antigeenpresentatie; ze brengen Factor XIIIa, CD1c en klasse II humaan leukocytenantigenen tot expressie.
Langerhanscellen
Een subset van cellen differentieert in langerhanscellen. Deze rijping vindt plaats in het plaveiselcelepitheel, lymfeklieren, milt en in het epitheel van de bronchi. Langerhanscellen zijn antigeenpresenterende cellen, maar hebben verdere differentiatie ondergaan. Huidlangerhanscellen brengen CD1a tot expressie, net als corticale thymocyten. Dat zijn cellen van de cortex van de thymus. Ze brengen ook het S-100 eiwit tot expressie en hun cytoplasma bevat tennisracket-achtige ultrastructurele insluitsels die Birbeck-granulen worden genoemd.
Klinische betekenis
Histiocytosen beschrijven neoplasieën waarbij de proliferende cel de histiocyt is. De meest voorkomende histiocytenstoornissen zijn langerhanscelhistiocytose en hemofagocytaire lymfohistiocytose, ook wel het hemofagocytair syndroom genoemd.[5]
![]() |
![]() |
![]() |
![]() |
- ↑ Cline, Mj (1 november 1994). Histiocytes and histiocytosis. Blood 84 (9): 2840–2853. DOI: 10.1182/blood.V84.9.2840.2840.
- ↑ Chorro L, Geissmann F (December 2010). Development and homeostasis of 'resident' myeloid cells: the case of the Langerhans cell. Trends in Immunology 31 (12): 438–45. PMID 21030305. DOI: 10.1016/j.it.2010.09.003.
- ↑ S12C3-Granuloma. Gearchiveerd op 29 september 2009. Geraadpleegd op 6 januari 2009.
- ↑ Cline MJ (November 1994). Histiocytes and histiocytosis. Blood 84 (9): 2840–53. PMID 7524755. DOI: 10.1182/blood.V84.9.2840.2840.
- ↑ Webb DK (October 1996). Histiocyte disorders. British Medical Bulletin 52 (4): 818–25. PMID 9039734. DOI: 10.1093/oxfordjournals.bmb.a011585.



